爆米花大家都吃过,一粒小小的米,在爆炸声中变成了圆滚滚的小宝贝。是什么魔法呢?直到长大了才知道了其中的奥秘。

物理学告诉我们,大米等食材在加热的过程中,锅内的温度不断升高,锅内气体的压强也不断增大。温度升高到一定程度,米粒便会逐渐变软,米粒内的大部分水分变成水蒸气。但此时米粒内外的压强是平衡的,所以米粒不会在锅内爆开。当锅内压强升到4-5个大气压时,突然打开爆米花锅的顶盖,锅内的气体迅速膨胀,压强很快减小,使得米粒内外压强差变大,导致米粒内高压水蒸气也急剧膨胀,瞬时爆开变成了爆米花。
脑内长了“爆米花”?
脑内可能也会生长“爆米花”,爆米花只是一个形象的比喻,“爆米花”其实是脑海绵状血管瘤的一个典型影像特征。爆米花可成蘑菇形和球形、不规则形态,基本形状是球形。

1什么是脑海绵状血管瘤?
海绵状血管瘤,又称海绵状血管畸形,是由众多薄壁血管组成的海绵状异常血管团;其外观形似“爆米花”或“桑葚”,剖面呈海绵状或蜂窝状,直径介于2毫米至数厘米不等;显微镜下,海绵状血管瘤由扩张的薄壁毛细血管构成,血管壁中缺少弹力纤维和平滑肌。
海绵状血管瘤在人群中的发病率为0.16%—0.50%;大脑半球是最常见的发病位置,占70%—90%,少部分发病于小脑和脑干;女性发病率高于男性。

2脑海绵状血管瘤是怎么引起的?
1.先天性学说 认为与遗传性、先天性因素有关,婴幼儿患者和家族聚集发病支持先天性学说;研究表明,海绵状血管瘤为不完全外显性的常染色体显性遗传性疾病。

2.后天性学说 认为传统放疗、病毒感染、外伤、手术、出血后血管性反应均可诱发海绵状血管瘤。
3脑海绵状血管瘤的危害
1.癫痫发作是脑海绵状血管瘤最常见的症状,癫痫发作的类型多样,与病灶位置有关。海绵状血管瘤易诱发癫痫,可能是由于海绵状血管瘤出血对邻近脑组织的不良刺激,病灶周边脑组织出现含铁血黄素沉积、胶质增生或钙化等而形成致痫灶。

2.头痛症状:脑海绵状血管瘤出血或渗血后常引起头痛症状。
3.局灶性神经功能缺失症状(与病灶位置有关):
●位于脑干的海绵状血管瘤出血或渗血后患者常出现一侧面瘫、对侧肢体偏瘫症状;
●位于运动区的海绵状血管瘤出血或渗血常造成患者对侧面瘫或肢体肌力下降;
●位于枕叶视觉皮层区的海绵状血管瘤出血或渗血常引起患者视野缺损或视力下降;
●位于海绵窦者常引起患者面部疼痛、眼睑下垂、眼球运动异常等症状。

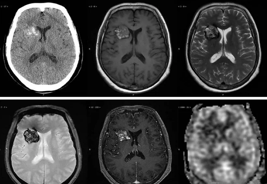
4得了脑海绵状血管瘤做哪些临床检查?
1.脑部CT 脑海绵状血管瘤在CT中典型表现为边界较清楚、密度不均或高密度影,部分病灶伴有钙化;脑部CT检查可能遗漏体积较小的海绵状血管瘤。

2.脑部MRI 脑海绵状血管瘤诊断价值最高的检查;在T2序列上,可见海绵状血管瘤出血形成明确的含铁血黄素沉积低信号带,可见病变呈“爆米花”或“桑葚”样。
脑部CT和MRI检查可明确海绵状血管瘤的位置并对其进行分型并预测其生物学行为;例如分叶状的海绵状血管瘤,既往常有出血史,该类海绵状血管瘤再出血风险高。
3.脑血管DSA 主要用于鉴别海绵状血管瘤和动静脉畸形等其他血管畸形,以及进一步明确海绵状血管瘤是否合并静脉畸形等血管畸形。

5脑海绵状血管瘤如何选择治疗?
1.手术切除 若患者出现癫痫、神经功能障碍等症状或海绵状血管瘤体积较大,应首选手术切除;患者临床症状通常是因出血引起的,手术主要目的是减轻或消除出血及出血引起的癫痫、神经功能障碍,并且需要配合应用抗癫痫或神经营养药物。

2.伽玛刀立体定向放射外科 伽玛刀放射外科治疗脑海绵状血管瘤能降低其出血风险,改善临床症状, 特别是癫痫症状,远期影像随访可见海绵状血管瘤闭塞、缩小、消失;适用于多发、或位置深在、手术风险大、或手术切除不完全的海绵状血管瘤。

3.临床观察 若患者海绵状血管瘤影像未见出血、无临床症状且体积较小,可动态观察,定期复查头颅CT或MR,观察海绵状血管瘤情况,主要关注其有无扩大、渗血以及患者是否出现神经系统症状等。
脑海绵状血管瘤的治疗需神经外科医生综合患者的临床表现、病变位置、数量及体积、潜在风险、既往出血情况等,权衡不同治疗方式的利弊,制订个体化的治疗策略。
图片:以上网络图片如若涉及侵权行为,请联系我们,我们将第一时间清除
来源:伽玛刀治疗中心 杨如意
党委宣传科编辑整理