喜欢美剧的朋友对《权利的游戏》肯定不陌生,其中有一句台词令人印象深刻:凛冬将至,这短短的四个字贯穿该剧始终,然而将至的凛冬究竟给维斯特洛大陆带来怎样可怕的灾难,相信每个看过该剧的小伙伴们心中都有答案。

然而再怎么可怕的灾难,在剧中终究只是作者编撰出来的一个故事,故事结束,梦魇也就醒了。回到现实,2019年即将步入寒冬,凛冬将至,作为血管外科的一名医生,我想问一句的是:您的主动脉还好吗?
缘何有此一问?进入10月份至今,在笔者的4个夜班里接到急诊科3次急会诊电话,均是患者突发胸背部剧烈疼痛,怀疑主动脉夹层,最终经CTA确诊,再加上其他医生收治患者,1个多月6例主动脉夹层,1例尚未手术,突发主动脉破裂出血,抢救无效死亡,1例转至我院心胸外科顺利完成人工血管置换术,另外4例均顺利完成腔内手术,恢复良好。
我们先来看死亡的那例患者,年仅44岁的男性,家中的顶梁柱,突发胸背部撕裂样疼痛6小时入院,结果尚未来得及手术就因夹层破裂导致猝死,不禁令人扼腕。


如此凶险的疾病究竟是什么来头?
就让笔者带领各位看官一起来揭开这种令人闻之心惊,见后胆寒的血管外科急危重性疾病的神秘面纱——主动脉夹层指各种原因导致主动脉腔内的血液从主动脉内膜撕裂处进入主动脉中膜,使中膜分离,沿主动脉长轴方向扩展形成主动脉壁的真假两腔分离状态。发病率每年为十万分之一至二十万分之一,高峰年龄是50~70岁,男女比例约2~3 : 1。65%~70%在急性期死于心脏压塞、心律失常等。


▲ 图片来源于网络
究竟是什么原因导致主动脉夹层的发生呢?
根据国内相关研究结果,导致国人发生胸主动脉夹层的主要原因如下:高血压、马凡氏综合征、吸烟、饮酒、动脉粥样硬化等,而这其中控制不良的高血压首当其冲!

主动脉夹层的主要临床表现有哪些?
我们又需要通过什么检查去明确诊断呢?正如图中所示,典型的症状就是突发胸背部或胸腹部撕裂样,剧烈疼痛,这种疼痛是难以忍受的,患者往往大汗淋漓,严重时出现休克、晕厥等症状。这种疼痛需要强效止痛药物,比如吗啡或者杜冷丁方能减轻。

出现此种症状时需要完成的检查包括常规的心电图、心肌酶、凝血功能,上述检查主要用于鉴别诊断,主要与心肌梗塞、肺动脉栓塞相鉴别。明确诊断需要行胸腹主动脉的CTA检查(CT血管成像)。确诊之后需要及时转入血管外科,首先要做的就是镇痛、控制血压和心率,然后依据CTA结果确定患者病变分型,依据分型制定手术方案。

目前有两种分型方式(如上图所示),临床中更常用的是Stanford分型,B型基本可通过覆膜支架的植入完成微创治疗,而A型往往提示病变更复杂,有些患者需要行传统开刀手术,但随着腔内器械及手术技术的提高和创新,目前大多A型病变的患者可通过烟囱、开窗或者分支支架的方式完成腔内治疗,极大降低了手术创伤和风险,提高了患者生存率。

▲ 覆膜支架腔内治疗示意图

▲ 传统开刀,人工血管置换术示意图

▲ 实例:术中造影可见破口

▲ 单纯覆膜支架植入覆盖破口


▲ 实例:由心胸外科高兴才主任、薛亦白主任团队完成的A型夹层的人工血管置换术


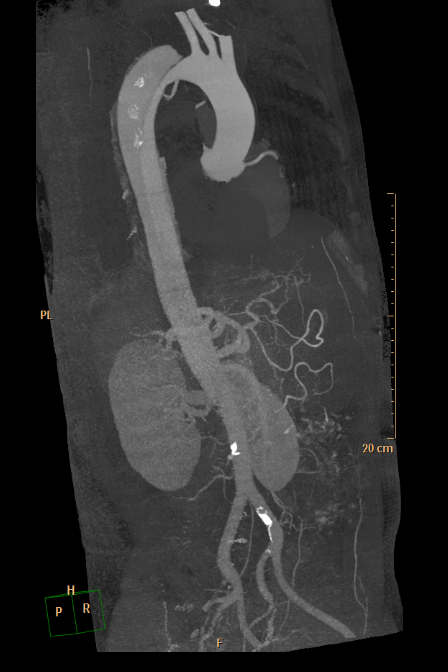
▲ 实例:覆膜支架腔内治疗+左侧锁骨下动脉单开窗(血管外科王兵教授团队)


▲ 实例:覆膜支架腔内治疗+左侧锁骨下动脉、左侧颈总动脉双开窗(血管外科王兵教授团队)


▲ 实例:主动脉瘤合并夹层腔内治疗+弓上三分支腔内重建(血管外科王兵教授团队)

上述接受治疗的患者都取得了良好的效果,那么为什么冬天主动脉夹层的发病会增多呢?是偶然,还是本病的发生跟季节真的有内在联系?现在已经有研究表明,气温对血压的变化有一定影响,寒冷季节血压升高,温暖季节血压下降,且对高血压患者以及血压控制不良的患者影响更加显著。寒冷季节血压的骤然升高或者波动增大,就容易导致主动脉夹层的发生,因此再次郑重的提醒高血压患者,特别是平素不好好控制血压的患者,进入冬季后一定要小心,好好控制、监测血压,避免剧烈活动,保持大便通畅,如果出现突发胸背部疼痛请及早就诊,诊断为主动脉夹层后至血管外科尽早治疗。
凛冬将至,您的主动脉还好吗?
来源:血管外科 王颖
宣传科编辑整理