近几天正是秋分前后,终于摆脱了夏季的炎热,天气变得凉爽起来,但隔壁的老王却愁上了眉梢。年轻时酷爱爬山的他,近几年腿脚不那么利索了,每到天气由暖转寒时一觉醒来两个膝盖就疼的打不了弯儿。医生告诉他,他的膝关节是重度骨关节炎,需要手术治疗,而且两条腿都需要手术,这可把从没住过院的他愁坏了。膝关节骨关节炎到底是怎么一回事呢?今天就给大家讲讲膝关节骨关节炎。

膝关节骨关节炎又称退行性关节炎或老年性关节炎,是一种常见的慢性骨关节疾病。它以关节软骨的退化和骨质增生为主要特征,严重影响中老年人的生活质量,甚至可能导致残疾。
一、膝关节骨关节炎的成因
膝关节骨关节炎的成因复杂,主要包括年龄、肥胖、遗传、创伤、炎症及代谢异常等。随着年龄的增长,膝关节软骨逐渐磨损,弹性降低,加之长期负重和不良生活习惯,导致关节边缘骨质增生,形成骨赘,从而引发骨关节炎。肥胖人群由于下肢关节负荷较大,更易发生此病。
打一个比方,我们的膝关节就像小汽车的车轮,膝关节软骨就是车轮的轮胎,由于长年累月的使用加上没有合理的保养,轮胎慢慢磨没了,只剩下车轮直接和地面接触,由此就产生了疼痛与活动受限。此外,有家族史、长期从事负重劳动、关节受伤等因素也会增加患病风险。

二、膝关节骨关节炎的症状
膝关节骨关节炎的典型症状包括关节疼痛、僵硬和肿胀。初期症状多为轻度或中度间断性隐痛,休息后好转,活动后加重。随着病情发展,疼痛逐渐加重,甚至出现持续性疼痛或夜间痛。关节僵硬多发生于晨起时或久坐后,表现为关节发紧感,活动后可缓解。此外,关节肿胀、压痛和骨摩擦音也是常见症状。
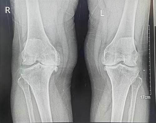
三、膝关节骨关节炎的诊断
诊断膝关节骨关节炎主要依据患者的临床表现、体格检查和影像学检查。X线检查是首选方法,可以显示关节间隙变窄、骨质增生等改变。必要时可进行CT、MRI等进一步检查,以明确退变部位和程度。此外,抽血化验可辅助诊断,如检查风湿系列、血沉等指标。

四、膝关节骨关节炎的治疗
膝关节骨关节炎的治疗原则为减轻疼痛、改善功能、延缓病情进展和提高生活质量。治疗方法包括基础治疗、药物治疗、物理治疗和手术治疗等。
基础治疗:包括健康教育、运动治疗、物理治疗和行动辅助支持治疗。强调改变生活及工作方式,减轻关节负荷,加强关节周围肌肉锻炼,保持适当体重。
药物治疗:按药物使用途径分为外用药物、口服药物、肛门栓剂、关节腔内注射药物等。常用药物包括非甾体抗炎药(NSAIDs)、软骨保护剂(如硫酸氨基葡萄糖胶囊)和局部外用药(如消痛贴膏)。需注意药物副作用,避免长期使用强阿片类药物。关节腔内注射药物、富血小板血浆治疗技术 (PRP) 等也可缓解膝关节的疼痛。
物理治疗:包括水疗、冷疗、热疗、经皮神经电刺激疗法等,可促进局部血液循环,减轻炎症反应,缓解疼痛。
手术治疗:对于病情严重、保守治疗无效的患者,可考虑手术治疗,包括关节镜清理术、关节置换术、膝关节周围截骨术等。

五、膝关节骨关节炎的预防
对于尚没有骨关节炎的朋友们来说,预防是很重要的一环。预防膝关节骨关节炎的关键在于早期干预和良好的生活习惯。以下几点建议有助于降低患病风险:
1. 控制体重:肥胖是膝骨关节炎的重要危险因素,减轻体重可以减轻关节负荷。
2. 合理运动:选择适合的运动方式,如散步、太极拳、游泳等,避免长时间跑、跳、蹲及爬楼梯、爬山等加重关节负担的运动。
3. 注意保暖:关节受寒会加大患关节炎的风险,日常应注意保暖,避免关节受凉。
4. 均衡饮食:保证充足的钙和维生素D摄入,增强骨骼健康。
5. 定期体检:中老年人应定期进行骨关节检查,及时发现并治疗潜在问题。

总之,膝关节骨关节炎是一种常见的慢性骨关节疾病,但通过早期干预、合理治疗和良好的生活习惯,我们可以有效减轻其症状、延缓病情进展并提高生活质量。郑州大学第五附属医院骨科三病区有着丰富的骨关节炎诊疗经验,从药物治疗、注射治疗到手术治疗,为不同疾病发展阶段的关节炎患者选择合适的治疗方案,以改善患者的生活质量,收获了以往患者的广泛好评。让我们从现在做起,关爱关节,且行且珍“膝”。
(部分图片素材来源网络,侵权即删)
来源:骨科三病区 田一工
党委宣传科编辑整理