“谁能想到是心脏里的窟窿引起的头疼,感谢!感谢!”困扰段师傅多年的偏头疼得以缓解,现在他一脸幸福,多年来第一次笑的这么轻松。
40岁的段师傅来自驻马店的一个小乡村。据段师傅回忆,20多年前他就有偏头疼的症状,当时年轻力壮加上症状也不算太重就没当回事,痛的厉害了就在诊所拿些止痛药缓解一下。
近年来,段师傅的症状愈发严重,同时还出现了视力下降,睡觉也不踏实,已经严重影响了生活,这才下定决心开始了寻医问药的历程。从县医院到市医院看了多家医院,检查没少做、药没少吃,但收效甚微。这顽固的偏头疼给段师傅带来了极大的痛苦,一度还出现了抑郁。
偶然一天,段师傅获悉同村的一位村民亲戚也曾有过类似的经历,最后于郑州大学五附院就诊、检查明确存在卵圆孔未闭,考虑顽固性偏头痛和卵圆孔未闭(PFO)有关,于心脏外科行卵圆孔未闭介入手术,现在偏头痛已经完全缓解。段师傅仿佛看到了希望,立即收拾行李来到郑州,找到了老乡嘴里说的大救星——心脏外科高兴才主任。经查看患者的CT及磁共振检查,发现段师傅脑实质及血管均未见器质性病变。高兴才主任凭借多年的临床经验,考虑存在卵圆孔未闭(PFO)所致顽固性偏头痛可能,建议段师傅住院进一步检查明确。
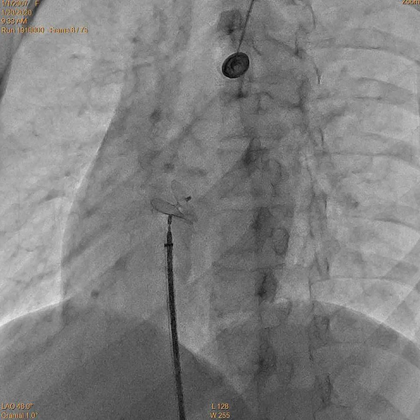
段师傅入院后,在介入组薛亦白副主任的安排下很快就完成了心脏彩超发泡试验检查,证实了高兴才主任的判断。为尽早解决患者痛苦,经积极准备,第二天由心脏外科介入组经验丰富的薛亦白副主任、张伟主治医师等为其实施卵圆孔未闭封堵手术,手术仅用时20分钟便顺利完成。术后第2天段师傅就可以下床活动,偏头疼缓解,术后第4天顺利出院。看着段师傅出院时的背影,连心脏外科的医护人员也都感受到他的那份轻松和愉悦。
科普:卵圆孔未闭是一种特殊类型的房间隔交通,一般不引起有血液动力学意义的两心房间的分流,多数情况下没有相关的临床症状和体征。成年人中有20%~25%的卵圆孔不完全闭合。卵圆孔未闭的诊断主要靠心脏超声检查来明确诊断。经食道超声心动图可以获得房间隔的细微结构图像,准确测量卵圆孔的大小,可显示经卵圆孔的异常血流,发现有无房间隔膨出瘤或附壁血栓等,被认为是目前卵圆孔未闭诊断的“金标准”。
近年来的许多研究表明,卵圆孔未闭与不明原因脑卒中患者之间存在着密切的联系。卒中是我国人群首位的致死原因及最常见的致残原因,约有10%-40%的卒中患者发生卒中原因不明或称为隐源性脑卒中。约 40% 的不明原因的卒中患者发现存在卵圆孔未闭。大量临床数据证实隐源性卒中与PFO密切相关,已经证明10%-40%的PFO与隐源性卒中的发生密切相关。不明原因脑栓塞患者PFO发生率(39.2%)高于有明确病因的脑栓塞者PFO发生率(29.9%)。PFO可导致脑卒中,部分患者会留有残疾,危及生命。
卵圆孔未闭与偏头痛
近年来发现PFO可引起偏头痛,其偏头痛的程度较重,其性质表现为一侧头部的搏动性疼痛,伴有畏光畏声、恶心呕吐,常不能正常工作学习、持续1天或更长。少数偏头痛患者每次伴有发作前的先兆感觉信号,常见有闪光幻觉和其他视觉缺损。
PFO与不明原因的偏头痛的相关性。国外报道,偏头痛患者卵圆孔未闭发生率为30~40%,有先兆偏头痛患者更是高达48-70%。最近研究表明人群中有12%的患有偏头痛,其中以女性居多。偏头痛先兆的发生在原因不明的卒中和PFO患者中的比例为52%,而在单纯PFO患者中占48%。另外,在偏头痛患者中MRI证实PFO的发生是没有偏头痛患者的13倍。经颅多普勒(TCD)微泡试验法检测卵圆孔未闭,可进一步提高检出率。所以如果患了偏头痛,再进一步检查是否患了卵圆孔未闭是非常必要的。
卵圆孔未闭的治疗
卵圆孔未闭合并不明原因的脑栓塞或TIA发作时,为防止再发脑栓塞才进行卵圆孔未闭的治疗,以预防卵圆孔未闭所致的反常栓塞。卵圆孔未闭的治疗方法有:药物治疗(抗凝剂或抗血小板制剂),经导管封堵卵圆孔未闭,外科手术关闭卵圆孔未闭。建议对卵圆孔未闭合并不明原因脑卒中患者,常规使用经皮卵圆孔未闭封堵治疗,存在房间隔瘤伴有分流的卵圆孔未闭应预防性经皮卵圆孔未闭封堵治疗。
手术方法:从大腿根部腹股沟区穿刺股静脉,从人体自身大血管路径(股静脉→髂外静脉→髂总静脉→下腔静脉→右心房→左心房)将封堵器送达并固定于未闭的卵圆孔处,PFO封堵术主体部分耗时约5-10分钟。术后无瘢痕,半年PFO平均闭合率可超过98%。
卵圆孔未闭(PFO)封堵术的推广,可降低脑卒中和偏头痛的复发率,减少相关治疗及康复花费,提高患者个人生活质量,节约社会公共医疗资源,具有一定的社会经济效益。


来源:心脏外科 张伟
宣传科编辑整理