于师傅今年50出头,高血压已经10年,最高血压200mmHg,尽管吃了“卡托普利”、“硝苯地平”仍然控制不住,血压经常会超过180mmHg,平时没有头晕、头疼、胸闷这些症状,自己觉得年轻体质好,就没有重视。3天前突然出现后背撕裂样疼,肚子也绞痛难受,大汗淋漓,立即赶到县医院就诊,查血压190mmHg,立即做了个胸腹部CT考虑主动脉夹层,于是家人立即转到郑州大学第五附属医院血管外科。
来到五附院后,值班大夫赶紧带他做了个胸腹主动脉CTA,结果确诊胸主动脉夹层,血管内膜从左侧锁骨下动脉以远一直撕到右侧髂动脉,幸运的是夹层大部分假腔已经大部分血栓化,但是仍有破口血流进入,而且没有影响重要的内脏动脉。CTA检查还发现了一个关键问题,右侧肾动脉重度狭窄,患者高血压考虑为继发性高血压,平日血压控制不好极有可能是这个原因。
来到医院后王兵教授及崔文军主任给他制定了详细的治疗计划,血压高压达到180mmHg,赶紧用药降压,口服加静脉联合降压,结果四种口服降压药联合,血压还得大剂量的静脉降压药物才能控制。等待急性期过后,安排做了个微创手术,采取胸主动脉覆膜支架腔内隔绝术,为了改善血压水平,防止右肾萎缩、失去功能,右侧肾动脉放置了一枚支架,手术非常顺利。术后经调理后血压心率很快稳定,降压药逐渐减量,病人顺利康复。

▲ 图1 入院CTA胸主动脉夹层,假腔大部分血栓化,仍有血流经破口流入假腔

▲ 图2 术前CTA右侧肾动脉重度狭窄,右侧肾脏显影明显较左侧浅淡

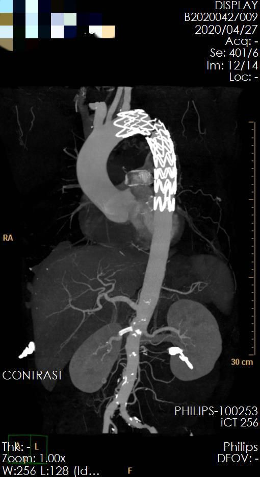
▲ 图3 术后复查,胸主动脉支架位置良好,右肾动脉血流通畅良好,肾动脉显影双侧无差异
什么是高血压?
高血压(hypertension)是指以体循环动脉血压(收缩压和/或舒张压)增高为主要特征(收缩压≥140毫米汞柱,舒张压≥90毫米汞柱),可伴有心、脑、肾等器官的功能或器质性损害的临床综合征。高血压是最常见的慢性病,也是心脑血管病最主要的危险因素,最先调查显示目前中国成人发病率约27.9%。正常人的血压随内外环境变化在一定范围内波动。

为什么会得高血压?什么人易得高血压?
高血压是一种心血管疾病,属于慢性病,目前其病因机制尚未明确,主要可能是遗传和环境共同作用的结果。随着年龄增加,动脉血管弹性减弱,脂质存于血管壁中,会出现血压上升的情况,这与情绪波动、胰岛素抵抗或肥胖都有关。而其病理生理机制可能与交感神经兴奋、神经介质释放有关。
(1)遗传因素:大约60%的高血压患者有家族史。
(2)精神和环境因素:长期的精神紧张、激动、焦虑,受噪声或不良视觉刺激等因素也会引起高血压的发生。
(3)年龄因素:发病率有随着年龄增长而增高的趋势,40岁以上者发病率高。
(4)生活习惯因素:膳食结构不合理,如过多的钠盐、低钾饮食、大量饮酒、摄入过多的饱和脂肪酸均可使血压升高。吸烟可加速动脉粥样硬化的过程,为高血压的危险因素。
(5)药物的影响:避孕药、激素、消炎止痛药等均可影响血压。
(6)其他疾病的影响:肥胖、糖尿病、睡眠呼吸暂停低通气综合征、甲状腺疾病、肾动脉狭窄、肾脏实质损害、肾上腺占位性病变、嗜铬细胞瘤、其他神经内分泌肿瘤等。

什么是继发性高血压?
又称为症状性高血压,占高血压发病的5%-10%,在这类疾病中病因明确,高血压仅是该种疾病的临床表现之一,血压可暂时性或持久性升高。比如甲状腺疾病、肾动脉狭窄、肾脏实质损害、肾上腺占位性病变、嗜铬细胞瘤。继发性高血压患者发生心血管病、脑卒中、肾功能不全的危险性更高,而病因常被忽略以致延误诊断。提高对继发性高血压的认识,及时明确病因并积极针对病因治疗将会大大降低因高血压及并发症造成的高致死及致残率。
继发性高血压有什么特点?
起病在30岁以前或50岁以后,尤其年轻患者发生了中级,甚至是严重程度的血压升高,这种情况下就要怀疑可能是继发性高血压;重度高血压,常超过180/110mmHg;对常规治理效果反应差,即使是联合多种降压药,治疗效果仍然较差。继发性高血压的症状、体征或其它检查有相关的提示,例如突发血压升高、间断血压升高、近期有明显怕热、多汗、消瘦症状,出现血尿或明显蛋白尿等,脉搏搏动不对称性减弱或消失,腹部听到粗糙的血管杂音;血压波动伴头痛、心动过速、出汗、震颤;治疗过程中血压曾经控制良好但近期难以控制,这种情况也需要排查是否继发性高血压。
继发性高血压该如何治疗?
主要是针对原发病的治疗,如嗜铬细胞瘤引起的高血压,肿瘤切除后血压可降至正常;肾血管性高血压可通过介入治疗扩张肾动脉。对原发病不能手术根治或术后血压仍高者,除采用其他针对病因的治疗外,还应选用适当的降压药物进行降压治疗。
对血压130~139/85~89mmHg正常高值阶段、超重/肥胖、长期高盐饮食、过量饮酒者应进行重点干预,定期健康体检,积极控制危险因素。
针对高血压患者,应定期随访和测量血压,尤其注意清晨血压的管理,积极治疗高血压(药物治疗与生活方式干预并举),减缓靶器官损害,预防心脑肾并发症的发生,降低致残率及死亡率。
高血压可以预防吗?
对于高血压家族史或有高危因素的人,预防高血压非常重要,预防措施主要为保持健康的生活方式。运动可以改善血压水平,非高血压人群以及血压稳定控制在目标水平患者,每周应至少锻炼5天,高危患者锻炼前需经专业评估。注意减压或避免压力,指定管理压力的策略。戒烟,健康饮食,避免大量酒精摄入、药物及高盐、高糖、高脂等不健康饮食。
来源:血管外科 李阳
宣传科编辑整理