郑州大学第五附属医院

郑州大学第五附属医院
搜索按钮
进入适老模式
信息公开
医学科普
首页>信息公开>医学科普

手抖、运动迟缓=帕金森?黑质超声火眼金睛辨真伪

发布时间:2022/3/17文字调整

李先生今年34岁,在一次家庭聚会上,朋友问他是不是穿的太少,右腿在发抖,而他却没有感觉到这非常轻微的抖动,也并未在意。


直到半年之后左手、左胳膊也开始抖动,休息之后也不能缓解,穿的衣服比别人多很多也还是抖,他感到了害怕,连续看了好几个医院,医生都说年纪轻轻不会得帕金森。


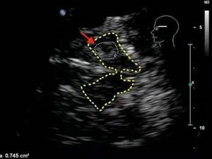
就这样又过了半年他的右腿也开始抖动,一路求医,了解到郑州大学五附院对帕金森治疗经验丰富,便来到神经内科专家何远宏主任医师的门诊。通过询问患者病情,何远宏主任医师让他先做个黑质超声,超声提示双侧黑质异常高回声,SNIII级。也就是说李先生确实换上了帕金森病,经过一个星期的美多巴治疗,李先生手和腿再也不抖了,治疗效果满意。


什么是帕金森病?

帕金森病是临床上第二常见的神经系统退行性疾病,65岁以上人群易发,病人出现肌肉僵硬,静止性震颤,行动迟缓、无法保持平衡和记忆力衰退,多数帕金森病早期仅有一种表现或表现不典型,很容易被漏诊。




帕金森病需要做哪些检查?

近年来影像学的发展为帕金森病的诊断及鉴别诊断提供了重要参考价值,包括MRI、PET、经颅彩色多普勒超声(TCCD)等,其中TCCD具有操作简单、安全有效、费用低廉及重复性强的优点,使其在临床上的应用备受关注。


什么是经颅彩色多普勒超声?

经颅彩色多普勒超声(TCCD),俗称黑质超声,德国Becker于1995年首次发现,帕金森患者的中脑黑质回声明显增强,黑质高回声是黑质纹状体多巴胺能系统存在损害的一个早期标志。


2013年欧洲神经科学协会联盟(European Federation of Neruological Societies,EFNS)制定的帕金森病诊断指南推荐:经颅彩色多普勒超声可用于:1.帕金森病的进一步明确诊断;2.帕金森病与不典型帕金森综合征和继发性帕金森综合征的鉴别诊断;3.检测帕金森病高危患者或处于运动前期的患者。


黑质超声检查前准备有哪些?

检查前患者无需任何准确,吃饭、吃药都不影响,只需要侧卧位静待医生检查。




什么人需要做黑质超声?

1.有运动变慢、震颤、肌紧张、翻身困难、嗅觉减退、便秘、爱说梦话等其中一个症状时。

2.怀疑帕金森病、需要与帕金森病进行鉴别、已经确诊帕金森病的患者均可进行此项检查。

3.家族中有帕金森病,早期筛查的。


黑质超声筛查有什么意义?

1.黑质超声表现可能仅能够作为协助诊断帕金森病的指标,而不能作为反映疾病严重性指标。

2.帕金森病具有遗传性,患者家属可以行黑质超声多普勒检查以及PD筛查,有助于早诊断早干预。


来源:超声诊断科 刘会苗

宣传科编辑整理

Baidu
map