患者周先生,49岁,腰椎间盘突出病史多年,间断左下肢疼痛、麻木,在外院保守治疗后好转,不久前行走时再次出现左下肢剧烈疼痛,站立行走困难,症状明显加重,紧急呼叫120救护车来院入住郑州大学五附院骨科一病区。



术前检查
检查提示腰5/骶1椎间盘向左后脱出,脊髓神经受压明显。骨科一病区徐明杰主任、王三木医师团队认真诊查病人,认为患者存在腰5/骶1椎间盘向左后脱出并椎管狭窄,保守治疗差,需要手术扩大狭窄的椎管并摘除突出的腰椎间组织解除神经受压,适合采用UBE技术为患者进行手术治疗。术前,徐明杰主任团队制定了严密的手术治疗方案,并与患者及家属充分、细致沟通。



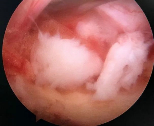
髓核摘除前后对比

切除后黄韧带和椎间盘髓核组织

患者接受手术治疗,术中仅通过两个长约0.5cm及1cm的手术切口,置入脊柱内镜及操作器械,逐步扩大“狭窄的椎管”并顺利摘除“脱出的椎间盘组织”,解除神经受压情况。

整个手术过程非常成功,术后患者周先生恢复良好,左下肢疼痛、麻木完全消失,术后第二天佩戴支具后就可以站立及行走活动,取得了满意的治疗效果。
UBE技术
随着微创技术的快速发展,以脊柱内镜为代表的脊柱微创技术,已经在临床上广泛应用,取得了满意的疗效。UBE(Unilateral Biportal Endoscopy)技术是指单边双通道内镜下的脊柱手术,是一项新兴的微创技术,较传统开放手术创伤小、出血少、感染率低,不仅以精准、微创的治疗方式减少患者手术风险,同时也有利于患者术后的早期康复。

与椎间孔镜(PTED)的单通道不同,UBE技术通常建立两个通道,一个为观察通道(view portal),一个器械操作通道(work portal)。观察通道一般会用到0°或30°关节镜,操作通道可以应用常规的脊柱外科及运动医学的器械如刮匙、磨钻(关节镜磨头)、关节镜刨刀、关节镜射频刀头、椎板咬骨钳、髓核钳、神经拉钩等。
UBE技术特点及优势
1.兼有内镜放大的视野和开放手术灵活的操作;
2.应用常规关节镜系统和脊柱开放手术器械;
3.对肌肉损伤较小、透视少;
4.可以进行镜下融合及纤维环缝合;
5.对椎管狭窄具有独特的优势;
6.有内镜操作经验者学习曲线较短;
7.同样适用于一些高龄、需要减压融合或者翻修等特殊病例的微创处理。

UBE技术手术过程
1.透视定位、建立工作通道



2.建立初始工作腔

3.切除黄韧带

4.显露椎间盘

5.摘除髓核

来源:骨科一病区 王三木
宣传科编辑整理