郑州大学第五附属医院

郑州大学第五附属医院
搜索按钮
进入适老模式
信息公开
医疗动态
首页>信息公开>医疗动态

优质医疗服务系列报道 | 反复创面破溃竟有截肢风险,MDT模式让“糖足”患者重获新生......

发布时间:2022/7/7文字调整

年过七旬的老张已被右脚上的溃疡折磨了3年多,多次住院治疗却因创面反复破溃而痛苦不已。近一周以来,老张右脚疼痛明显加重,甚至需要坐轮椅出行,在当地医院就诊时,医生告诉老张“病情发展严重的话可能要截肢”,更是吓得他茶不思饭不想。经过了解,得知郑州大学五附院血管外科在治疗慢性溃疡方面经验丰富,便立刻来院就诊。




血管外科创面治疗组组长王颖博士接诊后,发现老张右足前中足红肿明显,局部皮肤已破溃,足底存在一贯通性溃疡,足底胼胝体,但末梢循环尚可,可触及到下肢动脉搏。通过研判,王颖博士确认患者为“典型糖尿病性足坏疽”,并已继发严重感染,需尽快切开引流,否则进一步发展确实存在截肢风险。



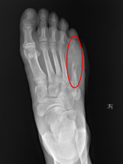
▲ 骨质破坏区


王颖博士为老张实施的对穿引流、冲洗创面直至无脓液渗出,并给予抗感染治疗。术前检查显示,老张的右足第5趾跖骨骨质均破坏,合并骨髓炎,并存在下肢动脉硬化、糖尿病的情况。



▲ 清创后负压引流


通过对老张的病情进行糖尿病足多学科联合会诊(MDT)管理,组内的内分泌科余玲副主任医师指导其调整血糖、改善饮食。骨科何江涛主治医师考虑到老张右足坏死合并骨髓炎,无严重缺血,建议应尽快彻底清创,去除死骨,同时联合封闭式负压引流治疗。完善术前各流程后,由王颖博士与何江涛主治医师共同实施,成功清创并去除死骨,清创完毕后创面给予封闭式负压引流,并给予生长因子灌注冲洗。



▲ 治疗后创面愈合


术后一周时去除负压装置,可见老张的创面明显改善,肉芽生长良好,血管外科创面治疗师张丽娜和宋小晴为其隔日换药,局部应用生长因子配合泡沫敷料,严格控制血糖,同时给予抗感染、改善循环等药物治疗。经过后期一个月的清创换药治疗,老张入院时濒临截肢的右足得以痊愈,彻底摆脱了轮椅。


据统计,我国目前糖尿病患者超1亿人,并且发病率仍逐年增高,伴随而来的是糖尿病足发病率的增加,我国50岁以上的糖尿病患者,糖尿病足的发病率高达8.1%,糖尿病溃疡患者年死亡率高达11%,而截肢患者死亡率高达22%,成为糖尿病患者致残和致死的主要原因之一,且费用巨大。糖尿病足重在预防,日常生活中要积极控制血糖,加强足部护理,正确治疗灰指甲、胼胝体、嵌甲等足病。一旦出现足部溃疡需尽早就医,做到及时、规范的诊疗。




多学科联合会诊(MDT)是由多学科专家已共同讨论的方式,为患者制定个性化诊疗方案的过程,既往多用于肿瘤等病变。近些年来以糖尿病足为代表的慢性难愈合性创面,因其病变复杂、治疗周期长、花费高,越来越受到临床关注。郑州大学五附院自2020年实施糖尿病足MDT以来,已成功为百余位患者避免截肢,有效提高其生活质量。


来源:血管外科 王颖

宣传科编辑整理

Baidu
map