郑州大学第五附属医院

郑州大学第五附属医院
搜索按钮
进入适老模式
信息公开
医学科普
首页>信息公开>医学科普

谁偷走了我的眼泪?

发布时间:2020/10/4文字调整

立秋以来

天气转凉

您是否也感觉脸干眼干

注意护肤的同时

也要警惕

干燥综合征

 

 

什么是干燥综合征

干燥综合征(SS)是一种系统性自身免疫性疾病,其特征是以外分泌腺浆细胞及淋巴细胞浸润,导致干眼症和口干症,还可引起肺、肾、肝脏、关节、血液以及神经系统等系统损害。

 

 

免疫系统就相当于身体里的军队

可以抵御外敌(细菌、病毒)入侵

一旦免疫系统紊乱

就会破坏自身组织

干燥综合征就是机体外分泌腺遭到

自身免疫系统的破坏

 

该病好发于中年妇女,男女比例1:9,发病年龄通常在40-50岁,也见于儿童。

 

干燥综合征常见症状

01.口干

患者可随时处于口干状况,有时晚上睡觉会干醒,必须起床喝口水,严重的情况,因为口干觉得吞不下东西,必须一口食物一口水,甚至把固体食物打成流食才能吞得下去。

 

 

02.眼干

 

 

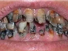
03.猖獗性龋齿

 

 

04.腮腺肿痛

有的患者会出现间歇性、交替性的腮腺肿痛,一侧或者双侧都会痛。

 

 

05.舌头干裂或光滑

 

 

06.口腔溃疡、真菌感染

 

 

07.皮肤表现

 

 

干燥综合征该如何治疗呢?

干燥综合征是一慢性疾病,需要应用免疫调节慢作用药物控制病情,治疗是需要时间和耐心,一般至少是三个月到半年,甚至数年或更长时间,目的是控制病情进展。

 

患者日常注意事项

● 注意口腔及眼睛卫生,减少摩擦,避免感染

● 预防感冒及其它病毒感染

● 精神舒畅,树立较长时间治疗的信心

● 不吃刺激性及“上火”的食物

● 与医生交朋友,得到保健指导

 

最后再次提醒:干燥综合征是一种自身免疫性疾病,可引起重要脏器损害,不积极治疗可能危及生命。请及时至郑州大学五附院风湿免疫科就诊!

 

 

来源:风湿免疫科 孟洋

宣传科编辑整理

Baidu
map