刘师傅(化名)是一位在灶台前忙碌多年的厨师,日常工作离不开频繁拎起重物。可就在1年前,他的右手开始出现莫名麻木,起初以为是劳累,没放在心上。
没想到,麻木感竟悄悄“升级”:右手靠近小指、无名指的一侧(医学上称“尺侧”)麻木得越来越严重,还伴随使不上劲的情况;更让人揪心的是,第4、5根手指慢慢出现了屈曲挛缩的畸形,变成了像“爪子”一样的形状(即“爪形手”),连端锅、拿餐具都变得困难。

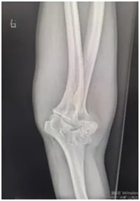
同时,刘师傅的右肘关节也出现了问题——不仅伸屈活动不灵活,外观还明显向外侧撇,正常人的肘关节本身会有一点生理性外翻(女性约10~15°,男性约5~10°左右),可医生测量后发现,刘师傅的肘关节外翻角度竟然达到了30°左右,远远超出了正常范围!
一查,原来是神经“被压迫”了
刘师傅赶忙来到郑州大学第五附属医院骨科一病区就诊。接诊医生为他安排了肘关节X线和上肢肌电图检查:


X线显示:肘关节存在明显畸形改变;
肌电图提示:尺神经损伤。
原来,长期肘关节外翻畸形,会持续压迫负责手部感觉与运动的尺神经(它从肘关节附近穿过,是支配手部精细动作的重要神经)。神经“受挤”时间久了,就会引发手麻、无力,甚至手指畸形(爪形手)。

手术:给神经“松绑”,让关节“归位”
骨科一病区徐明杰主任带领团队仔细分析病情后,决定为刘师傅实施“尺神经松解+肱骨截骨矫形钢板内固定术”:
第一步“尺神经松解”:解除被压迫的尺神经,让神经不再“挤得慌”,为后续恢复感觉和运动打基础;
第二步“肱骨截骨矫形+钢板固定”:通过精准截骨,纠正肘关节的外翻畸形,再用钢板牢牢固定,让关节恢复正常的力学结构。
术后:畸形改善,手麻减轻,患者满意
手术很成功!术后,徐主任团队第一时间到病房查房,指导刘师傅进行肘关节功能锻炼。


复查时,大家看到了明显的变化:

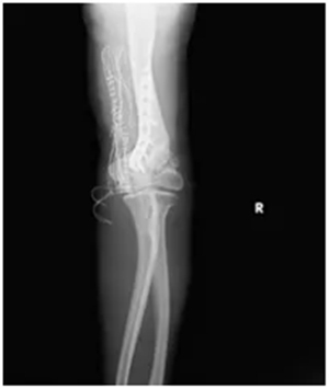
肘关节外翻角度从术前的30°左右,成功矫正到10°左右;


肘关节的伸直、屈曲活动范围,比术前明显改善;

爪形手畸形较前改善

X线复查显示:钢板固定位置十分合适,骨头对位良好;
刘师傅自己也明显感觉到:右手手指的麻木感大大减轻,之前“爪形手”的畸形也得到了纠正,手部活动灵活多了。
困扰许久的问题终于解决,刘师傅对手术效果十分满意,顺利康复出院。
【专家提醒】
徐主任特别提示:如果长期从事需要关节负重、反复受力的工作(如厨师、搬运工等),一旦出现肢体麻木、关节畸形、活动受限等情况,别硬扛!及时就医,早诊断、早治疗,才能更好地恢复关节和肢体功能。
来源:骨科一病区 王三木
党委宣传统战部编辑整理