郑州大学第五附属医院

郑州大学第五附属医院
搜索按钮
进入适老模式
信息公开
医疗动态
首页>信息公开>医疗动态

妙手“拆弹”解重负 七旬老人获新生

发布时间:2026/3/12文字调整

近日,郑州大学第五附属医院胸外科成功为一位七旬老人实施了一台高难度手术,完整切除了位于其前纵隔及胸腔内、大小达 23cm×15.7cm 的巨大脂肪肉瘤。这颗“潜伏”在胸腔内的“巨型炸弹”曾严重压迫老人的心肺,导致其呼吸困难。手术的成功,不仅让老人重获顺畅呼吸,也彰显了医院在复杂危重症诊疗领域的雄厚实力。


胸闷气短久不愈

胸腔暗藏“巨无霸”

一年来,71岁的王老先生(化名)一直被进行性加重的胸闷、气短所困扰。起初,他以为这只是年老的正常现象,并未足够重视。然而,近期症状急剧恶化,稍事活动便喘息不止,日常生活受到严重影响。更让家人心焦的是,辗转省内多家医院后,均被告知因手术风险过高而无法手术。

抱着一线希望,家人陪老人四处求医。偶然的机会,他们在网上看到了郑州大学第五附属医院胸外科高兴才主任一年前成功救治一例复杂纵隔肿瘤患者的报道。那例患者的病情更加凶险,但在高主任团队的努力下重获新生。这让王老先生一家重新燃起了希望,当即决定寻求高主任治疗。


多学科联手“拆弹”

精湛技艺显担当

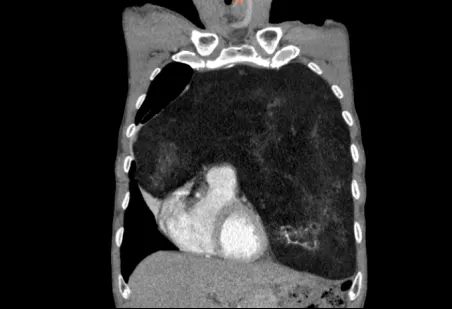
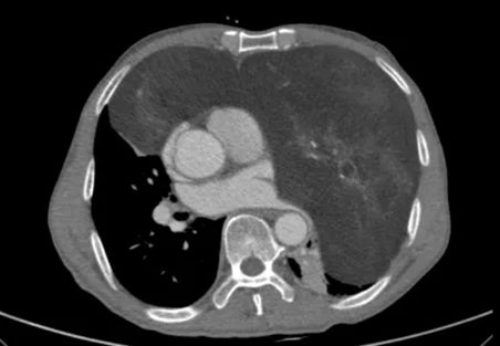
怀着忐忑的心情,家人陪同老人来到郑州大学第五附属医院胸外科就诊。完善胸部增强CT检查后,结果让经验丰富的高兴才主任也为之震惊:患者的前纵隔、左侧胸腔乃至部分右侧胸腔,被一个巨大的混杂密度团块所占据,其长径达23cm!这个巨大的瘤体几乎占满左侧胸腔,严重挤压纵隔使其向右移位,左肺因受压而萎陷。这正是导致老人长期胸闷、呼吸不畅的“罪魁祸首”。


640_副本

640 (1)_副本


面对这颗位置刁钻、体积巨大的肿瘤,手术切除是唯一有效的治疗手段,但风险极高。肿瘤毗邻心脏、大血管和肺组织,稍有不慎即可导致致命性大出血或重要脏器损伤。加之患者71岁高龄,心肺功能储备差,对麻醉和术后复苏提出了极大挑战。

面对困境,高兴才主任团队迎难而上。高主任迅速组织团队进行周密的术前讨论,依托医院强大的多学科协作平台,制定了详尽的手术方案与应急预案。

手术的成功离不开麻醉科的强力支撑。麻醉科闵娜主任团队凭借精湛技术,精准调控患者术中生命体征,成功克服了巨大肿瘤压迫导致的心血管不稳定和气道高压等难题,为手术的平稳进行构筑了坚实的安全屏障。

手术台上,由高兴才主任主刀,团队精细操作,凭借丰富的解剖经验和娴熟的手术技巧,在错综复杂的组织中仔细分离肿瘤与周围血管、神经的粘连。经过数小时的紧张奋战,这个困扰患者许久的“庞然大物”被成功完整切除(R0切除)。


640 (2)_副本

640 (3)_副本


术后呼吸“久违的顺畅”

患者重获新生

当老人从麻醉中苏醒,他下意识地深吸一口气,随即,脸上露出了久违的、轻松的笑容。他激动地告诉医护人员,这是一年来第一次感觉呼吸如此顺畅,更庆幸自己当初选择了信任高主任。


640 (4)_副本

▲ 术前(左侧)与术后(右侧)肺窗对比

640 (5)_副本

▲ 术前(左侧)与术后(右侧)纵隔窗对比

640 (6)_副本

▲ 术后复查纵隔窗(左侧)与肺窗(右侧)


在胸外科医护团队的精心治疗与护理下,老人术后恢复顺利,胸闷症状完全消失,各项生命体征平稳,对恢复情况非常满意。术后病理结果证实为纵隔脂肪肉瘤,但由于手术切除完整,为老人的长期预后和高质量生活奠定了坚实基础。

此次手术的成功实施,不仅挽救了一位老人的生命,更是郑州大学第五附属医院多学科协作(MDT)模式在复杂危重症救治中优势的集中体现。从胸外科的精湛技艺,到麻醉科的精准护航,再到术后管理的精细入微,每一个环节都凝聚着医院强大的综合实力。

高兴才主任医师表示:“如此巨大的纵隔脂肪肉瘤在临床上极为罕见,手术风险高、难度大。本例手术的成功,得益于医院强大的多学科平台支撑,也展现了我们团队敢于挑战、勇于攻坚克难的精神。患者的信任,更是我们不断前行的动力。”

未来,郑州大学第五附属医院胸外科将继续秉承“以患者为中心”的理念,不断攀登技术高峰,用更加精湛的医术和优质的服务,为更多复杂疑难疾病患者的健康保驾护航。


来源:胸外科  高兴才 宋帅林

党委宣传统战部编辑整理

Baidu
map