98岁的张奶奶在1个月前不慎扭伤腰部,随后出现了持续的疼痛症状。前往当地医院就诊后,磁共振检查显示她的腰1、2椎体存在新鲜压缩骨折。为此,张奶奶接受了经皮穿刺腰1、腰2椎体骨水泥成形术的治疗。术后,她的疼痛得到了明显缓解。
然而,就在几天前,张奶奶的腰痛症状突然加重,她难以站立、行走,甚至在卧床时也难以翻身。家人见状,立刻带着张奶奶来到郑州大学五附院寻求进一步治疗。骨科一病区李永革主任医师团队迅速接诊,并对张奶奶进行了详细的体格检查。
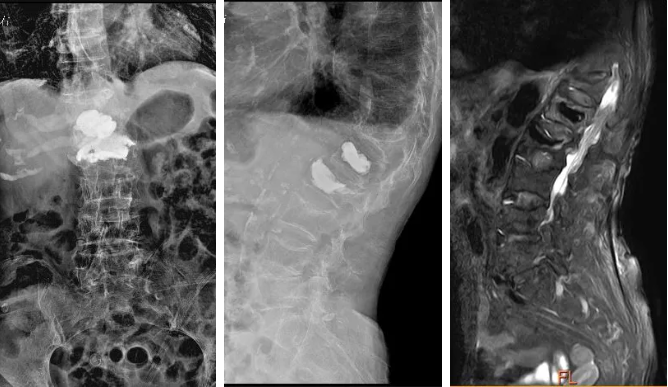
住院后,李永革主任医师团队立即对张奶奶进行了详细的体格检查,发现在胸腰段区域有压痛和叩击痛,于是复查了X线及磁共振。
X线显示张奶奶多个节段的椎体都有不同程度的压缩骨折,其中胸12椎体压缩极为严重,腰1、腰2椎体有进行过经皮穿刺骨水泥成形术的征象,而磁共振检查结果显示,胸12椎体压缩骨折有偏新鲜的影像信号,这与张奶奶自己描述的疼痛位置和李永革主任医师团队体格检查的结果是相符的,所以李永革主任医师考虑患者再次发生了胸12椎体压缩骨折,才导致目前严重的疼痛。

入院后复查的X线片和磁共振
在完善各项检查化验的基础上,评估张奶奶的体质后,李永革主任医师团队建议再次进行微创手术:经皮穿刺胸12椎体骨水泥成形术。术后患者能够快速康复、迅速缓解疼痛,提高生活质量,与患者及家属充分沟通病情及治疗建议后,患者及家属一致同意。
什么是经皮穿刺椎体骨水泥成形术?
它是一项在局麻下即可完成的手术,仅需要在腰部或背部伤椎相对应的位置切1个或2个1cm左右的小口(单侧穿刺或双侧穿刺),然后将穿刺针穿刺到椎体前1/3的深度,在透视确认位置良好后,即可注入骨水泥,待确认骨水泥完全凝固后,去除穿刺针,包扎伤口,手术就结束了。

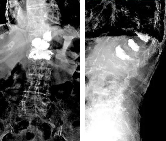
手术后复查的X线片
手术结束后,张奶奶立刻感觉到疼痛大幅度的缓解,术前稍微挪一挪身体都会引起剧烈疼痛,术后立刻就能自行翻身了,效果十分明显。手术后复查的X线显示骨水泥弥散良好。术后1周,张奶奶已经完全可以自己下地走路了。

胸腰椎压缩骨折
住院期间,张奶奶和她的家人曾产生过疑问,自己明明没有摔倒,怎么会骨折呢?因为老年女性往往都有不同程度的骨质疏松,轻微的外力就可以导致胸腰椎压缩性骨折的发生,有时不一定合并外伤史。例如,乘坐汽车时,汽车的颠簸就可以导致;骨质疏松严重的患者,甚至一阵严重的咳嗽或一个喷嚏产生的震动,也可以导致骨折。
胸腰椎压缩骨折的症状
患者主要症状是腰痛或者背痛,不敢活动或翻身,站立或行走时会加重。如果压缩程度较重,或者多阶段压缩骨折,将会产生局部后凸畸形。在压缩骨折相应的位置,按压或者叩击会有明显的深处疼痛,背部或者腰部活动时疼痛加重。X线或CT即可发现压缩骨折,但要确定是否为新鲜骨折,需再进行MRI检查。

新鲜的胸腰椎压缩骨折治疗方式可选择保守治疗和手术治疗,但保守治疗需卧床时间较长,容易发生褥疮、坠积性肺炎等并发症,一般建议手术治疗。经皮穿刺椎体成形术是一种在局麻下进行的微创手术,它有手术创伤小、术后恢复快、住院时间短的特点,适用于:
1.椎体后缘完整的新鲜骨质疏松性压缩性骨折;
2.因骨质疏松引起的近期椎体压缩骨折,椎体后缘完整但椎体前柱塌陷逐渐加重,持续疼痛者;
3.骨质疏松症;
4.椎体肿瘤的姑息治疗(止痛和预防病理性骨折)。

(部分图片素材来源网络,侵权即删)
来源:骨科一病区 王延明
党委宣传统战部编辑整理