近日,郑州大学五附院神经外科三病区付旭东主任带领其团队再次使用神经内镜治疗了一例脑室腹腔分流术后复发的复杂脑积水病例,取得了很好的疗效,得到了病人家属的一致肯定。神经内镜巧解复杂脑积水,医患和谐再续新篇章。
50岁的刘师傅在早年从事屠宰行业,由于当时卫生条件差、自我保护意识不强,不幸得了脑囊虫病。患病早期刘师傅主要表现为癫痫发作,也就是家里人所谓的“羊羔疯”,需要长期服用抗癫痫及抗囊虫药物治疗,而且失去了挣钱养家的能力。这对本不富裕的家庭来说无疑是雪上加霜,家里顿时失去了顶梁柱。
在治疗脑囊虫病期间,刘师傅又渐渐出现了反应迟钝、记忆力减退、走路不稳等症状,检查发现颅内形成了继发性脑积水。鉴于当时的医疗条件及经济情况,刘师傅做了脑室腹腔分流手术,并且选择了一根不可调压的分流管。手术后刘师傅症状得到明显改善,生活能够自理,心理压力也减轻了许多,这种状态持续了5年。
可就在20余天前刘师傅又出现了反应迟钝、走路不稳、记忆力减退等症状,并有视力下降,严重时连自家卫生间都不知道在哪。家人将其送至当地医院就诊,复查磁共振后发现竟然又有脑积水了,但是经检查分流阀是正常的。这就难住了当地的医生,并且建议家属如此复杂的脑积水最好重新放置一根可调压的分流管。可调压分流管价格昂贵不说,当刘师傅得知需要再在自己脑子里放一根管子时,他对这个手术极其抗拒,宁愿不治也不再放管子了。
得知刘师傅的复杂病情后,家人亦是心痛不已,全家都深受疾病所累。刘师傅的病情日渐严重,家人经多方打听得知,郑州大学五附院神经外科三病区付旭东主任能够做神经内镜治疗脑积水且不需要放置分流管,于是赶紧将病人送至该科就诊。
周少龙医师接诊病人后对其病史进行了详细采集,并积极完善了术前检查。付旭东主任详细询问病史并仔细阅片后认为患者脑积水较为复杂,既往有脑囊虫病病史,再放置分流管容易堵塞,而且费用昂贵。经多方权衡,付旭东主任建议行神经内镜手术治疗,并与其家人进行了详细沟通,讲明了其中利弊,患者家属欣然应允。

神经外科三病区主任付旭东
手术进行的很顺利,在麻醉科的配合下,术中付旭东主任娴熟的运用神经内镜,打通了脑脊液的另一条循环通路,并对其原有的分流管进行了仔细探查,手术时间大约40分钟。术后第一天患者的症状即得到了明显改善,在与查房医护人员交流时也露出了久违的笑容。
在神经外科三病区全体医护人员的悉心照料下,刘师傅恢复的很快,病情逐渐好转,人也日渐精神起来,全家人身上的重担也终于卸去,对付旭东主任及其团队表达了由衷的感谢,着实令人欣慰。


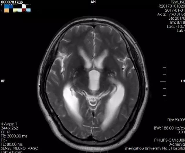
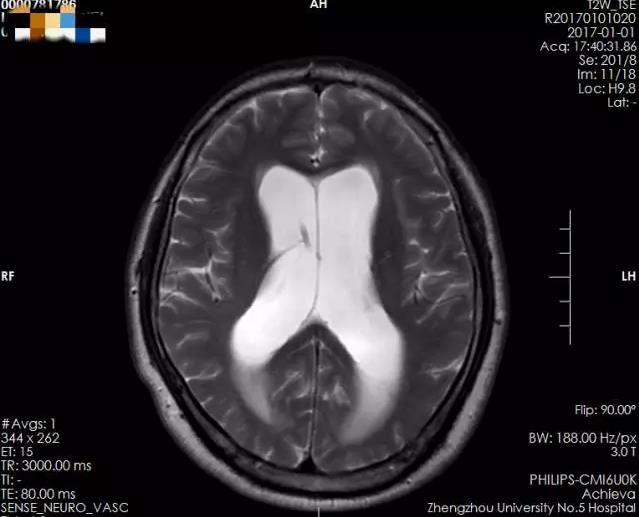
术前侧脑室、三脑室均增大,并有室旁水肿,测量三脑室大小约1.49cm


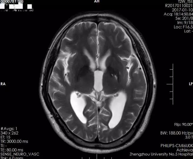
术后侧脑室及三脑室较前明显缩小,室旁水肿基本消失,测量三脑室大小约1.10cm
科普
神经内镜技术是“微创神经外科”理念的突出代表。以“神经内镜技术”处理神经系统疾病,具有创伤小、安全度高、恢复快和费用低等优点,在发达国家已广泛开展,但国内目前尚未完全普及,甚至许多大型三甲医院还不能开展该类手术。如下疾病最适合神经内镜治疗:1.大多数脑积水;2.颅内蛛网膜囊肿;3. 大多数垂体瘤;4. 脑囊虫病;6.高血压脑出血;7.脑脊液鼻漏;8.视神经卡压综合征。
神经内镜治疗脑积水不仅创伤小、恢复快,而且住院时间短,不用放置分流管,同时也在一定程度上减轻了患者的心理压力及家庭的经济负担,是一种值得推广的好技术,相信将来一定能造福更多的相关疾病患者。
来源:神经外科三病区 周少龙 魏恺言
宣传科编辑整理