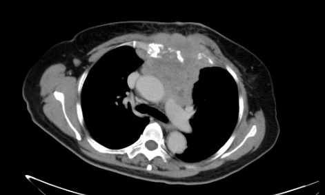
半年前65岁的祁阿姨体检查胸部CT发现前纵隔占位,侵及胸骨及部分肋骨,与纵隔血管关系密切,伴有胸骨疼痛。

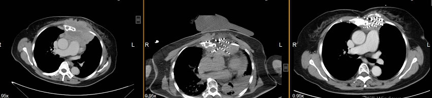
入住郑州大学五附院肿瘤内科,经穿刺活检确诊为乳腺癌多发转移(前纵隔、前胸壁、骨、心包、心脏),经医院多学科会诊,专家组制定了治疗计划:1、患者多发转移,已失去手术时机;2、患者肿瘤负荷大,可行CT引导下经皮穿刺前纵隔、胸壁转移癌氩氦刀冷冻消融术+碘-125放射性粒子植入术联合全身化疗。


乳腺癌纵隔及胸壁转移氩氦刀冷冻消融联合放射性粒子植入治疗前、中、治疗后对比
经过冷冻消融、碘-125放射性粒子植入术,并4个周期全身化疗后,病灶明显缩小。祁阿姨原本确诊时沉重心终于如释负重,阿姨久违的笑容再次出现了。
目前手术、放疗、化疗、靶向、免疫治疗是如今恶性肿瘤主要的治疗方法,随着人民健康意识的增强,越来越多早癌被发现,新药不断投入临床,癌症控制率和总生存期也在不断提高,但仍有部分患者一经发现已是晚期,失去手术机会,或经治疗后复发/进展,或经长期抗肿瘤治疗体质虚弱,不能耐受进一步的药物治疗。这时候肿瘤微创治疗(肿瘤非血管介入治疗)提供了一种创伤和痛苦小、疗效确切的治疗方法,肿瘤微创治疗包括:放射性粒子植入术、冷消融、热消融、光动力治疗、骨水泥成形术等。

介入穿刺针

碘-125放射性粒子
放射性粒子植入属于组织间植入近距离治疗范畴,是放射治疗的方法之一,主要通过影像引导技术(CT、彩超、磁共振)通过介入穿刺针,像子弹一样将密封的放射源直接打入肿瘤病灶内,通过放射性核素持续释放射线对肿瘤细胞进行杀伤的一种治疗手段。放射性碘-125粒子能以27-35kev能量放射出γ射线,半衰期为60.2d。γ射线有效辐射半径10-15mm内肿瘤细胞的DNA,干扰肿瘤细胞DNA合成,诱导细胞凋亡,杀灭肿瘤细胞,小血管,小神经等,达到缩小肿块,缓解疼痛的目的。放射性粒子在治疗实体肿瘤具有精度高、创伤小和疗效肯定等优势,近年来3D打印模版技术的发展进一步提高了精度、安全性,缩短了手术时间。



碘-125放射性粒子3D打印模版在颅脑肿瘤碘-125植入术


手术中

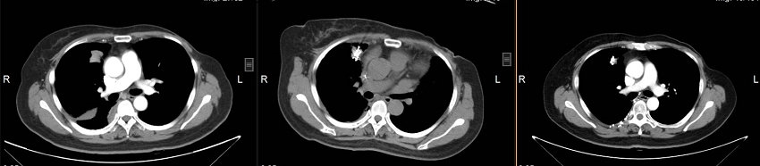
乳腺癌肺转移粒子植入治疗前、治疗中、治疗后1年对比
图片:以上网络图片如若涉及侵权行为,请联系我们,我们将第一时间清除
来源:肿瘤内科 刘鸥飞
党委宣传科编辑整理