“我的左侧髋骨骨折、右侧膝关节都是在你们科做的手术,换的关节,手术效果很好,我很满意,但现在我的左膝盖走路总是疼,吃药打针效果不好,我十分相信你们,希望你能帮我解决问题”。王奶奶见到郑州大学五附院骨科一病区主任徐明杰,就立刻拉着徐主任的手说。
王奶奶八十岁了,退休前是一名小学老师,站了一辈子讲台,桃李满天下,上了岁数之后却饱受膝关节疼痛的困扰。
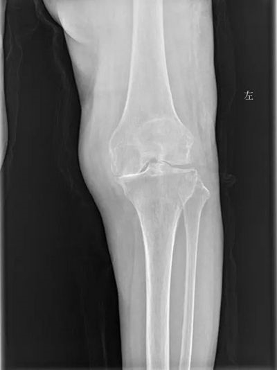
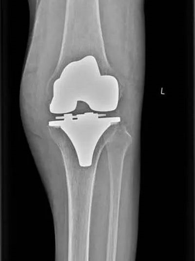
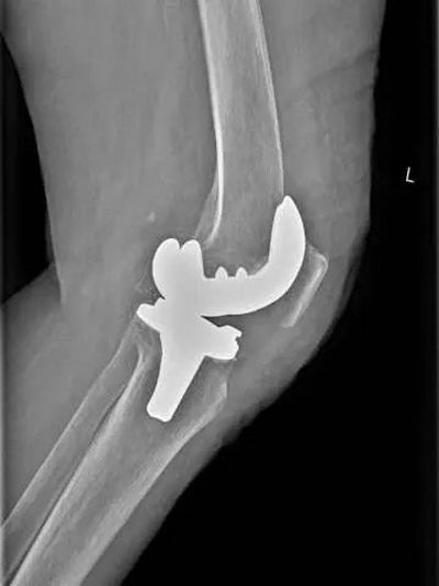
徐明杰主任仔细询问了病史,做了查体,并查看了影像学检查,指出患者目前为重度膝骨关节炎,K-L分期为3期,患者保守治疗效果差,对生活质量的影响明显,在这个时期,可以考虑行膝关节置换。王奶奶办了住院后,管床医师张鹏飞立刻完善相关检查,徐明杰主任为患者做好术前规划,考虑患者左侧髋关节已行水泥型人工股骨头置换术,术前规划时徐明杰主任特意联系厂家备股骨端的短杆定位器,入院第3天行左侧膝关节双间室置换术。手术采用髌前入路,术中股骨定位、截骨按照术前规划完成,手术操作期间注意间隙平衡、软组织平衡,顺利完成。


术前检查


术后检查
术后践行ERAS快速康复理念,指导患者屈伸活动膝关节,并结合我院康复的优势,对患者床旁进行康复锻炼,术后第3天患者膝关节即可屈曲90°,王奶奶每次见到医师都赞不绝口。

徐明杰主任说到,膝关节表面置换术是指使用膝关节置换器械,做股骨髁、胫骨平台截骨,去除磨损的软骨和多余的骨赘,用钛或钴铬钼合金和高分子聚乙烯进行关节表面置换。
手术治疗的目的是为了:解除膝关节疼痛;增加关节活动度;矫正畸形,改善功能,获得长期稳定性。
适应症是:关节疼痛难以控制且明显影响功能的关节疼痛,包括以下疾病的病人都适宜做手术:严重的骨关节炎;类风湿性关节炎;创伤性骨关节炎等。
膝关节置换是治疗晚期骨关节炎的有效措施之一,且受益于国家对骨科耗材的集采,目前膝关节降价幅度明显,对于患者经济压力有巨大的减轻,膝关节置可以帮助长期受膝关节疼痛困扰的病友们行走自如。
来源:骨科一病区 张鹏飞
宣传科编辑整理