郑州大学第五附属医院

郑州大学第五附属医院
搜索按钮
进入适老模式
信息公开
医疗动态
首页>信息公开>医疗动态

优质医疗服务系列报道|求医26载,年轻的他为何成为常年服药的“老病号”?

发布时间:2022/7/17文字调整

小周今年28岁,却已经是他四处求医的第26年。从2岁开始,小周突然出现发作性肢体抽搐,有时还伴有口眼歪斜、意识不清。多年来,他跟随父母辗转多地,被确诊为药物难治性癫痫,经过数次治疗,病情却仍依然无法控制。经过多方打听,他来到郑州大学五附院神经外科二病区。


入院后,医院神经外科二病区(河南省癫痫疾病系统化诊疗中心)专家团队为小周进行相关检查后,很快找到问题所在。原来小周的左侧大脑中央区存在局部代谢及结构异常,高度怀疑局灶性皮质发育不良。但由于癫痫病灶的位置十分特殊,恰好出现在负责右侧上肢的运动和感觉功能的区域,因此内科药物治疗效果十分有限。而外科手术对于小周的病灶,就好比“虎口拔牙、龙头锯角”,肢体偏瘫的可能性非常高,治疗难度可想而知。




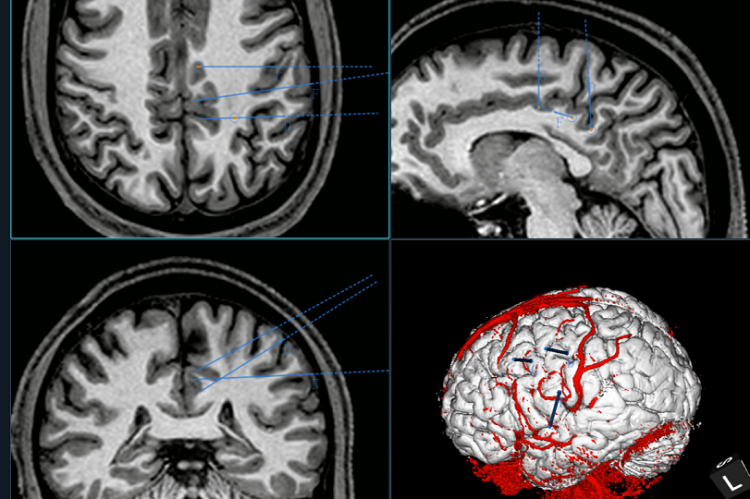
▲ 完善术前检查,并对手术进行规划


医院癫痫诊疗中心立即组织专家会诊,神经外科二病区主任单峤、神经电生理科主任吴艳芝,特邀首都医科大学宣武医院神经内科专家孙伟教授一起,综合分析讨论小周的病情,一致认为:患者难治性癫痫诊断明确,病灶位置特殊,外科治疗风险很高,但如采用立体定向脑电图技术(SEEG)进行微创热凝处理,或者指导探明相对安全手术路径,将有机会达到理想治疗效果。






▲ 神经外科二病区团队为小周实施SEEG手术


小周和家人经过慎重考虑后,决定接受SEEG手术。经过周密准备,手术由单峤主任、吴建珩副主任医师和王振博士团队实施。在神经外科手术机器人导航下,植入7根微电极,每根电极都精准的置入到靶点位置,术后复查CT并进行多模态三维重建,显示手术非常成功。通过后续治疗,小周癫痫发作已经较术前明显减少,现已康复出院。



▲ 术后神经电生理监测


单峤主任表示,立体定向脑电图技术(SEEG)是一种微创的癫痫定位评估手段。由法国的Bancaud和Talairach两位教授提出,采用立体定向的方法植入脑深部电极,对癫痫异常放电的起源、播散形式进行记录,从时间上和空间上进行评估,可实现对癫痫病灶进行精准定位。


应用SEEG技术,针对于功能区的癫痫灶,可以通过颅内电极的电刺激进一步验证手术方案,避免损伤重要的神经功能,降低手术风险。针对癫痫灶明确、局限的患者,可以做到仅仅毁损或者切除癫痫灶而保留病灶周边的正常脑组织,从而达到微创治疗的目的。


来源:神经外科二病区 王振

宣传科编辑整理

Baidu
map