去年年末,71岁的樊奶奶遇到了烦心事:肚子胀,在村里卫生所拿的药也不管用,渐渐的,家人发现她的脸黄了,眼睛也黄了,自己感觉吃饭吃不进去,肚子胀疼,大便变成了白色。到县医院看病,医生建议做CT检查,结果说是胆管内长了一个瘤子,堵住了胆管使胆汁流不出去,怀疑是肿瘤,得做手术。县医院做不了,得到省里大医院去,家人急了,樊奶奶害怕了。经过多方打听了解到郑州大学五附院李晓勇教授在肝胆胰腺肿瘤诊治方面技术精湛、治疗效果好、治愈率高,还有目前全世界最先进的纳米刀消融技术,于是在家人陪同下来到肝胆胰腺外科就诊。
樊奶奶来的时候精神很差,意志消沉,她神情沮丧地说:“这次我活不了了,吃不下饭,该死了,县里大夫都不给我治了。”家人也都跟着愁眉苦脸。
李晓勇教授根据病人情况多次组织科室病例讨论,认为患者年龄大,黄疸较重,肝功能较差,高胆红素血症,严重低蛋白血症。肿瘤已侵犯门静脉,不可能切除,决定先进行PTCD引流,待肝功能好转、全身营养状况改善后可行纳米刀消融手术治疗。接受PTCD术后10余天樊奶奶的黄疸减轻,身体条件较之前好转,具备了行纳米刀消融手术的条件。
手术由李晓勇教授亲自主刀,术中见肝门部质硬肿物,侵犯左右肝管,后方边界不清,无法手术切除。李晓勇教授、陈艳军副主任及郜宇医师在术中仔细分离粘连,清晰地暴露肿瘤位置,根据肿瘤大小及形态,设计进针位置,超声引导下将消融针穿刺入肿瘤内,避开门静脉,多次穿刺消融,直至肿瘤全部覆盖。

李晓勇主任在术中
在主管医生陈艳军副主任的细心诊治下,术后第10天,樊奶奶已恢复了正常饮食,精神状态好了,食欲好了,体力也增强了。她激动得握着李晓勇教授的手说:“感谢主任救了我一条命,又能多活几年了!”每次查房时都很高兴说自己很能吃,每天围着病房走廊转多少圈,现在身上不黄了,也不痒了,小便颜色也正常了,大便也黄了,病好了,李主任的技术真是高,感谢纳米刀技术救了自己一命。
术后15天,樊奶奶做了经PTCD管给胆管造影,结果发现肝内外胆管已经通了。术后40天,樊奶奶又来院复查,她告诉李晓勇教授自己的食欲现在非常好,生活质量比以前明显提高。陈艳军副主任为樊奶奶复查了肿瘤标记物,结果发现肿瘤标志物已经完全恢复正常。

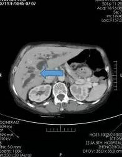
入院SCT增强扫描(箭头所指为肿瘤部位)

PTCD术后

纳米刀消融术后1周SCT增强扫描(箭头所指为原肿瘤部位)

术后2周胆道造影
来源:学生党支部 胡水全
宣传科编辑整理