十一假期前期,胃肠甲状腺外科接收一名由北京某医院转入的腹痛患者。入院时,患者精神差,睑结膜苍白,呈痛苦面容,腹部疼痛拒按。追问病史,患者疼痛约20余天,院外依赖“度冷丁”止痛,院外CT考虑胃大弯占位,于当地医院等待手术,近两日患者疼痛较前明显加重,急来该科就诊。
科主任崔小兵主任医师诊视患者后指出:“诊断考虑胃大弯占位:间质瘤可能,目前患者腹痛剧烈,有腹膜炎体征,不排除有肿瘤破裂可能,急查腹部CT,完善相关化验检查,尽早手术。”紧急动员之后,管床医生及护士密切合作,启动急危重症患者工作流程,全程陪同外出检查,结果提示:1.胃巨大占位;2.盆腹腔大量积液,考虑胃间质瘤破裂;3.失血性休克代偿期(患者心率102次/分,血压105/74mmHg)。主任当机立断,要求紧急联系麻醉科、输血科,拟于假期前一天急诊手术探查。

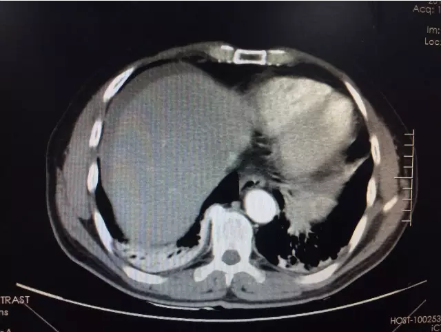
术前CT提示胃巨大肿瘤占位

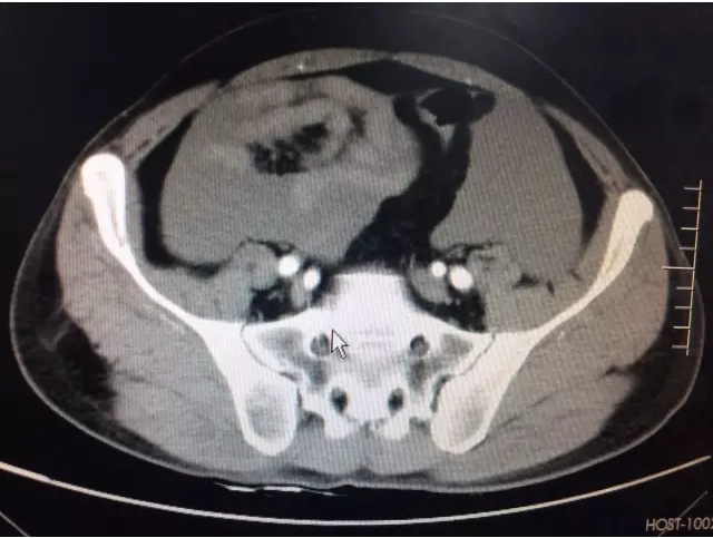
术前CT提示盆腔大量积液

术前CT提示肝周积液
术中探查可见大量陈旧性积血,量约2000ml,胃大弯侧有一20*15*10cm肿瘤已破溃出血,大网膜粘连包裹肿瘤严重。患者大量出血,血容量严重不足,常规情况下切除手术时间太长,必须尽快拿下肿瘤。崔小兵主任医师临危不乱,快速抉择,另辟蹊径直接对肿瘤下手。在郭魁元副主任医师、麻醉科胡强夫主任、屈罡升医师、王玉贞主管护师的精心配合下,仅花了10分钟,就成功切除了出血的巨大肿瘤,使患者转危为安。十一期间,在主管医生及护理部精心治疗、细心护理下,患者顺利恢复,康复出院。

术中暴露破裂的巨大肿瘤
(为减轻不适,已做黑白处理)

术后完整切除的肿瘤标本
(为减轻不适,已做黑白处理)
崔小兵主任医师指出:“如此巨大的肿瘤破裂出血,病情十分危急,大量的出血会导致血压下降、失血性休克,稍微来晚一点或处理不当,都有可能导致患者死亡,同时对急腹症患者正确的诊断,果断及时手术是保证患者生命安全的关键。”

胃肠甲状腺外科主任崔小兵主任医师
该例重症患者的抢救成功,充分体现出郑州大学五附院胃肠甲状腺外科是一支“训练有素,来之能战,战之必胜”的优秀外科团队。
胃肠道间质瘤(Gastrointestinal Stromal Tumors, GIST)是一类起源于胃肠道间叶组织的肿瘤,占消化道间叶肿瘤的大部分。胃肠道间质瘤占胃肠道恶性肿瘤的1~3%,GIST大部分发生于胃(50~70%)和小肠(20~30%),结直肠约占10~20%,食道占0~6%,肠系膜、网膜及腹腔后罕见。GIST病人20-30%是恶性的,第一次就诊时约有11~47%已有转移,转移主要在肝和腹腔。无特异性临床表现,病程可短至数天长至20年,恶性GIST病程较短,多在数月以内,良性或早期者无症状。GIST的主要症状依赖于肿瘤的大小和位置,通常无特异性。胃肠道出血是最常见症状。贲门部GIST吞咽不适、吞咽困难症状也很常见。部分病人因溃疡穿孔就诊,可增加腹腔种植和局部复发的风险。常见症状有腹痛、包块及消化道出血及胃肠道梗阻等。腹腔播散可出现腹水,恶性GIST可有体重减轻、发热等症状。部分肿瘤较大的患者可触及腹部活动肿块、表面光滑、结节或分叶状。患者可出现贫血、低蛋白血症,大便潜血阳性。CT 平扫发现肿瘤多呈圆形或类圆形, 少数呈不规则形。良性肿瘤多小于5cm ,密度均匀,边缘锐利,极少侵犯邻近器官,可以有钙化表现。恶性肿瘤多大于6cm,边界不清,与邻近器官粘连,可呈分叶状,密度不均匀,中央极易出现坏死、囊变和出血, 肿瘤可出现高、低密度混杂, 钙化很少见。
传统的GIST治疗以手术治疗为主,虽最近在GISTs病理及基础研究取得很大进展,新的化疗药物研究也取得了一定的进展,但手术治疗仍是目前取得临床治愈的最佳治疗方法。
来源:胃肠甲状腺外科 罗昭锋
宣传科编辑整理