
神经外科三病区主任付旭东在术中
郑州大学五附院神经外科作为河南省医学重点学科,河南省癫痫规范化诊疗中心,在癫痫的外科治疗方面一直走在省内前列。
近一月来,郑州大学五附院神经外科三病区付旭东主任带领其团队完成了三例癫痫的外科手术治疗,手术效果良好,患者术后均未出现癫痫再发。三例患者均处于花样年纪,癫痫使他们背上了沉重的精神负担,手术的成功使他们的青春之花再次绽放!
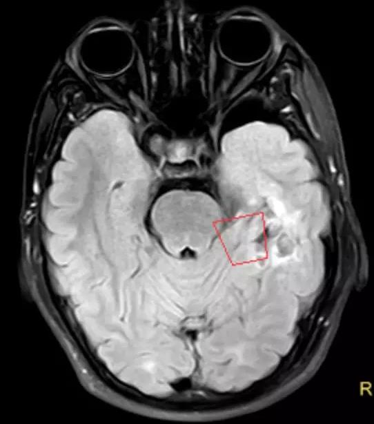
23岁的小李(化名)一直在南方打工,通过自己的努力承包了一个快递点,当上了小老板。然而,他却在自己事业有成的时候患上了癫痫,每次发作都要持续三五分钟。在南方某医院检查后诊断为脑瘤引起的,这可吓坏了小李。为了更好的治病,家里人带着他找到了付旭东主任。通过进一步的检查以及长程视频脑电监测,考虑左侧叶低级别胶质瘤合并继发性癫痫(图1)。付旭东主任及其团队为小李制定了一个详尽的手术方案,术中监测确定癫痫病灶并切除肿瘤,术后再次监测确保癫痫灶切除彻底。在麻醉科及癫痫定位室医务团队的配合下,手术进行的很顺利,切除脑肿瘤的同时也切除了癫痫病灶,一举两得。

图1 红框所示左颞叶病变,考虑低级别胶质瘤
小孙(化名)今年20岁,5岁的时候就出现了癫痫,当时由于年龄小,他的父母没敢给他做手术,一直口服药物控制。随着年龄的增长,小孙的精神压也越来越大,癫痫发作的也越来越频繁,吃药效果也不好了。经多方打听,父母带着他找到了付旭东主任。经过术前癫痫定位评估,小孙的癫痫病灶相对局限,手术效果应该比较好。经过充分的沟通,小孙和父母毫不犹豫的决定接受手术。同样在麻醉科及癫痫定位室医务团队的配合下,手术进行的很顺利,癫痫病灶被全部切除(图2)。术后小孙恢复很快,癫痫也未再发作,一家人很是感激和欣慰。

图2 切除术中癫痫病灶
年仅15岁的花季少女小睿(化名)于4年前在家乡医院检查时发现脑子里面长了一个囊肿(图3),虽经多家医院诊治,但家属对是否手术治疗仍拿不定主意。经当地医生推荐,家属带着小睿找到了郑州大学五附院神经外科学科带头人王新军教授。王新军教授仔细评估后认为小睿目前没有明显症状,可以先观察暂不做手术,日后定期随访,这一随访就是4年。随访过程中,小睿出现了癫痫发作,并且有说话不流利,理解能力下降的症状,于是在家属陪同下于近日再次来到郑州大学五附院。王新军教授带领付旭东主任及其团队对小睿进行了详细的影像学检查及癫痫定位评估,制定了周密的手术方案。手术由王新军教授亲自主刀、付旭东主任及其团队配合,通过术中监测确定癫痫病灶(图4),切除蛛网膜囊肿,术后再次监测确保癫痫灶切除彻底。在麻醉科及癫痫定位室医务团队的鼎力支持下,手术顺利,切除蛛网膜囊肿的同时也切除了癫痫病灶。术后小睿恢复很快,癫痫未再发作,言语功能也明显改善。

图3 左颞叶蛛网膜囊肿 红箭头所指

图4 术中脑电监测
这样的病例还有很多,每个患者的故事都不尽相同,但他们都因为一个共同的选择——郑州大学五附院,而重获健康的体魄,重拾生活的信心。神经外科三病区将在学科带头人王新军教授、科主任付旭东的带领下继续秉承“一切以病人为中心”的精神理念,以精湛的技术和优质的服务继续为广大癫痫及其他神经外科疾病患者解除病痛。
科普:
癫痫外科治疗
癫痫,俗称“羊羔疯”,是一种由多种病因引起的慢性脑部疾病,以神经元过度放电导致反复、发作性和短暂性的中枢神经系统功能失常为特征,常表现为四肢抽搐、意识丧失、口吐白沫、眼球上翻,持续时间不等。对于药物难治性癫痫、有明确责任病灶的继发性癫痫,通过术前严密的影像学及神经电生理学评估,可以行外科手术治疗取得良好的效果。
来源:神经外科三病区 周少龙
宣传科编辑整理