14岁的莹莹(化名)是驻马店人,今年6月麦收时节,她坐着叔叔的拖拉机去田地干活,不小心从车上摔了下来。莹莹并未感到不适,从地上站起来拍拍身上的土继续干活……
少女不幸遭遇胰腺肿瘤
莹莹妈妈知道后,有些不放心,带她到县医院做检查。结果却意外发现莹莹腹中长了一个直径约60mm的巨大肿瘤。妈妈吓坏了,赶快给在北京务工的丈夫打电话,决定去北京再看看。莹莹在首都医科大学附属北京朝阳医院做了全面详细检查,医生诊断莹莹胰腺长了一个巨大肿瘤,需要手术切除。
正值豆蔻年华却遭此不幸,莹莹父母十分难过。莹莹家境并不宽裕,而北京医疗花费太高,莹莹父母又带她回到县医院。县医院医生说,手术难度太大,县级医院没有能力做这种手术,父母多方打听询问,慕名找到郑州大学五附院肝胆胰腺外科主任李晓勇教授。
肿瘤被重要血管包裹 手术难度极大
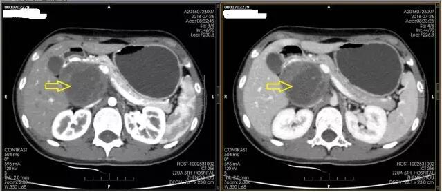
7月23日,莹莹住进郑州大学五附院肝胆胰腺外科病区。
住院后,经过详细的术前检查,李晓勇教授多次认真研究患者CT及MRI片子,发现肿瘤将周围血管、胆管等重要管道结构推挤至肿瘤前方,许多重要血管结构将肿瘤团团包围,手术切除风险极大。术中一旦出现重要血管损伤,将会导致大出血并严重影响所支配脏器血液供应,届时,将不得不扩大手术范围,连同缺血脏器一并切除(胰头十二指肠切除手术),创伤明显增大,术后风险及并发症明显增加,且会严重影响患者术后的生活质量,甚至会严重影响患儿的生长发育,后果不堪设想。但如果放弃手术,患者不久将会出现黄疸、消化道梗阻(无法进食)等情况,危及生命安全。

注:箭头所指为肿瘤,肿瘤周围白色影为包绕肿瘤繁杂的血管
经过再三权衡,并与家属沟通,李晓勇主任制订了详细的手术计划。首要方案,也是最佳方案——保留十二指肠、胆管的胰头肿瘤切除手术(Takada手术):通过精细化操作,避开重要血管,让不可能变可能,完整切除肿瘤。该方案既能彻底切除肿瘤,又能减少创伤,最大限度保证重要脏器的完整性,不会对脏器的功能产生影响。然而该手术难度极大,需要主刀医师具有高超的技术以及丰富的临床经验,稍有不慎将不得不采取创伤更大、切除器官更多的胰十二指肠切除术,这也是本次手术的备选方案。

4小时奋战 成功切除肿瘤
8月2日,手术在紧张有序的气氛中如期进行,术中发现肿瘤体积巨大,6cm×6cm×5cm,起源于胰头,周围与门静脉、胆总管下段及胰管关系密切,其中门静脉及胆总管明显受压并推挤移位,已经严重影响了门静脉血流及胆汁的正常排放。并且门静脉多支粗大侧支血管布满肿瘤表面,手术难度可想而知。在李晓勇主任医师、崔卫东副主任医师、陈升阳医师及张永医师的共同努力下,有麻醉科郭佩垒医师的保驾护航,历经4个小时的奋战,迎难而上,巨大肿瘤被成功切除。此时检查手术创面,发现胆总管下段、门静脉主干完全裸露,因为术中操作精细,这两个重要结构没有任何损伤。至此,手术室里紧张窒息的气氛一下子就缓和了,主任也舒展了眉头。当李主任将切除的肿瘤让莹莹妈妈查看时,莹莹妈妈更是激动地热泪盈眶。

术中照片

切除巨大瘤体

手术前后对比

术后经过精心的治疗及护理,患者恢复顺利,3天后开始进食,1周顺利出院。出院时,患者父母喜悦及感激的心情无以言表,特地制作了一副沉甸甸的金匾,借此再次向李晓勇主任及科室全体医务人员表达深深的谢意。
来源:肝胆胰腺外科 陈升阳
宣传科编辑整理