郑州大学第五附属医院

郑州大学第五附属医院
搜索按钮
进入适老模式
信息公开
医疗动态
首页>信息公开>医疗动态

反复胸闷、咳嗽,双肺竟然洗出40余瓶脏水!

发布时间:2026/3/26文字调整

孟师傅今年43岁,是家里的顶梁柱。近一年来,他逐渐感到乏力、胸闷、气短、呼吸困难,但他一直没太当回事。直到有一天,活动后症状突然加重,他才终于去了医院。

当地医院的检查结果让所有人捏了一把汗:指脉氧监测仅82%,胸部CT显示双肺弥漫性渗出影。医生诊断为“肺炎、呼吸衰竭”,并立即给予氧疗、抗感染、雾化抗炎等治疗。但效果不佳,病情依旧不容乐观。孟师傅随后被紧急转至郑州大学第五附属医院呼吸与危重症医学科。


真相大白:不是普通肺炎

接诊后,呼吸与危重症医学科冯永海团队对孟师傅的胸部CT进行了细致分析,发现双肺弥漫性改变,高度怀疑肺泡蛋白沉积症。

杨闪闪副主任医师为他安排了支气管镜粘膜活检,病理检查结果证实了判断:过碘酸希夫染色(PAS)阳性。最终,孟师傅被确诊为肺泡蛋白沉积症。

这是一种罕见病,因肺泡腔内大量表面活性物质异常沉积所致,会导致进行性呼吸困难,甚至呼吸衰竭。若不及时干预,后果不堪设想。


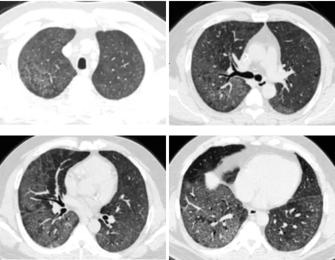
QQ截图20260326083313

▲ 灌洗前胸部CT


640_副本


刻不容缓:为“洗肺”制定周密方案

孟师傅是家里的顶梁柱,迫切希望早日康复,回归正常生活。

面对病情危重、急需有效治疗的患者,冯永海主任团队决定采用目前最直接有效的方式——大容量全肺灌洗术。

在征得家属同意后,孟师傅转入呼吸重症监护病房。科主任冯永海组织疑难危重病例讨论,并与麻醉科闵娜团队联合拟定手术方案,为手术安全保驾护航。


两次灌洗,洗出40余瓶“脏水”


640 (1)_副本


在冯永海主任的组织下,付群主任医师、杨闪闪副主任医师、胡静主治医师及王倩倩护士长带领的护理团队默契配合,于3月5日和12日,分别对孟师傅实施了全麻下大容量右肺灌洗术和左肺灌洗术。


640 (2)_副本

640 (3)_副本


双肺灌洗注入37℃生理盐水

总灌洗量25000ml

最终吸出液体约22800ml

随着灌洗液的逐渐清澈,原本像“牛奶”一样的液体,慢慢变得透明。

注: 全麻下单肺纯氧通气时,患者血氧饱和度一度仅80%,手术风险极高。

团队反复推敲,制定了“每灌洗500-1000ml即全肺通气一次”的策略,并辅以亚低温脑保护,严格液体管理,精准调整呼吸机参数,最终安全渡过难关。


术后恢复良好,患者呼吸困难缓解

两次手术均顺利完成,孟师傅于术后第二天上午成功脱机拔管,随后转入普通病房继续巩固治疗。


QQ截图20260326083350

▲ 灌洗后胸部CT


术后患者生命体征稳定,已完全脱离氧气,日常生活无明显闷喘。

那个曾经呼吸困难、无法正常生活的他,如今终于能畅快呼吸了。


科普知识:什么是大容量全肺灌洗术?

大容量全肺灌洗术(Whole-Lung Lavage, WLL) 是治疗肺泡蛋白沉积症、尘肺病等疾病的重要技术。

操作方式:

在静脉复合麻醉下,通过双腔支气管导管将双侧肺分隔开。

一侧肺进行纯氧通气,维持呼吸功能

另一侧肺用37℃生理盐水反复灌洗,每次灌入500-1500ml,直至灌洗回收液清澈

这一过程不仅能清除肺泡内的异常沉积物、粉尘、炎性因子等,还能显著改善患者症状和肺功能。


科普知识:什么是肺泡蛋白沉积症?

肺泡蛋白沉积症(PAP) 是一种罕见病,主要是因肺泡腔内大量脂蛋白物质异常沉积所致。发病机制常与体内存在抗粒细胞-巨噬细胞集落刺激因子(GM-CSF)自身抗体有关,导致肺泡巨噬细胞清除障碍。

常见症状:

呼吸困难

咳嗽、咳痰

乏力、胸痛、发热等


高危人群:

长期吸烟者

自身免疫性疾病患者

血液系统恶性肿瘤患者

长期接触金属粉尘者


治疗与预后:及时进行药物治疗或肺泡灌洗,可有效控制病情。若延误治疗,可能导致呼吸衰竭,危及生命。

郑州大学第五附属医院呼吸与危重症医学科提醒您:长期胸闷、呼吸困难别忽视,早诊断、早治疗,才能守护好自己的“呼吸生命线”。


来源:呼吸重症监护病房   王倩倩  冯永海

党委宣传统战部编辑整理

Baidu
map