近日,郑州大学五附院神经外科三病区付旭东主任带领其团队再次使用神经内镜成功治疗了两例颅内巨大蛛网膜囊肿患儿,术后症状均明显改善,手术创伤小,患者恢复快,再次体现了神经内镜治疗颅内蛛网膜囊肿的一大优势。

神经外科三病区主任付旭东
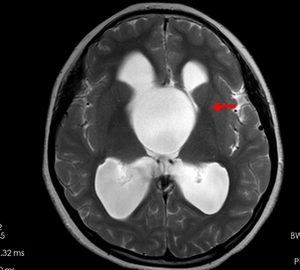
芳芳(化名)今年14岁,正值花季年龄的她却有着自己的烦恼。原来芳芳的生长发育跟同龄人相比明显迟缓,不但个头低于同龄人,并且有喝水多、上厕所频繁的现象,因此也变得不愿与人交流。家人不敢掉以轻心给女儿查了个头部的磁共振。不查不知道,这一查居然发现芳芳脑子正中间的位置有一个巨大“水球”,医学上叫做“鞍上池蛛网膜囊肿”,正是这个大水球压迫丘脑等重要结构引起了芳芳发育慢、尿崩等症状。当地医院条件有限,于是转入郑州大学五附院神经外科三病区就诊。付旭东主任带领其团队认真研究了患者的影像学资料,制定了神经内镜造瘘打开蛛网膜囊肿侧壁,把“死水”变成“活水”的手术方案。手术过程很顺利,术后喝水多、小便频繁的症状明显改善。由于神经内镜创伤很小,芳芳术后很快康复出院。

术前鞍上池巨大蛛网膜囊肿及其典型的“米老鼠”征

术后7天复查囊肿明显缩小
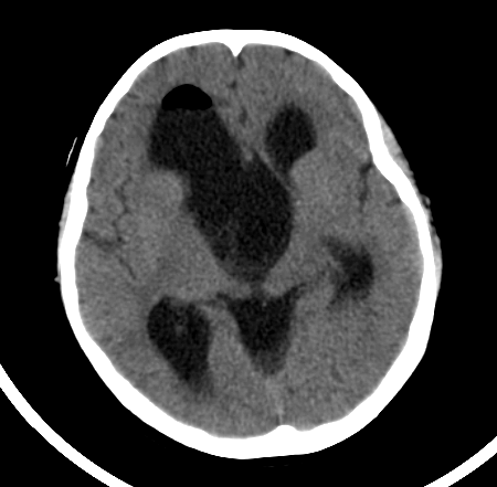
2岁的浩浩(化名)是个可爱男宝宝。一个月前家人发现他间断恶心、呕吐,在当地医院查了个头部的CT,结果显示浩浩左侧接近一半的脑子被一个巨大“水球”所占据,医学上叫做“中颅窝蛛网膜囊肿”。由于孩子太小,家人很是谨慎,经过多方打听了解到郑州大学五附院有神经内镜治疗颅内蛛网膜囊肿技术,于是转入神经外科三病区就诊。浩浩的病情得到了付旭东主任和麻醉科胡强夫主任及其团队的高度重视,为其制定了周密的手术方案,同样要把“死水”变成“活水”。在兄弟科室的通力合作下手术过程顺利,术后浩浩的症状明显改善,家人悬着的一颗心也终于落了地。同样由于神经内镜创伤小的优点,浩浩很快顺利康复出院。

左中颅窝巨大蛛网膜囊肿,占据了近一半脑子

术后11天复查MRI囊肿明显缩小,脑组织回弹
来源:神经外科三病区 周少龙
宣传科编辑整理