郑州大学第五附属医院

郑州大学第五附属医院
搜索按钮
进入适老模式
信息公开
医学科普
首页>信息公开>医学科普

近视可不只是看不清哦~

发布时间:2024/12/6文字调整

当眼睛调节放松时,根据等效球镜(SE)划分:

①近视前期:-0.50D<se≦+0.75d;

②轻度近视:-3.00d<se≦-0.50d;

③中度近视:-6.00d<se≦-3.00d;

④高度近视:se≦-6.00d。


640_副本


大部分近视为轴性近视,为眼轴变长所致(眼轴是指眼球的前后径)。正常人眼轴约为24mm,高度近视通常眼轴大于26.5mm。眼球像气球一样,气球充气越多,气球壁越薄,眼轴越长,视网膜也就越薄。高度近视让我们的眼睛看起来变凸、镜片厚重,不仅会影响我们的颜值,而且还隐藏着巨大眼部健康风险。


640 (1)_副本


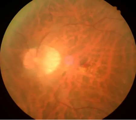
高度近视引起眼底问题

1. 豹纹状眼底

度数越高,眼轴变长,视网膜变薄,透见脉络膜大血管及血管间隙的色素区,因像豹子的皮肤,故称“豹纹状眼底”。


640 (2)_副本

正常眼底

640 (3)_副本

豹纹状眼底


2. 后巩膜葡萄肿

近视眼球后部明显变长时,其后极部产生限局性巩膜扩张形成葡萄肿。


640 (4)_副本

640 (5)_副本


3. 视网膜变性、裂孔,视网膜脱离

部分高度近视患者,眼底容易出现周边视网膜变性。大约5%的近视眼发生视网膜脱离,近视程度越高发生的概率越大。


640 (6)_副本

孔源性视网膜脱离


4. 近视性脉络膜新生血管(CNV)

以穿透Bruch膜的新生血管为表现的眼部病变。约10%的高度近视患者会出现近视性CNV。


640 (7)_副本

近视性CNV


5. 黄斑病变

如黄斑萎缩、黄斑裂孔、黄斑出血、黄斑劈裂等并发症。


640 (8)_副本

黄斑劈裂

640 (9)_副本

黄斑裂孔


高度近视需注意以下几点

1. 避免剧烈活动:避免参加如蹦极、跳水、过山车、跳伞等对眼睛有冲击力的活动。

2. 避免用力揉眼:经常反复揉眼,容易产生圆锥角膜、角膜损伤、晶状体脱位、视网膜脱落等风险。

3. 避免重体力劳动及外力撞击。

4. 避免熬夜及长时间近距离用眼。


有一个误区,有些人认为做完近视手术眼睛就好了,其实不然,近视手术只是让咱们脱镜,咱们的眼轴及视网膜结构已经发生改变,这是不可逆也无法改变的,近视眼的各种风险还是存在的。


温馨提示:建议高度近视的朋友们(包括做完近视手术的),每年进行一次眼底检查,及时发现视网膜病变,如果发现视网膜周边裂孔及变性区,应积极视网膜激光光凝治疗,避免进展为视网膜脱离;如出现眼前闪光感、黑影飘动,需及时眼科就诊;如出现视网膜脱离时,可选择不同手术方式促进视网膜复位。


(部分图片素材来源网络,侵权即删)

来源:眼科    刘欣

党委宣传统战部编辑整理

Baidu
map