郑州大学第五附属医院

郑州大学第五附属医院
搜索按钮
进入适老模式
信息公开
医疗动态
首页>信息公开>医疗动态

郑大五附院血管外科在省内率先成功开展TCAR手术,为颈动脉狭窄患者提供新的选择

发布时间:2025/7/7文字调整

640_副本


近日,郑州大学第五附属医院血管外科在王兵教授、崔文军主任团队的带领下,成功引入国外先进技术,在河南省率先成功开展经颈动脉血运重建术(Transcarotid Artery Revascularization, TCAR)。

这标志着郑州大学第五附属医院在颈动脉狭窄治疗领域取得重大突破,为中原地区患者提供了国际前沿的微创治疗新选择。


640 (1)_副本


TCAR是国际先进的颈动脉狭窄治疗技术,它巧妙融合了传统颈动脉支架置入术(CAS)的微创特点和颈动脉内膜剥脱术(CEA)的低并发症优势:

微创小切口: 仅在颈部做小切口,显著降低神经损伤、局部血肿等风险。

路径短而稳: 直接经颈总动脉操作,路径更短,操作更稳定,完美规避异常主动脉弓型带来的难题。

逆向血流保护: 逆向血运的建立可有效减少术中栓塞事件的发生,更好的保护患者的脑功能。

手术时间短: 小切口优势结合精准操作,可有效缩短手术时间。


手术情况:团队协作,国际认可

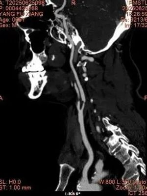
手术患者为一位老年男性,因体检发现左侧颈动脉狭窄入院。经入院详细检查,确诊颈动脉左侧重度狭窄。


640 (2)_副本

640 (3)_副本

▲ 术前影像


在血管外科崔文军主任、安乾副主任、王浩医师紧密协作和美国芝加哥大学医学中心(University of Chicago Medical Center)Dr. Ross Milner 教授的现场技术指导下,手术团队精准操作,顺利完成了这台具有里程碑意义的TCAR手术。


640 (4)_副本

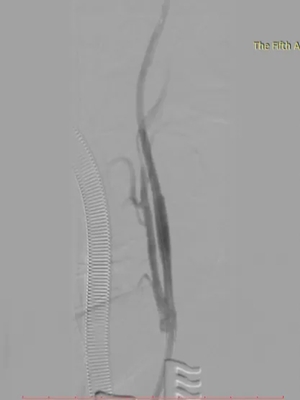
▲ 术前造影

640 (5)_副本

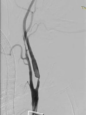
▲ 术后造影


术后,Dr. Ross Milner教授高度评价:“首台手术能在60分钟内成功完成,充分展现了崔文军主任扎实精湛的手术技术、优秀的外科医师素养以及郑大五附院血管外科团队卓越的协作能力。”


640 (6)_副本


手术优势:技术先进,前景广阔

国际研究显示,TCAR能显著降低患者的卒中、死亡以及卒中/死亡复合事件的发生率,其一年的卒中或死亡率优势尤为明显,手术效率也更高。然而,因其独特的技术原理和较高的操作难度,目前国内开展TCAR的中心和例数均较少,在河南省内,仅有郑大五附院崔文军主任等极少数专家具备开展资质。

此项国际先进技术的落地应用,必将为中原地区广大颈动脉狭窄患者带来更优质的诊疗服务和康复希望!郑州大学第五附属医院血管外科团队将继续秉持创新精神,不断提升技术水平,为守护百姓健康贡献力量。


来源:血管外科

党委宣传统战部编辑整理

Baidu
map