杨大哥正值壮年,为人豪爽,刚过完年的他突然出现了头晕,言语不清伴肢体无力,在当地医院治疗后效果不佳,辗转来到郑州大学五附院就诊。

不幸的是,杨大哥刚到医院诊室就出现了急性呼吸暂停,意识丧失,医生为其检查后考虑为“延髓梗死”所致的脑干功能障碍,并转入重症医学科紧急救治。通过积极治疗,杨大哥的意识逐渐清晰,呼吸功能也恢复良好,全家正开心的时候,杨大哥却又出现了持续不断的血尿症状,病人的生命再次受到威胁。


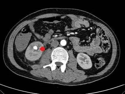
▲ 红色箭头为肾动脉分支动脉瘤
关键时刻,医院紧急组织多学科会诊,受邀参加的介入科会诊后考虑肾脏动脉瘤破裂出血可能性大,通过联系医学影像科完善肾动脉CTA检查。不出所料,一个直径约2cm的“炸弹”映入眼帘。介入科吕军主任医师检查后考虑存在活动性出血,若不采取积极措施干预,杨大哥随时可能出现失血性休克,让脑梗进一步加重,甚至危及生命。通过耐心地解释沟通,家属打消了顾虑,并决定同意手术。


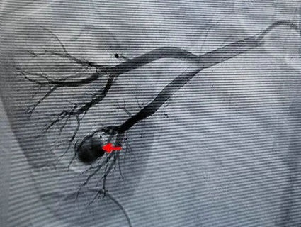
▲ 左图红色箭头为肾动脉分支动脉瘤,右图红色箭头为栓塞治疗后效果
时间就是生命,在吕军主任医师的指导下,通过术中肾动脉造影,发现肾动脉分支动脉瘤,找出了问题所在,微导管到位、颗粒栓塞一气呵成,病人血尿颜色变淡,手术治疗取得圆满成功。根据术后随访,杨大哥未再出现血尿,并已于近日出院。
肾动脉瘤是动脉壁局部薄弱后所形成的永久性异常扩张,其是一种较为少见的疾病,它属于动脉瘤的一种。

目前研究表明,动脉瘤主要相关因素是动脉粥样硬化,其余依次是创伤、遗传因素、梅毒感染、纤维发育不良等;肾动脉瘤的治疗手段主要分为腔内介入、开放手术、腹腔镜手术。其中肾动脉分支栓塞术该法适用于瘤体位于肾脏一极的肾内动脉瘤患者。介入科在吕军主任医师的带领下成功开展内脏动脉瘤治疗多年,技术成熟,能够为广大病友提供有效的治疗方案。
来源:介入科 刘凯
宣传科编辑整理