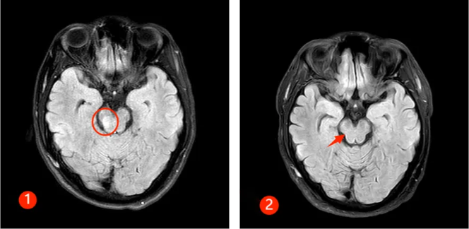
半年前,30来岁的谭先生突然出现颈肩部疼痛不适及肢体麻木,此后短短数天迅速出现四肢瘫痪及大小便失禁,生活不能自理。正值风华正茂的年纪,谭先生一时无法接受,心急如焚的父母带着吓坏了的谭先生来郑州大学第五附属医院就诊,入住神经内科二病区。入科时患者已四肢全瘫,紧急完善相关检查,发现患者脑干、颈髓、胸髓、腰髓广泛病变(见图①),随后完善腰穿及相关抗体检查,最终确诊为MOGAD。
经过及时的免疫治疗,患者病情逐渐好转,出院时患者已能下床行走,再次拾起对生活的信心,复查磁共振,患者脑干、颈髓、胸髓、腰髓的病变已明显好转(见下图②)。半年后随访,患者已恢复正常的生活,预后非常好。




什么是MOGAD?
MOGAD全称为抗髓鞘少突胶质细胞糖蛋白免疫球蛋白G抗体(anti-myelin oligodendrocyte glycoprotein-IgG,MOG-IgG)相关疾病(MOG-IgG associated disorders,MOGAD),是近年来提出的一种免疫介导的中枢神经系统炎性脱髓鞘疾病。
MOG是一种位于少突胶质细胞膜表面最外层的糖蛋白(见下图红色圆圈处),主要功能有:1.作为黏附蛋白介导邻近髓鞘表面的相互作用;2.调节少突胶质细胞微管的稳定性,维持髓鞘完整。

MOGAD的发病机制是什么?
少数人在感染或疫苗接种等诱因下,增加血脑屏障的通透性,中枢MOG抗原漏入外周,促进外周CD4+T细胞的激活,辅助B细胞产生MOG-IgG抗体(见下图红色圆圈处)。同时,MOG-IgG和CD4+T细胞也可以进入中枢神经系统,攻击自身神经细胞,导致少突胶质细胞髓鞘损伤脱失,进而导致疾病的发生。

MOGAD临床表现有哪些?
MOGAD病灶可广泛累及中枢神经系统,临床表现多样,包括视神经炎(ON)、脑膜脑炎、脑干脑炎、脊髓炎等,可为单一症状或以上症状的多种组合。
MOGAD临床表现存在年龄相关性特征,儿童多表现为急性播散性脑脊髓炎(ADEM)样表型(ADEM、ADEM相关性ON、多时相ADEM和脑炎),而成人多表现为视神经-脊髓表型(ON,脊髓炎)和脑干脑炎。
MOGAD如何治疗?
MOGAD的治疗分为急性期治疗和缓解期治疗。急性期治疗方案有大剂量激素冲击治疗、人免疫球蛋白治疗和血浆置换治疗等。缓解期治疗为长期免疫调节治疗,根据病情制定具体治疗方案。
(部分图片素材来源网络,侵权即删)
来源:神经内科二病区 王利军
党委宣传统战部编辑整理