颅外动脉硬化性疾病的相关危害已被越来越多的人了解,颈动脉内膜剥脱术和颈动脉、椎动脉支架置入术也越来越普及地运用于各级医院,这对预防脑梗死等脑血管意外事件的发生至关重要。但一些复杂性颅外病变的治疗仍是一个棘手的问题,如多支病变、合并脑动脉病变、闭塞性病变、解剖困难病变等。这时,正确地制定治疗策略就显得非常重要。
郑州大学第五附属医院血管外科作为河南省血管外科界的领航者,在治疗难治性、复杂性颅外动脉病变上具有较高的水平。在学科带头人王兵副院长的领导下,该团队总结了大量的临床病例经验,把握学术前沿,熟练运用药物、手术、腔内治疗等利器,为每位患者制定个体化的治疗策略,从而达到最优的临床效果。近期,他们就成功地对一位合并颅外、颅内、多支病变的复杂病例实施了个体化治疗,达到了满意的临床效果。
这是一位64岁的老年男性患者,反复头晕4年,症状最重时不能下床行走,严重影响日常生活,在当地医院定期输液治疗,仍无法减轻症状。2周前,症状明显加重,头晕发作频繁,站立即出现头晕加重,终日卧床,非常痛苦,输液治疗不能缓解。在当地医院行头颅SCT提示多发脑梗死,行颈部血管检查提示颅外动脉多发硬化、狭窄性病变。经多方打听,患者来到了郑大五附院血管外科住院治疗,颈部及头颅CTA提示颅外动脉多发硬化性病变,其中右颈动脉重度狭窄,左颈动脉、右椎动脉纤细,近似闭塞,左椎动脉开口处重度狭窄,左侧颅内动脉烟雾病样表现,供应颅脑血供的4支重要血管都不同程度地出了问题,且左侧颅内血管也存在问题,这说明颅脑严重缺血,随时可能发生脑梗死、脑血栓等致命性危害,治疗刻不容缓!但所有的血管又不可能同时处理,那究竟先处理哪一支呢?而哪些动脉是不需要处理的呢?开通颅外血管后对颅内动脉的影响有多大,患者脆弱的大脑能不能承受呢?一系列问题摆在了医生面前。在王兵副院长的带领下,血管外科全体医师进行了激烈的讨论,为患者制定了一个可行的治疗方案,由于左颈内动脉及右椎动脉纤细,开通对患者颅内血供的意义不大,所以可后期处理,右颈动脉和左椎动脉开通的意义较大,结合患者症状优先开通供应前循环的右颈动脉更为妥当,且患者左颅脑动脉烟雾病样表现,所以开通右颈动脉导致脑出血的风险较小,由于多支病变,为了避免阻断导致脑梗死风险,手术方式选为支架置入术理所当然,但右颈动脉的斑块性质不良,存在溃疡斑块可能,一旦溃疡斑块被支架挤碎就会发生右侧大脑半球的栓塞事件发生,所以对腔内的操作技巧要求极高。这就相当于在一个摇摇欲坠的房屋中加支撑柱,搞不好就会因为操作不当造成房屋的彻底坍塌。但王兵副院长带领的团队对此信心满满,这种自信来源于丰富的临床经验、恰当的治疗策略、高超的手术技巧和来自患者的绝对信任。
手术如期进行,正如术前所料,右颈动脉斑块的性质不佳,手术难度、风险极大,但王兵副院长带领崔文军副主任医师和安乾、司江涛主治医师克服了重重困难,有惊无险地顺利完成手术,成功地在凹凸不平的血管内、斑块上置入了一枚支架,解除了狭窄、改善了血流、阻隔了斑块,达到了非常满意的效果。术后患者头晕症状很快消失,1周后顺利出院,恢复了正常的生活。


术前CTA

术中支架置入前造影

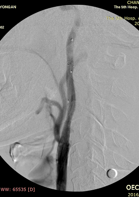
术中支架置入后造影
策略固然正确,手术固然精彩,但这种复杂、难治的病变并不是血管外科医师愿意见到的,这可能是患者长年来不能得到正确治疗的产物,反映了患者的预防意识不足、社会体检不规范和地方医师对该疾病的认识及重视程度的欠缺。所以说,向社会大力普及颅外动脉病变知识是尤为重要的,预防该疾病的发生、及早发现和处理病变对于血管外科及其他相关专业的医师来说是一种义务、也是一份责任,老话说“上医治未病”,我们任重道远。
来源:血管外科 安乾
宣传科编辑整理