2016年10月13日凌晨1点,刚刚会诊完一例破裂腹主动脉瘤患者的崔文军副主任和王颖主治医师,就接到急诊科打来的电话……
120送来一位突发胸痛患者,经初诊不排除急性心肌梗死或主动脉夹层,同时请心内科及血管外科会诊。会同心内科值班医师,一行3人赶到急诊科,看的一位中年男性患者,面容痛苦的躺在病床上,大汗淋漓,坐卧不安,自诉胸背部疼痛难忍。测量血压高达180/110mmHg,心率100次/分!心电图仅提升T波改变。心内科医师结合病情及检查结果,排除了急性心肌梗死。崔文军副主任医师分析:该患者为中年男性,体型偏胖,长期高血压病史,从未服用降压药物,发病前大量饮酒,突发胸背部撕裂样疼痛,高度怀疑主动脉夹层!
科普
主动脉夹层定义为血管壁内出血导致血管中层断裂,血管壁层的分离及随后形成的互相交通或不交通的真腔及假腔。依据夹层扩展的程度,分为Stanford A、B型。主动脉夹层是一种致死性疾病,未经治疗的急性夹层6小时内病死率超过22.7%,24小时内将超过50%,一周内将超过68%!——卢瑟福血管外科学

主动脉夹层分型
如此凶险的疾病,治疗就是跟时间赛跑。通过CT室开通的绿色通道,20分钟内即完成胸腹主动脉联合CTA检查。结果支持崔文军副主任医师的诊断,但糟糕的是这个病人的主动脉破口紧贴左侧锁骨下动脉,向上累及主动脉弓及升主动脉,向下一直撕裂至双侧髂动脉,右侧肾动脉闭塞,左侧肾动脉真假腔供血,存在急性肾功能衰竭及下肢缺血坏死风险!


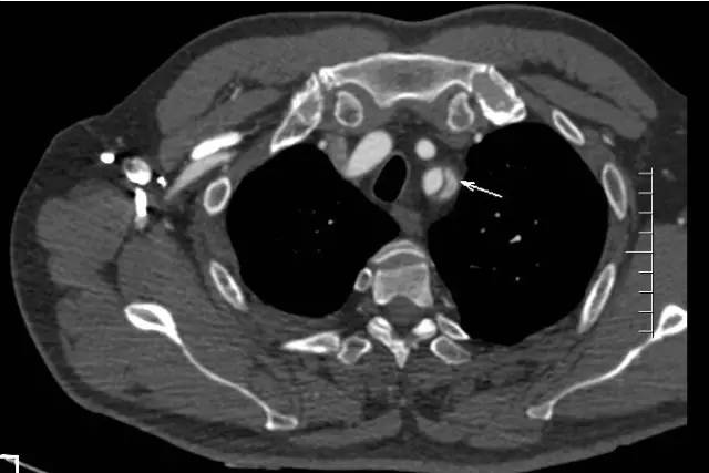
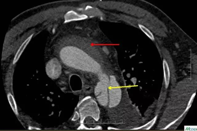
左侧锁骨下动脉夹层(白箭头)

近端破口(黄箭头)及周围血肿(红箭头)
病情复杂且凶险,崔文军副主任医师丝毫不敢怠慢,一面指示王颖主治医师陪同患者办理入院手续,另一面及时向血管外科专家、医院副院长王兵教授汇报患者病情。收住入院后,崔文军副主任医师亲自与患者家属沟通病情,告知目前患者的危险性,并下达病危通知书,嘱患者绝对卧床,保持大便通畅,同时积极给予降压、降心率、止痛等药物治疗。叮嘱护士严密监测患者血压及心率,因为稍有波动可能就会导致主动脉夹层破裂出血,一旦破裂,死亡率100%!
这时王兵教授也赶到了病房,亲自查看患者,详细询问发病情况,仔细为患者体格检查。他带领大家仔细研读CTA结果:患者主动脉夹层诊断明确,目前,主动脉夹层首选腔内治疗,但患者主动脉破口紧贴左侧锁骨下动脉,并逆撕至锁骨下动脉,做为支架近端锚定区的升主动脉及主动脉弓全程壁间血肿。该类患者急性期不宜行支架植入,因为近端主动脉的血肿及水肿严重,植入的支架极易损伤血管内膜,导致新的夹层发生,一旦出现将导致手术失败,不仅增加再次手术的风险,死亡风险也大大增加!如果选择腔内治疗,必须等病人度过急性期,并动态行CTA检查,直至升主动脉及主动脉弓部血肿吸收后,方有机会进行支架植入。但该方案等待时间长,在等待过程中随时有主动脉夹层破裂出血导致死亡风险!另外的方案就是选择急诊开胸手术,行主动脉全弓人工血管置换术,但该术式创伤大,并发症相对较多,同时亦有较高的围手术期死亡率。
王兵教授亲自将上述治疗方案与患者家属不厌其烦的沟通,并予以画图说明,直至患者家属理解,知道该病的凶险性和治疗的复杂性。经与家属协商,放弃风险较大的开胸手术,要求先行保守治疗,待条件允许后再行腔内治疗。
接下来漫长的等待时间,对患者、患者家属及主管医师都是一种煎熬和挑战。科室护士每日无数次的监测血压、心率,随时报告患者病情变化,医生每日调整药物,尽量把患者的血压、心率控制在要求范围内,而患者家属则夜以继日的陪护……
1周、2周、1个月,随着时间的推移,通过药物治疗,病人的情况逐渐趋于稳定,大家紧悬的心也都稍稍的放下了一些,而每次复查CTA也都让大家看到了希望。升主动脉及主动脉弓部的血肿逐渐吸收减少,终于在1个半月的时候再次复查CTA,血肿基本吸收完全,有了腔内治疗的条件!因为破口位置紧贴左侧锁骨下动脉,为获得足够的锚定区,支架近端必须覆盖左侧锁骨下动脉及左侧颈总动脉,上述动脉一旦覆盖将导致脑梗塞、上肢动脉缺血等严重并发症!针对这种情况,王兵副院长果断提出使用完全微创的“烟囱”技术完成此次手术。
科普
所谓的“烟囱”技术,就是在植入主动脉覆膜支架之前,经左侧肱动脉及左侧颈总动脉穿刺后分别预留导丝,待主动脉支架释放后,再经预留导丝分别置入支架,供应上面两个动脉的血供,从而避免脑梗塞、肢体缺血等严重并发症,因外观像烟囱,故形象的称为“烟囱”技术。
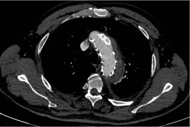
手术过程非常顺利,王兵副院长亲自操刀,整个手术过程仅耗时2小时。术后在施敏护士长带领的护理团队精心的护理下,患者恢复良好,术后复查CTA(见下图),主动脉支架位置良好,破口封堵满意,无内漏,两个“烟囱”支架通畅,无脑梗塞、肢体及内脏缺血等并发症的发生。现在大家悬着的心完全放了下来,叮嘱患者一定要控制血压,按时随访,复查CTA评估支架的情况。

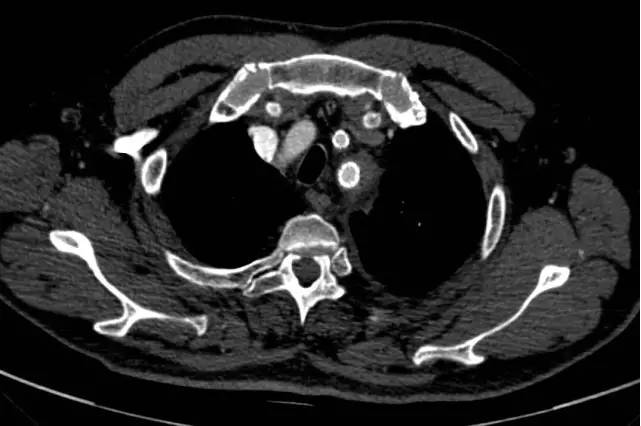
主动脉、左颈总动脉及左侧锁骨下动脉支架


术后复查CTA
能如此顺利的完成此次手术,完全得益于患者及其家属对医生的绝对信任和对治疗的积极配合,在这种信任和配合下,医生得以全力的付出和努力,是医患同心的典型代表,最终患者的生命得以挽救。
该手术的成功实施也代表郑州大学五附院血管外科在王兵教授的带领下,在大血管疾病的诊治上更上一层楼,达到的国内先进水平!
来源:血管外科 王颖
宣传科编辑整理