患者小张(化名)的故事,要从8年前说起。那一年,他突然开始频繁癫痫发作,病情严重时,每天发作次数竟高达十余次。这对一个正值青春的少年来说,无疑是沉重的打击。
郑州大学第五附属医院神经电生理科吴艳芝主任的门诊成了小张和家人的希望之地。这一路走来,其中的艰辛只有他自己知道。癫痫诊疗团队也亲眼见证了这个坚强的小伙子,是如何与疾病顽强抗争的。
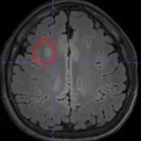
脑电图检查提示:右侧额叶异常放电。但常规头颅磁共振检查,始终未能发现明确的致痫病灶。面对这种情况,只能先通过药物控制病情。
8年来,吴艳芝主任带领团队不断为小张调整用药方案,发作频率确实有所减少,发作程度也减轻了。凭借坚韧的毅力,小张甚至以优异的成绩考入了重点中学。然而,药物治疗始终存在瓶颈。小张出现了明显的药物不良反应,每天上午都昏昏欲睡,为了能坚持上课,他不得不天天站到教室后面听课。
转机出现,精准定位“真凶”
2025年,转机终于出现。
借助医院先进的高清晰度、高对比度薄层扫描核磁共振,配合PET-CT检查,终于在右额叶发现了一个极其微小的致痫病灶。这个位置,与脑电图提示、以及临床发作特征完美吻合。更幸运的是,虽然病灶位置深,但范围很小。


这一发现,为精准治疗打开了大门。
多学科“围剿”,微创根治
找到了病灶,下一步就是如何“消灭”它。由神经内科、神经外科、医学影像科、神经电生理科等多学科专家组成的强大癫痫诊疗团队齐心协力,攻克难关。
经过详细的术前评估,神经外科二病区李培栋主任和李信晓博士团队设定了精密的手术方案,精准植入了6根颅内电极,刚好将病灶完整包围。

这,就是立体定向脑电图(SEEG)技术。

在接下来的几天里,通过电极直接记录到了发作期异常放电的源头,进一步验证了它就是真正的“元凶”。更关键的是,电极的覆盖范围足够精密,明确了病灶边界,且避开了重要的功能区——这意味着,我们不仅能抓住它,还能就地解决它。
有了SEEG提供的精确“地图”,随即通过电极对这块仅几立方毫米的脑组织进行了“射频热凝毁损”。

▲ 射频热凝毁损
整个过程不开颅,创伤极小,相当于用微热精准地消除了病灶。术后,小张的癫痫发作得到有效控制,逐步摆脱了药物困扰,终于可以安心地坐在教室里,恢复正常的学习与生活。


技术科普:
SEEG,微创“侦探”揪出癫痫“真凶”
立体定向脑电图(SEEG)是通过立体定向技术将颅内电极精准植入大脑特定区域,用于定位药物难治性局灶性癫痫患者致痫区的微创评估方法。
这是一种微创的“侦探”技术。这些电极如同潜伏的“特工”,能够深入大脑深处,揪出真正导致癫痫发作的“大BOSS”。
除评估癫痫灶外,SEEG还可通过射频热凝毁损致痫灶直接发挥治疗作用。2023年,我国专家共识已明确其作为癫痫术前评估的金标准。随着2025年脑机接口与多模态AI技术的融合,SEEG技术将进一步向智能化发展。相信在不久的将来,立体定向脑电技术将会给更多癫痫患者带来“惊喜”!
来源:神经电生理科 孙楹 吴艳芝
党委宣传统战部编辑整理