郑州大学第五附属医院

郑州大学第五附属医院
搜索按钮
进入适老模式
信息公开
医疗动态
首页>信息公开>医疗动态

“一体多病”不要慌 全科出招帮您忙

发布时间:2024/4/11文字调整

“我是不幸的,同时我又是幸运的,不幸的是近半年来我接二连三患上了多种疾病,幸运的是我遇到了郑州大学五附院全科医学科德技双馨的医护人员,感谢全科医学科两次挽救我的生命!”张阿姨出院时激动地说。


image009_副本

image013


故事要从五个月前说起……


张阿姨既往患“冠心病、不稳定型心绞痛、持续性房颤、慢性心衰、肺动脉高压、高血压、2型糖尿病、下肢静脉血栓”等多种疾病,一直未规范慢性病管理,血糖控制也较差,1年前感染新型冠状病毒后出现间断胸闷心悸并反复双下肢水肿,间断服用利尿剂治疗,效果不好。张阿姨求诊郑州市某医院治疗,考虑新冠病毒感染并发念珠菌肺炎、念珠菌尿路感染,因尿潴留留置导尿管导尿,经抗病毒、抗真菌等治疗后好转出院,院外继续服用抗真菌及纠正心衰药物。出院2天后自行拔除导尿管,出现不能排尿及腹胀、嗜睡、乏力、气喘、不能行走、双下肢凹陷性水肿症状,痛苦中的张阿姨求诊至郑州大学五附院全科医学科。


接诊医师别柏林检查病人后考虑为急性尿潴留并多病共存患者,病情危重,夏雪娇护士长及护理团队立即给予留置导尿管导尿、吸氧、心电监护并加强护理,入院化验提示合并甲型流感病毒感染,医疗组积极给予抗真菌、抗流感病毒、抗细菌、消肿、减轻心脏负荷、抗凝、控制心率及补充蛋白等综合治疗,患者一体多病,慢病管理较差,别柏林医师对张阿姨加强慢性病管理及用药指导。经悉心治疗后,张阿姨逐渐可以下床活动了。


image001

image003


此外,张阿姨一直迫切希望能够尽量恢复正常排尿,拔除尿管,正常生活。患者经会诊及检查考虑神经源性膀胱可能性大,夏雪娇护士长看在眼里急在心里,指导家属给予规范腹部按摩,叮嘱患者主动下床排尿锻炼,经护患协作,张阿姨自主排尿功能很快恢复,了却了张阿姨的心愿。免疫力下降,一体多病的张阿姨住院期间又出现左侧胸壁多发皮疹、水疱,考虑为带状疱疹,经抗病毒及对症治疗,同时护理团队加强破损皮肤管理,张阿姨的带状疱疹很快痊愈出院。出院后张阿姨按照医嘱随诊、服药,日常生活能够自理,慢性病得到较好管理,念珠菌肺炎逐渐好转。


image005

image007


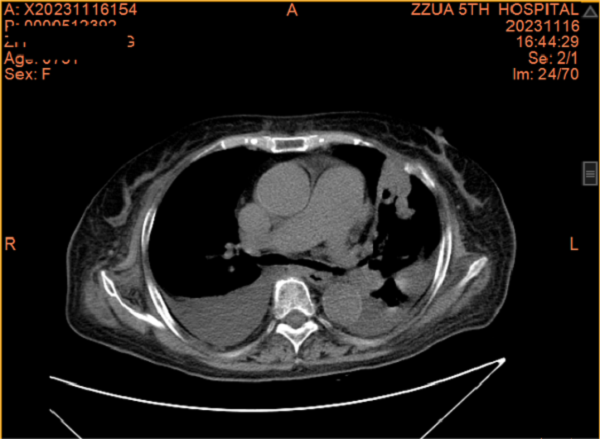
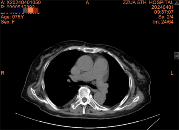
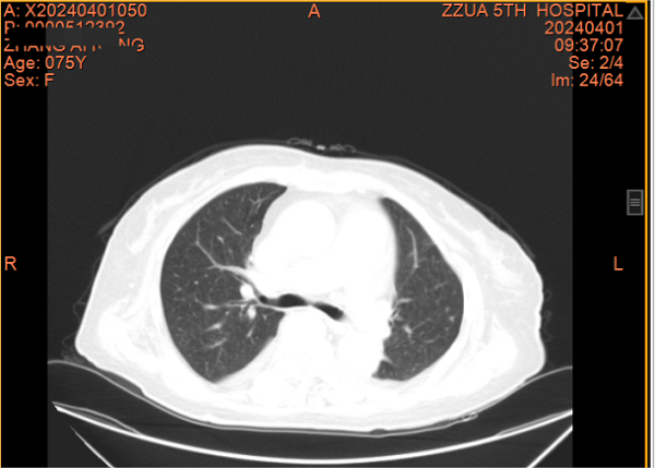
一个月前,张阿姨再发胸闷、心悸,这次张阿姨主动找到了全科医学科。住院期间因受凉出现鼻塞、流涕、发热,病情进展迅速,咳嗽、咳痰、胸闷、心悸、气喘等症状明显加重,动脉血气提示Ⅰ型呼吸衰竭并代谢性酸中毒。张阿姨精神特别差,情绪也十分低落。全科医学科主任刘培杰主任医师及别柏林主治医师综合分析病情后,第一时间给予碳青霉烯类积极抗感染、糖皮质激素抗炎、硝酸酯类扩张血管减轻心脏负荷、控制快速心室率、经鼻高流量湿化氧疗等综合治疗,护理团队给予饮食指导及心理辅导,张阿姨的病情很快得到控制,经复查胸部CT,肺部病变较前明显吸收,出院时再次对其慢性病管理及预防、治疗措施对其进行了再次的细致交代,病情好转出院。


这才发生了开头的一幕!


全科医学科是河南省医学重点学科,集医疗、教学、护理、科研为一体的专业学科,目前是国家级全科医师规培基地,专业技术力量雄厚,主要以呼吸系统疾病及内科常见病、多发病、亚危重症、一体多病及以症状学为表现的常见健康问题的诊疗为重点,以针对病人全程管理为要素,涵盖慢性病的管理及康复保健。


来源:全科医学科 别柏林 李海燕

党委宣传科编辑整理

Baidu
map