郑州大学第五附属医院

郑州大学第五附属医院
搜索按钮
进入适老模式
信息公开
医疗动态
首页>信息公开>医疗动态

多年高血压却不重视,入院后竟收到病危通知书......

发布时间:2022/6/1文字调整

近日,郑州大学五附院急诊科接诊了一位中年男性患者,他自诉俯身提重物后胸背部突然撕裂样疼痛,大汗淋漓,疼痛难以忍受,便赶忙拨打了120急救电话。接诊后,结合患者症状,医生快速对其进行心电图、心肌酶及凝血功能等检查,依据丰富的经验及检查结果,高度怀疑“主动脉夹层”,并紧急请邀请血管外科会诊。


血管外科王颖主治医师通过了解患者病史,得知体态肥胖的他5年前血压竟然高达200/120mmHg,但以自己没有任何症状为理由拒绝服用药物,并且再未规律监测血压。在进一步主动脉CTA检查后,结果印证了之前的判断:典型的胸主动脉夹层(Stanford B型)。幸运的是,病变没有导致内脏、四肢及颈部血管的急性缺血。




由于情况危急,患者收治入院后即下达病危通知书,通过严格控制血压(收缩压维持在100-120mmHg)及心室率(60-70次/分),患者的疼痛症状很快得到缓解。在副院长王兵教授和血管外科崔文军主任的指导下快速制定手术方案,尽快拆除这枚“不定时炸弹”。通过仔细研判CTA结果,考虑到患者相对年轻,为了降低远期缺血性并发症,王兵教授决定采用目前先进的手术方式之一,即体内原位开窗,重建左侧锁骨下动脉。




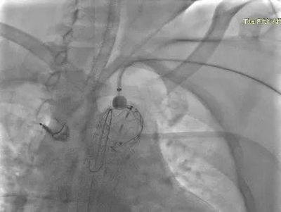
▲ 支架植入前造影



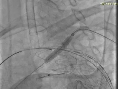
▲ 经肱动脉穿刺破膜



▲ 球囊扩张穿刺口



▲ 术后造影



▲  术后复查


手术方式确定后,快速完成术前准备,在全麻下行在其胸主动脉植入覆膜支架,同时在左锁骨下动脉原位开窗,植入分支支架。体内开窗完成仅用几秒钟,整个手术过程耗时2小时,患者只是在右股部开2mm的穿刺口和左上肢3cm的切口。术后,患者意识清醒安全返回病房,2天后即可下床活动,手术取得了良好的治疗效果。


高血压是血液在血管中流动时对血管壁造成的压力值持续高于正常的现象。高血压常被称为“无声的杀手”,大多数患者可在无任何症状的情况下发病,并且血管壁长期承受着高于正常的压力会导致严重疾病,“胸主动脉夹层”就是其中凶险的并发症之一。


主动脉夹层是由于主动脉内膜撕裂,血液进入血管壁内,造成主动脉剥离或破裂,约有半数的主动脉夹层有高血压引起尤其是急进性及恶性高血压,或者长期未予以控制及难以控制的顽固性高血压。患者常以骤然发生的剧烈胸痛为主要表现,疼痛呈刀割样,撕裂样或针刺样的持续性疼痛,程度难以忍受,可伴有烦躁,面色苍白,大汗淋漓,普通止痛药物无效。若不及时治疗,48小时内的病死率高达50%!


在此,郑州大学五附院血管外科提醒,我国约3位成年人中就有1例高血压患者。高血压往往隐匿起病,发病早期往往因为无任何症状而被患者所忽视,或者即使被诊断为高血压仍不能引起应有的重视。当血管壁长期承受着高于正常的压力时就会导致严重疾病,除了上述凶险的主动脉夹层,还有更高发的心脑血管意外。重视高血压,警惕主动脉夹层,规范降压,万不可报侥幸心理。


来源:血管外科 王颖

宣传科编辑整理

Baidu
map