生活中不少人都经历过低血糖
低血糖时会感到
头晕、眼花、乏力、心慌、出冷汗
一般低血糖发作时
吃糖果或食物片刻后就会缓解
但如果低血糖长期反复发作
那就要引起重视了!

低血糖反反复复发作
原来是被肿瘤缠身!
病例回顾
罗女士(化名)半年前早上起床时总是出现头晕、眼花、出冷汗的症状,进食后症状立即缓解,起初罗女士以为是没吃早餐引起,便没在意。后来罗女士只要空腹时间稍长一点就发作,发作次数逐渐频繁,同时出现反应迟钝、健忘,甚至出现昏睡,四处求医不见好转,严重影响日常生活。为了查明原因,罗女士慕名找到郑大五附院肝胆胰腺外科陈艳军主任。
根据罗女士典型的症状及仔细阅读随身带来的影像资料,陈艳军主任初步判断胰岛素瘤的可能性大,并立即收治入院。入院后请内分泌科会诊,积极完善血糖、血胰岛素、C肽、COR、ACTH、胃泌素、儿茶酚胺等化验检查,先后排除了垂体、肾上腺、自身免疫等疾病所引起低血糖症的可能,进行上腹部增强CT及MRI检查,发现胰腺体尾部多发占位,根据化验检查资料可明确诊断,患者的低血糖是由胰岛素瘤引起的。

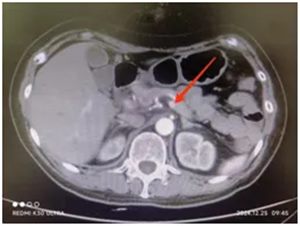
胰腺增强CT:胰尾影稍增粗,增强扫描动脉期见多发结节状明显强化影,较大者直径约1cm,考虑胰腺胰岛素瘤。
手术切除是彻底治愈胰岛素瘤的唯一方法。患者肿瘤位于胰体尾部且为多发,紧靠主胰管,为尽可能保留脏器功能,减少手术创伤,经过术前充分准备、评估,决定为其行“3D腹腔镜下保留脾脏的胰体尾切除术(Kimura)”。
在麻醉科胡强夫主任麻醉团队及手术室刘丹丹护士长护理团队的配合下,由陈艳军主任主刀,程冰冰主治医师、李想医师作为助手的手术团队为罗女士实施手术,术中超声于胰腺体尾部精准定位肿瘤,在距离肿瘤2cm近端胰腺位置离断胰腺,显露脾动静脉,把胰腺组织与脾动静脉分离开,术中精细操作,完整切除胰腺组织。手术过程流畅顺利,术中出血不足20ml,肿瘤切除后,患者的术中血糖即刻上升至正常范围。

术后经过科学的治疗和护士长林磊团队精心的护理,罗女士迅速康复,血糖平稳,再无低血糖发生。术后无胰瘘、感染、出血等并发症,第5天顺利出院,解除了许久的疾痛,重新回归正常生活。
健康科普
1.什么是胰岛素瘤?
胰岛素瘤是⼀种起源于胰腺β细胞的最常见的神经内分泌肿瘤,女性略多于男性,大多为良性,呈单发,80%的胰岛素瘤直径小于2cm。

2. 胰岛素瘤的临床表现
复杂多样,易误诊。低血糖是首发症状,常发生于清晨和运动后。低血糖导致的神经系统症状包括头痛、视物模糊、健忘,甚至癫痫发作、昏迷。此外,低血糖导致的儿茶酚胺过度释放可引起大汗、虚脱、心悸、震颤和面色苍白等。加餐可减轻低血糖症状,病人经常为了控制症状而频繁进食,导致体重增加。

Whipple三联征是胰岛素瘤的典型临床表现,包括:①空腹或运动后出现低血糖症状;②症状发作时血糖低于2.8mmol/L;③进食或静脉推注葡萄糖可迅速缓解症状。
3.治疗方法
①饮食调节:为了尽量减少低血糖的发生,应严格按时加餐。
②根治性的治疗方法是手术切除肿瘤,并根据肿瘤所在位置及其和胰管关系确定手术方式。部分肿瘤行局部切除或剜除术即可根治。对于无法行局部切除或剜除术的胰岛素瘤也可采用规则胰腺切除术,如远端胰腺切除术或胰十二指肠切除术等。
对于无法手术的病人,可采用综合治疗模式,包括生长抑素类似物、肝动脉栓塞化疗,以及链脲霉素、替莫唑胺、铂类药物等为基础的化疗。肽受体放射性核素治疗(peptide receptor radionuclidetherapy,PRRT)可改善部分进展期pNENs病人预后,具有较好的应用前景。
(部分图片素材来源网络,侵权即删)
来源:肝胆胰腺外科 赫林涵
党委宣传统战部编辑整理