郑州大学第五附属医院

郑州大学第五附属医院
搜索按钮
进入适老模式
信息公开
医疗动态
首页>信息公开>医疗动态

骨不连:骨折背后的“潜伏危机”

发布时间:2024/12/29文字调整

刘先生今年40岁

6年前因右侧尺骨骨折

在外院做了内固定手术治疗

术后认为自己年轻身体好

并且骨折已经被医生接好了

未按时到医院复诊


虽然偶感伤处疼痛

但不影响自己工作和生活

未引起重视


1周前,他在搬运重物时

突然听到前臂响了一下

随后感到疼痛不适

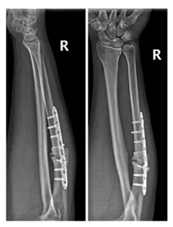
到就近医院检查发现钢板断裂

后至郑州大学五附院骨科一病区就诊


640_副本


骨科一病区主任徐明杰、主治医师张鹏飞通过问诊、查体并结合影像学检查资料,诊断为:尺骨骨不连

患者在得知自己的钢板断裂是因为骨不连,感到很纳闷,忙问什么是骨不连?

徐明杰主任回答:骨不连又称为骨折不愈合,是指骨折已经超过愈合通常需要的时间尚未愈合,且经再度延长治疗时间后(通常骨折后8个月),仍达不到骨性愈合,称为骨不连。


640 (1)_副本


什么原因会导致骨不连?

徐明杰主任表示:骨不连可能由多种因素引起,包括血供不足、感染、固定不当、营养不良、慢性疾病、吸烟和饮酒等都可引起骨不连。


骨折后出现哪些情况要警惕骨不连?

注意骨不连的症状可能包括:

持续性疼痛:骨折部位在预期的愈合时间内仍然疼痛。

活动受限:骨折部位的活动范围受限或者出现异常活动。

肿胀和压痛:骨折部位可能持续肿胀,并对触摸敏感。


骨不连的治疗方法有哪些?

骨不连的治疗目标是促进骨折部位的愈合,治疗方法包括:

手术治疗:手术是治疗骨不连的常见方法,包括使用内固定装置(如钢板、髓内钉等)来稳定骨折部位,或进行骨移植(骨移植术)以提供新的骨细胞和生长因子。

物理治疗:物理治疗有助于恢复骨折部位的活动范围和力量,减少疼痛和僵硬。

药物治疗:某些药物,如骨生长刺激剂,可能有助于促进骨折愈合。

生活方式调整:戒烟和限制饮酒,确保充足的营养摄入,有助于改善愈合过程。


经过沟通,刘先生充分认识了自己的病情,并积极要求手术治疗。

徐明杰主任团队为他做了尺骨骨不连翻修+取髂骨植骨术,术后患者恢复良好。

骨不连是一种复杂的病情,需要综合评估和治疗。如果在骨折后出现持续性疼痛、活动受限等症状,应及时就医,以便尽早诊断和治疗骨不连。通过适当的治疗,大多数骨不连患者可以恢复正常的活动能力和生活质量。


(部分图片素材来源网络,侵权即删)

来源:骨科一病区 张鹏飞

党委宣传统战部编辑整理

Baidu
map