郑州大学第五附属医院

郑州大学第五附属医院
搜索按钮
进入适老模式
信息公开
医疗动态
首页>信息公开>医疗动态

小“镜子”解决大“麻烦”

发布时间:2023/4/27文字调整

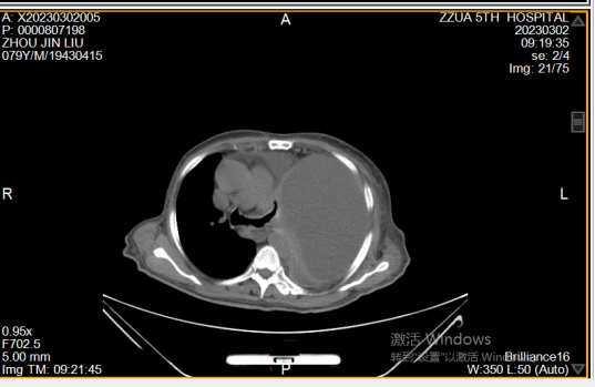
近日,郑州大学五附院呼吸与危重症医学科收治一位79岁 “胸腔积液”男性患者,该患者既往有“支气管哮喘”,此次以“胸闷、气喘20余天,加重2天”为主诉入院,门诊查胸部CT提示左侧大量胸腔积液,左肺压缩不张。如下图:


640

640 (1)


入院后,科室为该患者查床旁彩超,同时予以胸腔闭式引流,共引流出大于4000ml血性液体,在查胸水常规、生化及脱落细胞学均未能查明原因的情况下,为进一步明确诊断,经呼吸与危重症医学科内科胸腔镜团队综合评估,患者手术指征明确,无明显禁忌症,可行内科胸腔镜检查。


术前,呼吸与危重症医学科胸腔镜团队与胸外科医师、麻醉科医师进行了详细的讨论,提出术前、术中、术后可能会应对的不良反应及相关应对措施,尽可能将手术风险降至最低,并与患者及家属进行充分沟通。


640

640 (1)


呼吸与危重症医学科主任冯永海主任医师、付群主任医师、刘培杰主任医师、赵文飞主治医师、刘文主管护师在麻醉科杨利利医师的协助下,为患者行内科硬质胸腔镜检查,术中进行多处胸膜活检,同时还进行了胸膜粘连钝性分离,最后置入胸腔引流管继续引流,术程顺利。术后安返病房,未诉明显不适。术后胸膜病理提示腺鳞癌,行肺癌相关基因检测,患者一般状态良好,引流管已拔除,目前等待基因检测结果回示后进一步拟定治疗方案。


640 (2)


内科胸腔镜是一种微创检查技术,能够直视下观察病变,适用于胸腔内病变的定位、检查和治疗,提高诊疗的准确性和疗效;尤其适用于肺癌、自发性气胸、胸膜占位性疾病、肺外周性病变、胸腔积液等疾病的诊断和治疗。同时,内科胸腔镜技术还可以进行胸膜黏连松解、胸膜固定、脓胸引流、胸膜肿瘤的治疗等相关手术。


来源:呼吸与危重症医学科

宣传科编辑整理

Baidu
map