近日,郑大五附院血管外科收治一例罕见下腔静脉内漂浮血栓形成患者。患者左下肢肿胀,脑缺氧偏瘫,下腔静脉内漂浮血栓随时都有脱落致肺栓塞可能,病情十分凶险!
我院血管外科专家王兵教授带领的治疗团队接诊后,对此罕见病例十分重视,立即与业内专家讨论、会诊。考虑到患者血栓位置较高,已超肾静脉水平,常规下腔静脉滤器无法植入,患者随时面临肺栓塞死亡风险,且血栓形态“奇特”,考虑非单纯“血栓”可能!经过反复的研究,最终决定对此例患者进行“经颈内静脉球囊封堵+下腔静脉切开取栓+下腔静脉内滤器植入术”。该手术方式较复杂,需要外科手术和介入技术密切配合,稍有不慎,下腔静脉内血栓会随时脱落导致“要命”的肺栓塞!
经过严密的筹备,王兵教授带领血管外科崔文军副主任、安乾、丁语、司江涛、吴斐医生分成两组。介入组先行“颈内静脉穿刺植入保护球囊”,然后手术组进行“开腹下腔静脉切开取栓术”,最后再由介入小组“开放球囊植入下腔静脉滤器”。术中,在麻醉科胡强夫主任团队的支持下,患者血压、心率控制良好,历经3个多小时的紧张手术,在各方人员的密切配合下手术取得了圆满成功。术后,当患者被推出手术室那一刻,患者家属握住王兵教授的手,紧紧不能松开……
此种方式复杂、风险巨大的手术在我省实属罕见,标志着郑大五附院血管外科在处理大静脉疾病方面更上一层楼,对河南省血管外科事业做出了新的贡献!

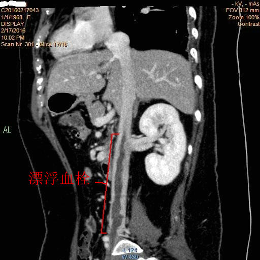
下腔静脉内漂浮血栓已超过肾静脉水平

术中取栓后造影,下腔静脉血流通畅
科普:
静脉血栓主要发生于四肢,四肢血栓中又以下肢为常见,而发生于下腔静脉的血栓较少见。静脉血栓形成的主要原因有:(1)静脉管壁受损;(2)血流缓慢;(3)血液凝固性高。下腔静脉血栓临床较少见且诊断困难,是较为严重的一种类型,并发症多且预后不良,近年来发病率呈逐年上升的趋势,尤其是肿瘤晚期、肿瘤放化疗期间,下腔静脉创伤后血栓。超声是最简便、最快速、最准确的检查方法。及时、正确有效的治疗可预防并发肺、脑栓塞,挽救患者生命。
来源:血管外科丁语
宣传科编辑整理