在开始今天的主题之前
我们先来读首诗吧

要想客观认识事物的全貌
就必须从不同角度出发
由点及面
在医学上
皮肌炎
就像是庐山一样
“千姿百态”
什么是皮肌炎
是一组主要累及皮肤和肌肉的自身免疫性疾病,可发生多种内脏器官损害,也可仅累及皮肤和肌肉。
以独特的皮肤损害(如水肿性紫红色斑、指关节伸侧紫红色丘疹和皮肤异色症等)和肌肉无力为特征。

▲ 分布在双侧眶周的水肿性淡紫色斑(又称“向阳性皮疹”)

▲ 掌指关节、指间关节、肘和膝关节的伸面出现的略隆起的紫红色丘疹或破溃性皮疹


▲ 肩背部,颈部、前胸领口 “V” 字区弥漫性红斑,分别称为“披肩”征和“V”型疹。

▲ 指腹皮肤的过度角化、脱屑、粗裂,特别是示指桡侧出现的皮肤病变,称为“技工手”。
很多小伙伴可能认为
皮肌炎从字面理解
如此特异的皮疹
应该是它唯一的特征吧
事实上

皮肌炎是炎性肌病的一种亚型,是主要累及皮肤和肌肉的自身免疫性疾病,也可出现肺脏、心脏、肾脏等重要内脏损害。
01.肌肉损害
四肢近端肌肉最易受侵害,如三角肌和股四头肌等,多对称发病。
病变肌肉有无力和疼痛等症状,并表现出相应的运动障碍,如上肢抬高困难,下肢不能抬步和下蹲后不能起立。
食管和咽喉部肌肉受累时有吞咽困难、进食咳呛、发音改变等。呼吸肌受累可出现气促、呼吸困难。

02.消化道损害
在系统损害中消化道症状最多见,表现为腹胀、食欲降低、消化与吸收不良、便秘或腹泻。
近1/3的患者有吞咽困难;肝功能异常在疾病活动时多见。

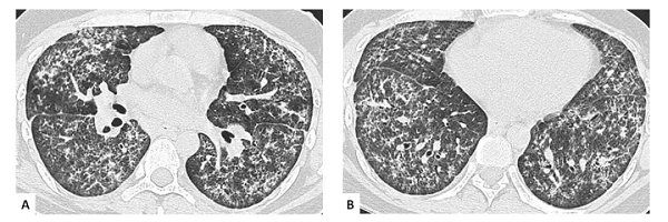
03.呼吸系统损害
常见的肺部病变是:间质性肺炎,发生率>40%。
多呈缓慢发展,可有不同程度的干咳、呼吸困难,易继发感染。
少数患者的肺间质病变以急性型出现,表现为急性发热、呼吸困难、发绀、干咳。
个别还可出现气胸、纵隔积气甚至广泛的皮下气肿。

04.心脏损害
心脏病变较多,约50%可发现异常,但大多较轻微。
少数患者因心肌病变而出现严重心律失常,甚至心力衰竭,预后十分凶险。

05.合并恶性肿瘤
25%的患者容易伴发肿瘤,肿瘤可发生在肌炎出现之前,同时发生,也可在其之后。
常见的肿瘤类型包括:肺癌、胃癌、乳腺癌、鼻咽癌和淋巴瘤等。
最后再次提醒:皮肌炎并非单纯皮肤病,而是一种自身免疫性疾病。皮肌炎造成皮肤损害同时,还可能引起重要脏器损害,切勿掉以轻心。
如出现上述病症,请微信搜索公众号“风湿论坛”或扫描下图二维码添加关注,并及时至郑州大学五附院风湿免疫科就诊!

来源:风湿免疫科 朱帅
宣传科编辑整理