田女士是一位50岁的女性患者,因持续头痛1周于2016年7月22日就诊于郑州大学五附院血管外科。王兵副院长仔细查看田女士的病情并继续详细追问病史后,考虑患者极有可能是颅内静脉窦血栓形成。通过进一步完善头颅核磁共振检查明确了静脉窦血栓的诊断,遂给予规范抗凝治疗。
治疗期间,田女士的头痛症状持续加重,甚至一度出现谵妄,严重的时候不认识自己的家人。介入科吕军主任会诊后考虑患者抗凝治疗效果不佳、头痛症状持续加重,核磁共振提示血栓阻塞范围较大,进一步发展,患者颅内血液回流严重障碍,导致脑水肿加重,可致脑出血、脑疝形成等,严重者可危及生命。目前保守治疗效果欠佳,可考虑进一步行颅内静脉窦球囊扩张术,把阻塞的静脉窦打通出一个通道,缓解颅内高压状态。手术风险虽较大但这是唯一的机会,家属慎重思考后决定要搏上一搏。

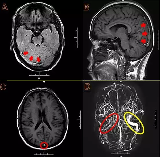
患者上矢状窦下部、窦汇、右侧横窦、乙状窦血栓形成
由血管外科转入介入科后,考虑到田女士病情严重,介入科吕军主任放弃周末休息时间为患者急诊实施介入手术。手术室外骄阳似火,介入手术室中吕军主任身穿沉重的铅衣,挥汗如雨,娴熟的用手中的导丝、导管在血管中有条不紊的完成一步步的手术操作。
静脉窦是脑膜和内皮细胞共同围成的颅内静脉引流系统,少扩张一分则可能解决不了静脉引流问题,多扩一分则可能导致静脉窦破裂出血,每一步的手术操作都好似刀尖上的舞蹈。因患者病变范围较广,程度较重,又大大增加了手术的难度,吕军主任领导的介入团队,不畏艰险,攻坚克难,抽丝剥茧般的一点点用球囊把阻塞的静脉窦反复扩张,扩张之后复查造影,结果让大家倍感欣慰:静脉窦内的血流较手术前明显改善,表明脑组织内瘀滞的血流有了“出路”。
术后转入重症监护病房,在重症医学科医师们的精心治疗下,田女士恢复良好,头痛症状奇迹般的缓解了,整个人的精神状态也一天好过一天,并于2016年8月3日顺利康复出院。据了解,田女士是郑州大学五附院第一例静脉窦介入治疗患者。
小贴士
颅内静脉窦血栓是一类少见的脑血管疾病,约占成人脑卒中1%。由于发病率低,症状和临床表现多无特异性,因此临床误诊、漏诊较多,死亡率较高。早期诊断、及时有效治疗是改善患者预后、降低死亡率的关键。
尽管颅内静脉窦血栓形成是一种少见并致死率较高的脑血管疾病,但随着神经影像学的发展、神经介入放射学技术的飞速发展,颅内静脉窦血栓形成早期诊断率和治愈率将进一步提高。

郑州大学五附院介入科能够完成颅内动脉系统、静脉系统的所有脑血管介入手术,此次,他们又独立完成了医院首例颅内静脉窦血栓的介入手术,标志着郑州大学五附院神经介入专业的诊治水平又提高了一个新台阶,处于省内领先水平。郑州大学五附院神经病学专业在院内神经内科、外科实力的不断增强下不断壮大,如今,有了神经介入专业的加入,将更好地为广大神经疾病患者提供优质的医疗服务。
来源:介入科 逯党辉
宣传科编辑整理