今年已经68岁的吴先生,平时身体没什么大碍,1年前在田间干活时突然出现脖子发紧、闷气,那种感觉特别难受,吸不上气,就像要死了一样!一阵一阵的胸痛让吴先生极为恐慌,而最近一周这种情况愈发严重,甚至夜里也会发作。
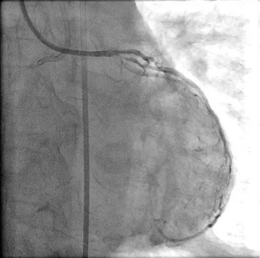
在当地医院给予药物治疗无效之后,家人这才意识到病情的严重性,经朋友介绍立即陪吴先生来到郑州大学五附院就诊。根据患者的特殊病情,心血管内科三病区董守仁主任马上给吴先生办理住院手续并开通绿色通道,当天就进行冠脉造影检查。据董主任介绍,该患者冠脉血管病变极其严重且血管条件很差,前降支狭窄90%以上,左旋支及右冠已经完全堵塞,患者随时可能猝死,介入手术风险极高。董主任在完成造影术后立即联系心脏外科高兴才主任,共同会诊后决定尽早为患者实施手术治疗。
前降支90%狭窄

左旋支闭塞

右冠闭塞
然而事情远没有这么简单。在给吴先生做术前检查后,发现患者存在较严重肺部感染的情况,发热、血象高、血沉快,并且双肺内可见多发感染灶。根据吴先生的病情,心脏多支冠脉血管堵塞,随时可能猝死,需尽早手术治疗才能挽救患者生命。但患者肺部感染严重,同时年事已高,体质十分瘦弱,此时手术的风险很高,可是,保守治疗对于这名随时可能猝死的严重冠心病患者,这无疑是非常危险的!两难之间,如何抉择?高兴才主任积极联系麻醉科胡强夫主任等专家们一起为老先生会诊,决定先用药稳定病情,并尽快控制肺部感染,再择期实施冠脉搭桥手术。
在接下来的日子里,高兴才主任十分关注吴先生的病情,亲自安排、调整用药方案,并且每天查看,并根据心电监护显示的数值随时调整药物用量。功夫不负有心人,在心脏外科医护人员精细治疗和护理下,吴先生的肺炎在最短的时间内得到了明显改善,同时心功能没有继续恶化,手术也因此提上日程。

高兴才主任在术中(右)
对于这位高龄患者,高兴才主任术前针对手术时机,麻醉方案,是否采用常规停跳体外循环,如何让严重缺血的心肌在术后更好地恢复功能等难题再次与麻醉科胡强夫主任、心血管内科三病区董守仁主任共同召开了一次术前讨论。在做好充分术前准备后,于7月15日由高兴才主任亲自主刀为吴先生进行了冠状动脉搭桥手术。
整个手术过程中,血管吻合部分是手术含金量最高的部分。高兴才主任用比头发丝还细的线,将直径仅为约1.5mm的血管吻合,既要保证不漏血,又要保证吻合的血管通畅,每缝一针都是“精工细作”。

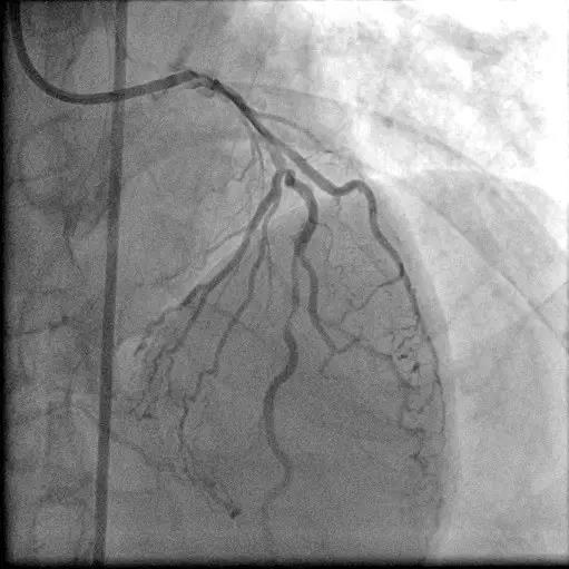
尝试PCI

桥血管
手术很成功,术后吴老先生在医护人员3天3夜坚守及精心治疗护理下,恢复顺利。已不再有胸闷、胸痛、气短等感觉,从之前发病时一步都移动不了,不到一星期也已经能下地自如活动、自理生活了。目前吴老先生已康复出院。
高兴才主任介绍,冠脉搭桥手术对于冠心病的治疗不是根治,而是通过改道解决狭窄远端冠脉血流,但不能遏制原狭窄冠脉及其余冠脉粥样硬化的继续发展,所以术后需维护桥血管通畅及延缓冠脉病变的发展。
就像修路一样,路修好了也需要维护,维护越好,道路使用的年限越长,否则道路很快就被毁坏了。
很多患者认为做完了搭桥手术就可以高枕无忧,血管可以永远保持通畅,其实不是,心脏搭桥术后更需要维护,否则术后仍可能出现冠心病心绞痛等症状的复发。
高兴才主任提醒,术后坚持四个方面:
1.定期检查、随诊
术后1年最好去医院进行冠脉CT重建以了解桥血管通畅情况及原狭窄血管进展变化。如有心绞痛等症状,则需进行冠状动脉造影检查。

2.生活规律、适量运动
要坚持规律作息、戒烟、戒酒,每天散步一般每次在20~30分钟范围,在坚持了一两周之后无异常反应,可增至45分钟至1小时。

3.健康饮食
忌多吃高脂肪、高胆固醇、高盐、高糖食物;忌饮食过多过饱,暴饮暴食。每顿饭最好控制在六七成饱;条件许可时,最好少量多餐,但每顿饭都吃半饱。

4.药物治疗
搭桥手术只是解决一段血管的问题,并没有“除根”,高血压、高血脂、高血糖等因素仍然存在,仍会对血管内壁造成损伤,所以有高血压、高血脂、糖尿病的人需在术后坚持长期服用四类药,即降压药、降脂药、抗血小板药和降糖药。

最后提醒各位,不要觉得偶尔生个气、愁眉苦脸、郁闷一下无关紧要。殊不知,心情的好坏影响着你心脏的健康,消极的心理情绪如抑郁、焦虑和愤恨等,均会对心脏造成损害,所以,积极乐观的心态对于预防冠心病是非常有利的,希望大家一定要引起重视,我们要学会发现生活的乐趣,经常保持一颗乐观向上的心态,从容看待世事。
来源:心胸外科 张伟
宣传科编辑整理