低剂量螺旋CT
是早期肺癌筛查最硬核的办法!

肺癌是世界范围内患病率和病死率最高的恶性肿瘤。5年生存率仅为15%~16%,如果能早期阶段确诊,进行手术切除,肺癌的预后将显著改善。
美国国家肺癌筛查计划发现的肺内2cm以内的早期肺癌,通过微创外科手术,病理结果没有淋巴结转移,五年生存率能超过90%以上。在众多恶性癌症中,肺癌治疗效果最好,存活率最高。

早期发现、早诊断、早期治疗是降低肺癌病死率,提高肺癌患者长期生存率的唯一途径。
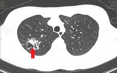
常规的肺部检查,多以胸部X光,也就是我们常说的胸片为主,但是胸透、X光片对肺癌的敏感性非常低,有局限性,正位胸片上,肺组织与纵膈、心脏及膈肌有重叠,且空间的分辨率非常差,难以做到早期发现,只能发现比较大的肿瘤,此时很多已经是中晚期了。与之相比,螺旋CT则可通过高速、连续的数据采集,且为横断面断层成像,可以发现位于解剖学死角或胸片因组织结构重叠等原因造成的病灶遗漏,明显提高了肺内小结节病变的检出能力,对早期发现肺癌具有重大意义。

据国家肺癌筛查研究表明,低剂量螺旋CT是对肺部筛查有助于发现早期肺癌,特别是周围型非小细胞肺癌,其诊出率约为胸片的10倍。可发现肺部1mm的结节,是早期肺癌诊断的“金标准”.低剂量螺旋CT扫描,获得图像质量和常规剂量扫描差异不大,且患者所接受辐射剂量降低90%.
低剂量螺旋CT是肺癌普查的首选准确方法

但并不是所有人都需要做低剂量螺旋CT,只主张肺癌高危人群做,高危人群主要有以下几种!
1吸烟人群,特别是重度的吸烟者,通常指的是每天抽一包烟;
2.每天吸烟超过20支,或者是烟龄大于20年的烟民,戒烟少于15年者;

3.年龄45岁以上者;
4.长期咳嗽、咯痰者;
5.慢性肺部疾病(如慢性支气管炎、肺结核等);
6.长期接触石棉、铬、镍、铜、锡、砷、放射性物质者;

7.有恶性肿瘤病史或肺癌家族史;

来源:医学影像科 韩爱花
宣传科编辑整理