少年强则国强,孩子是国家的未来,是家庭的希望。然而7年前病魔的降临却差点扼杀了小夏(化名)家人的希望。
当时,家人发现小夏右边的肚子明显肿了起来,摸着里面有“东西”,就赶紧到当地医院就诊,彩超检查提示肝脏明显增大,肝脏弥漫性病变,肝中叶占位,性质待定。这个消息打破了既往平淡幸福的生活,小夏是家里最小的也是唯一的男丁,可以说是全家人希望的寄托。为了治好病,小夏爸爸带着孩子到了北京,在辗转多家大医院后得到的建议是——需进行肝脏移植,否则可能会危及生命。
肝移植的费用昂贵而且肝源短缺,如天文数字一样的治疗费用重重的压在了一个普通农民家庭身上。小夏的父母心急如焚,眼睁睁看着活泼可爱的小夏慢慢被病魔“吞噬”却无能为力。正在一家人准备放弃的时候,小夏父亲听同乡说郑州大学五附院李晓勇教授对肝胆肿瘤方面深有研究,手术技术精湛,就抱着搏一搏的心态,于2014年的夏天来到了郑州大学五附院肝胆胰腺外科。

▲ 肝胆胰腺外科主任李晓勇教授
李晓勇教授及主管医生陈艳军副主任医师热情地接待了小夏及家人,在全面了解病史、详细检查之后,小夏的病情让经历了种种疑难病症的李晓勇教授陷入了深思。小夏的肝脏明显增大,弥漫性肝硬化,肝中叶肿物较大,80mm×70mm左右,并且肿物与左右肝管关系密切,门静脉主干及左右支明显受压。

术前肝肿瘤

术前多发肝内胆管囊样扩张
由于肿瘤体积较大,且位置特殊,与肝内重要管道关系密切,若不治疗,随着病情进展,肿瘤会压迫肝门区生命管道,最终会危及生命。但手术切除肿瘤,风险巨大,面对如此艰难困境,李晓勇教授综合考虑了患者和其家庭的实际情况,反复研究患者影像学资料,多次组织科室及全院大会诊,克服重重困难,制定全面且易于病人家属接受的治疗方案,最终在家属全力支持与配合下,李晓勇教授带领的肝胆胰外科团队对小夏的病情制定了个体化手术方案,在手术前各项准备完善后遂于2014年8月在麻醉科、输血科等科室的全力配合下进行了肝中叶肿瘤切除术。手术过程非常顺利,术后病理诊断为肝脏局灶性结节增生(FNH)。术后经肝胆胰腺外科医护团队的精心治疗与护理,小夏恢复非常顺利,10天后康复出院。

▲ 李晓勇教授(左)在术中

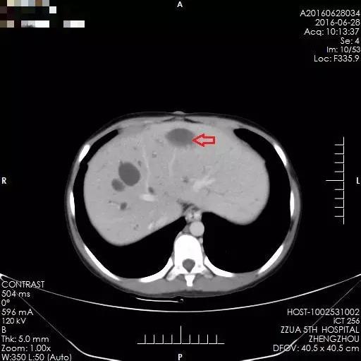
术后2年,箭头所示为肝肿瘤切除后

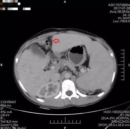
术后2年,箭头所示为多发肝内胆管囊样扩张
之后的两年里,小夏定期来院复查,肝脏内无肿瘤复发表现,病情平稳。然而,虽然解决了肝脏内肿瘤问题,但小夏的肝脏存在先天性胆管扩张、肝硬化及门静脉高压,食管下段、胃底及腹腔内有明显的静脉曲张,门静脉高压仍然缓慢进展,两年后因上消化道出血再次来到郑州大学五附院。完善相关检查,肝内未见肿瘤复发迹象,但门静脉高压症状明显,为预防再次消化道出血,缓解门静脉高压,经全面术前评估,小夏于2016年8月接受了全麻下行食管下段、胃底贲门周围血管离断术、脾动脉结扎、脾肺分流术。手术顺利完成,术后恢复良好,无任何并发症,术后定期复查,肝内未见肿瘤复发表现,门静脉高压有所缓解,病情平稳,小夏未再出现呕血。

术后3年,未见肿瘤复发,腹腔内静脉曲张程度较前减轻。
术后3年,箭头所示为多发肝内胆管囊样扩张较前无明显变化
三年的寒来暑往,小夏与郑州大学五附院肝胆胰腺外科从相识到结缘一起共同抗击病魔。这段时光已成为小夏漫漫人生旅途中最为重要、最为关键的阶段。肝胆胰腺外科的医护团队通过自己精湛的技术帮助小夏战胜了病魔的侵袭,用不懈的努力使一个面临绝境的家庭重新走上了幸福、快乐的阳光大道。
科普:肝脏局灶性结节性增生:是肝脏一种少见的良性病变,至今发病原因不清。临床表现:FNHL患者约75%是无症状的。常在超声或腹部手术时意外发现。有症状的患者可表现为右上腹疼痛、不适、肝大或右上腹包块。体检可发现肝脏位于右肋缘下或右上腹有一质硬肿块,有压痛、表面光滑,随呼吸上下移动。治疗方面:手术切除是FNH的有效的首选治疗,一般认为FNHL不发生癌变,有人主张对明确诊断为FNH的无症状者,可以保守治疗,严密随访。但一般认为基于以下理由仍应积极采用手术治疗:①FNHL较少见,影像学难于定性,最后的诊断仍须病理学判断,在鉴别诊断上仍有一定的困难,误诊率较高。特别是在影像学上无法与肝脏恶性肿瘤相鉴别时,可避免延误治疗。②患者年龄较轻或肿瘤较大,在日常生活中可能引起破裂出血者。③患者有明显症状且精神负担较重者。④手术疗效肯定,术后长期随诊无复发。对于有手术禁忌或肿块巨大不适宜手术治疗的病人,可采用肝动脉栓塞,使肿块缩小,但仍须严密观察,定期随诊。保健预防:本病暂无有效预防措施,早发现早诊断是本病防治的关键
来源:肝胆胰腺外科 张永 程冰
宣传科编辑整理