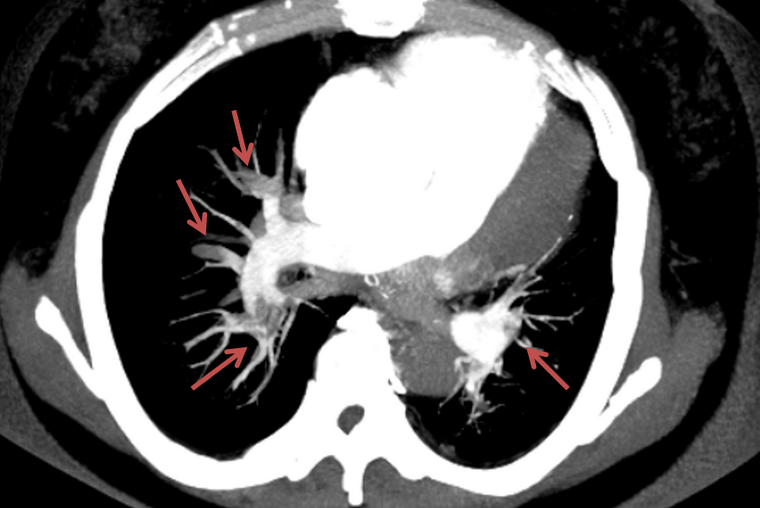
近日,韩女士在一次户外活动中,突然晕倒在地,失去意识,被立即送往郑州大学五附院急诊科抢救。苏醒后的韩女士虽然生命体征平稳,但出现了胸闷、心悸等不适症状,经肺动脉CTA检查后(图1),她被诊断为肺栓塞,同时下肢彩超发现右侧下肢腘静脉有漂浮血栓,双侧肌间静脉多发血栓,原来导致韩女士发病的罪魁祸首是下肢深静脉血栓。经血管外科给予下腔静脉滤器植入拦截血栓(图2)及抗凝治疗后,有效遏制血栓进一步发展,及时控制了病情,目前已转危为安。

▲ 图1:肺栓塞

▲ 图2:下腔静脉滤器
韩女士为何会发生几乎致命的肺栓塞呢?经了解,与其近期缺乏运动有较大关系。
为什么不运动易出现血栓呢?
由于静脉血栓形成的主要因素之一就是血流缓慢,而在家中缺乏运动,血流速度减慢,就容易形成血栓。静脉血栓之所以被称为“沉默的杀手”,可怕之处在于大部分患者没有任何症状。以韩女士为例,她也并不知道自己腿部血管已形成血栓,行走后血栓脱落(图3),到达人体呼吸的肺部血管,堵塞了肺动脉,无法进行正常呼吸,出现缺氧胸闷而晕倒在地。

▲ 图3:血栓脱落到肺动脉
什么是下肢深静脉血栓?
下肢深静脉血栓是指静脉血液在下肢深静脉血管内的凝结,从而使静脉管腔部分或完全阻塞。一旦下肢深静脉血栓形成后,血栓很容易脱落,而脱落的血栓又顺着血流向心脏移动,最后堵塞在的肺动脉,引起肺梗死,这也会如“脑梗”、“心梗”一样能迅速危及生命。
我们该如何预防血栓?一个字:动!
世界卫生组织提醒,连续四个小时不运动就会增加患静脉血栓风险。走路是理想的运动之一,既简单易行,强身效果又好,不论男女老少,什么时候开始这项运动都不晚。

要远离静脉血栓,动是有效的预防措施。走走路,动起来,从头到脚防血栓。
我们该如何“动”呢?
长时间坐时应每隔1小时起身,在座位周围来回走动2分钟,如果没有条件离开座位,可以做“踩刹车”动作。一般建议每隔30分钟,做20-30次踩刹车动作。
血栓是隐蔽杀手,大多发生血栓并发症前没有任何征兆。并且血栓可发生在任何年龄、任何时间,严重威胁着生命健康。希望大家能够动起来,将沉默的“杀手”拒之门外,共同守护我们的健康!
来源:血管外科 任菲
宣传科编辑整理