胸腔内长了一个15斤重的肿瘤
巨大体积的肿瘤肆意挤压着周围的器官和组织
致胸腔内多个器官受累、扭曲、移位
有些器官已完全被肿瘤
累及、包埋及变形
患者生命已进入倒计时
再不及时手术
随时可能失去生命

从绝望深渊到希望彼岸
在郑州大学第五附属医院
胸外科接受手术后
胸腔内巨大的肿瘤被
成功切除
生命得以延续
完美的演绎了生命的绝地反击
病情严重  四处寻医
新疆伊犁哈萨克自治州的马女士不幸被诊断出胸腔巨大肿瘤(脂肪肉瘤),疾病的阴影瞬间笼罩了整个家庭。为了寻求一线生机,马女士及其家人踏上了漫长而艰辛的就医之路。她先后辗转于新疆本地医院、广州及长沙等多家三甲医院,每一次都怀着满满的期待,希望能从医生那里听到治愈的方案。
然而,现实是残酷的,经过两次介入化疗,病情并未得到改善,反而身体出现了严重的不良反应:四肢关节皮肤长出大水泡,且胸闷、气喘及心慌症状日益加重。
面对这样的情况,医生们无奈地给出了无法手术、放弃治疗的建议,这让患者和家属陷入了深深的迷茫与绝望之中。
曙光再现 觅得生机
但命运总是在不经意间出现转机。
一次偶然的机会,一位熟人向马女士介绍了郑州大学第五附属医院胸外科的高兴才主任。她仿佛抓住了最后一根救命稻草,立刻与高主任取得了联系,高主任在仔细查看了患者的片子后,慎重地给出了一个让他们重新燃起希望的答案:
“来吧,我能给你治!”
马女士怀着忐忑与期待直接从长沙市奔赴到郑州大学第五附属医院胸外科, 很快办理了入院手续。

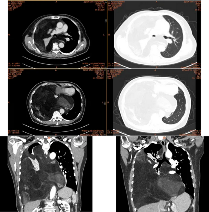
检查发现,马女士右侧胸腔及纵隔内见巨大团片状低密度影,累及左侧胸腔致心脏大血管及气管向左侧胸腔偏移,以脂肪密度为主。肿瘤累及气管、左右主支气管、上腔静脉及主动脉外膜、部分心包、左右下肺静脉,累及并包埋食管及下腔静脉,右肺受压不张。而接下来的手术堪称一场惊心动魄的生命之战。
惊心动魄 生死时速
经过胸外科高兴才主任团队、麻醉科胡强夫主任团队等科室充分准备,输血科魏明主任团队积极备血后,手术按计划如期进行,选择右胸第6肋后外侧切口进胸,因肿瘤体积巨大,占满胸腔,纵隔移位,累及上纵隔、中纵隔、后纵隔,并包绕主动脉及上、下腔静脉、食管。手术空间狭窄,视野受限,术中联合胸腔镜辅助手术,行胸腔及纵隔巨大肿瘤满意切除、心包部分切除。
这台手术宛如在悬崖峭壁上走钢丝
每一步都充满了惊心动魄的挑战
肿瘤巨大的体积肆意挤压着周围的器官和组织,使得胸腔内原本井然有序的空间变得拥挤不堪,器官们被扭曲、移位,彼此间的正常解剖关系变得错综复杂,仿佛是被打乱的精密棋局,难以摸清脉络。
丰富的血供犹如一张密集交错的高速公路网,丰富且复杂,任何微小的失误都可能引发汹涌的出血。
肿瘤与周围组织紧密粘连,如同藤蔓紧紧缠绕着树干,想要完整切除肿瘤,又不损伤周围脆弱的器官组织,就如同在薄冰上跳舞。
高兴才主任及其团队凭借着精湛至极的技艺、敏锐的观察力,在毫厘之间精准操作,稍有偏差,便可能给患者带来不可挽回的后果,其难度之大,超乎常人想象,堪称一场与死神的极限较量。
高兴才主任凭借着精湛的医术和丰富的经验,经历6个多小时,成功地切除了重达15斤的肿瘤。

术后患者顺利返回病房,胸外科李晶护士长带领护理团队迅速有条不紊的为患者进行术后的呼吸道及肺功能锻炼等,为患者搭建起了一道温暖而坚实的守护屏障。



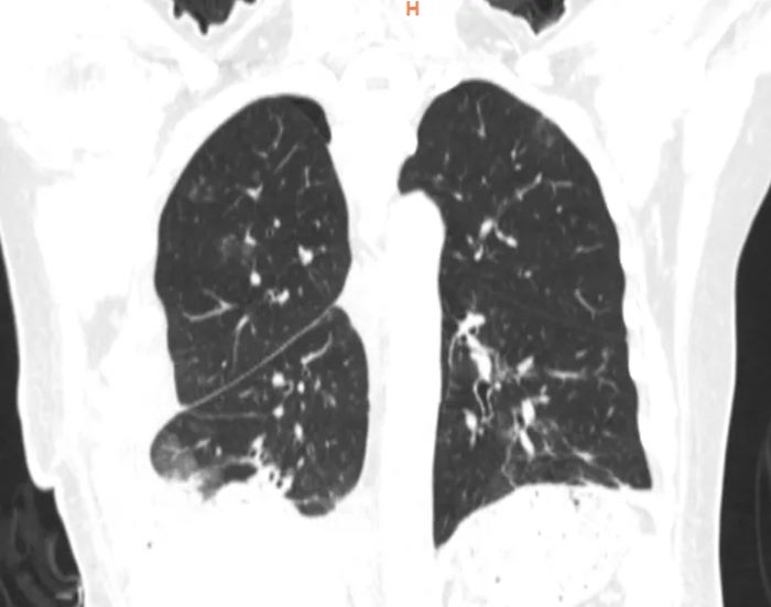
术后CT
患者术后恢复良好,马女士及其家人激动地向高主任表达了深深的谢意。如今,患者现已顺利康复出院,回归正常的生活。


脂肪肉瘤科普
脂肪肉瘤是一种罕见的脂肪细胞分化的恶性肿瘤,形态具有多样性。
发病原因:脂肪肉瘤的发病原因目前尚未完全清楚,研究表明可能与遗传因素、长期接触辐射、某些化学物质以及一些未知的环境因素等有关。例如,长期在放射性环境中工作或生活,可能会增加患病风险,但这并不意味着一定会发病,只是存在一定的潜在关联。
好发部位与症状:“脂肪肉瘤常见于中老年人,好发于四肢(如大腿、臀部等)以及腹膜后区域。通常表现为无痛性肿块,但随着肿瘤的生长,可能会压迫周围组织和器官,引起疼痛、肿胀、肢体活动受限等症状。如果您发现身体某些部位出现不明原因的肿块,尤其是逐渐增大且伴有不适,应及时就医检查。”
治疗方式:手术切除是脂肪肉瘤的主要治疗方法,目的是尽可能完整地切除肿瘤及其周边可能受侵犯的组织,降低复发风险。对于一些难以完全切除干净或复发风险较高的病例,还会结合放疗和化疗等辅助治疗手段,以提高治疗效果,延长患者生存期和提高生活质量。放疗利用高能射线杀死肿瘤细胞,化疗则通过药物抑制肿瘤细胞的生长和扩散。
预后情况:“脂肪肉瘤的预后情况因多种因素而异,如肿瘤的大小、位置、病理分级、是否发生转移以及治疗的及时性和有效性等。早期发现并接受规范治疗的患者,预后相对较好,否发生转移以及治疗的及时性和有效性等。早期发现并接受规范治疗的患者,预后相对较好,生存率较高;而晚期患者或肿瘤恶性程度高、出现转移的患者,预后较差。因此,定期体检、关注身体变化,对于早期发现疾病至关重要。”
总结与建议:“脂肪肉瘤虽然可怕,但通过早期诊断和积极治疗,患者仍有机会获得较好的治疗效果。如果您对脂肪肉瘤或其他健康问题有任何疑虑,建议咨询专业医生,以便获得准确的诊断和个性化的治疗建议。保持健康的生活方式,如均衡饮食、适量运动、减少辐射和化学物质接触等,也有助于降低患病风险。”
来源:胸外科
党委宣传统战部编辑整理