郑州大学第五附属医院

郑州大学第五附属医院
搜索按钮
进入适老模式
信息公开
医学科普
首页>信息公开>医学科普

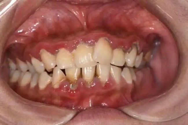
医学科普|牙龈总是出血,该怎么办呢?

发布时间:2022/4/14文字调整



很多人都遇到过牙龈出血的情况,比如啃苹果的时候,发现苹果上留下了带血的牙印;刷牙的时候,吐出来带血的泡泡;甚至用力吮吸的时候嘴巴里有点咸咸的味道……那么,牙龈为什么会出血呢?遇到牙龈出血时,正确的处理方法又是什么呢?


牙龈出血的原因是什么呢?

1 牙周病

这是造成牙龈出血的主要原因。由于口腔卫生不佳,牙结石长期存在于牙缝、牙龈之间,牙龈受刺激出现炎症,表现为颜色暗红,形态肿胀,轻轻一碰就会出血,甚至出现自发出血。




2 刷牙方式、牙刷选择

刷牙的方式方法过于暴力,牙刷的刷毛过硬,导致牙龈外伤出血。一个常见的刷牙误区是:刷得越用力才能把牙刷得越干净。其实不是的,错误的刷牙方法不仅刷不干净,而且还会损伤牙龈。




3 全身疾病

比如血液疾病,肝、肾疾病等也会有牙龈出血的症状。


牙龈出血该怎么办?




1.及早就医,通过专业检查找出牙龈出血的原因。如果是牙龈局部的炎症,可以通过洗牙、牙周刮治等手段进行治疗,去除牙齿周围的脏东西,炎症自然就会好转;同时,如果伴有身体其他部位疾病,也可以及早发现并转诊至相关科室诊治。




2.不建议使用止血牙膏。止血牙膏也许可以缓解牙龈出血的症状,但其实是掩盖病情自欺欺人,牙菌斑、牙结石仍然存在于口腔中,持续刺激并损害牙周组织,时间久了,可能会出现牙齿松动、移位甚至脱落。


3.刷牙、牙线,日常清洁不能松懈。很多人认为“出血的牙龈不能刷”,其实是不对的。越是出血的牙龈,越说明有炎症;而通过刷牙、牙线使脏东西被清除,有利于减少牙龈出血的风险。


4.如果出现牙龈出血量较大,可以用干棉球、干纱布压迫出血部位20~30分钟,如仍无法缓解,需尽快就医。


来源:口腔科 曾庆雯

宣传科编辑整理

Baidu
map