今年4月份,家住驻马店上蔡县的王大妈突然出现了头晕、头疼、健忘等症状。家人刚开始以为是年龄大了并没有太在意,直到有一天王大妈去买菜竟然找不到回家的路,家人这才慌忙带她去当地医院检查,发现了脑瘤。当地医生建议转院治疗。“从亲戚那里听说郑州大学五附院看得好,我们就过来了。”刘大爷笑着告诉笔者。

成立治疗团队 精准放疗减轻患者病痛
2017年4月29日,王大妈来到了郑州大学五附院接受治疗,先是住进了神经外科,神经外科主任医师寿纪新主任介绍说:“当时病人外院核磁共振显示两侧脑室、三脑室、四脑室及松果体内见多发占位,合并梗阻性脑积水、脑室周围脑白质间质性脑水肿及脊髓转移,病情重,病灶广泛,无法手术切除”。为缓解脑积水,给病人进行了“三脑室底造瘘+脑室腹腔分流术”,手术后患者病情稳定、症状改善出院。
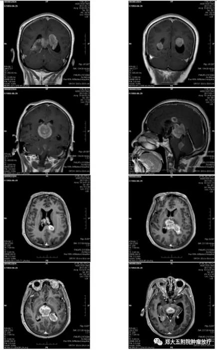
然而,好景不长,2017年5月16日,王大妈因突发意识模糊再次来到郑州大学五附院,复查头部MRI提示颅内肿瘤较前明显增大,且病变波及到脑干,脑脊液循环受阻。经放疗科主任医师王晓瑜主任会诊考虑颅内多发占位,恶性淋巴瘤可能性大,不排除生殖细胞瘤。当时病人神志模糊,下肢肌力0级,大小便失禁,病情危重,随时有呼吸、心跳骤停的风险。但肿瘤细胞对放射线敏感,经积极地放射治疗有可能挽救病人生命。但放疗风险大,可加重脑水肿。经与患者家属反复沟通,最终家属接受了放射治疗。然而,通过放疗究竟能否成功挽回王大妈的生命,这仍然是个未知数,也是所有人在面临的极大考验。

▲ 患者放疗前核磁共振图
回到放疗科后,王晓瑜主任迅速成立了以放射治疗医师、物理师、技师组成的治疗团队,对王大妈的病情进行深入的研究和探讨,制定了先行颅内肿瘤精准放疗,待生命体征稳定后再行全脊髓放疗的治疗方案,给予病人抢救性治疗。开通绿色通道,安排优先治疗。
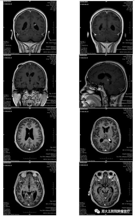
王大妈的主管医师任振泰介绍:容积弧形调强放射治疗(VMAT)作为肿瘤治疗疗效好、周围正常组织损伤小的精准放射治疗技术很适合病人此阶段治疗。经过2周放射治疗后,病人意识逐渐恢复。3周复查头部核磁共振成像检查(MRI)提示肿块明显缩小。

放疗科巴楠主任介绍:“经过精准放疗后,病人颅内肿瘤缩小,由入院时的意识模糊到出院时的谈笑风生,这就是一名医生的幸福所在。去年科室引进医科达Synergy VMAT直线加速器、三维矩阵等剂量验证设备,能够很好地开展影像引导调强放疗IGRT、容积弧形调强放疗VMAT,为很多复杂疑难重症的肿瘤病人解除了病痛”。
2017年7月3日,王大妈的身体恢复很好,来院作进一步检查,并接受了全脊髓放射治疗。目前,王大妈已经康复出院。

▲ 患者放疗后核磁共振图
回忆起当时王大妈的病情,刘大爷感慨万千:“第二次住院老伴儿一度出现‘植物人’状态,不会走路,不会吃饭,意识昏迷,大小便失禁。当时病情很严重,抱着一丝希望来到郑大五附院,就是想再尽尽力,治不好我也不亏欠她。没想到老伴儿现在恢复这么好。”

“绿色通道”助力治疗 实现患者无痛生活
王大妈激动地说:“因为当时病情严重,王晓瑜主任特意为我开放了绿色通道,在我做放疗治疗的时候,不用排队,从来都是随到随做。真的很感谢郑大五附院放疗科医疗团队对我的照顾。更让我感动的是王晓瑜主任了解到我们家庭经济困难,主动将我的病房调到价格相对便宜但生活设施完善的病房。”

▲ 嘱咐患者放疗后注意事项
王大妈说她现在最高兴的事是身体恢复的越来越好。刘大爷说:“家里老邻居看到老伴儿恢复的这么好,都说是奇迹。”
经历了心情跌入谷底的绝望到看到重生的希望,王大妈说她非常感谢郑州大学五附院神经外科、放疗科的医护人员,感谢王晓瑜主任和她的放疗团队。
刘大爷和王大妈,从青葱到白发,相濡以沫,相扶相持,一起度过了40多个春秋,看到刘大爷对王大妈无怨无悔、细致入微的爱,在感叹他们这份绵绵情意的同时,也在心底禁不住为郑州大学五附院放疗科点上一个大写的赞!如若没有他们先进的放疗设备、精准的放疗技术和专业负责的医护团队,又怎能换回一对年近古稀夫妇的再相伴!
科普:容积弧形调强放射治疗VMAT,是在影像引导调强放疗IGRT基础上的又一高精尖新型放疗技术,是临床针对恶性肿瘤常用的放疗手段之一。它利用IGRT影像引导放疗技术,“精确摆位,准确投照”,即在放疗前、放疗中能实时对肿瘤及肿瘤周围正常器官进行CT扫描监控,根据肿瘤及器官位置的变化、肿瘤的厚度、体积等调整治疗条件,使放射线紧紧跟踪肿瘤进行精准治疗。还能随时对肿瘤放射剂量的精度进行调整,克服呼吸运动、器官蠕动及日常摆位误差,人体重要器官和组织能得到更好的保护。也就是说, VMAT治疗技术不仅让放射线随着肿瘤厚度调弱、增强,还能考虑肿瘤体积各部位的厚薄不同,来给予最适合的放射线强度,同时避开在肿瘤中间或凹陷处的如眼球、脊髓、小肠等重要人体器官,增加肿瘤控制率,降低正常组织并发症的机率,减少治疗后的副作用。
作为目前全球先进的放射治疗技术, VMAT具有“快,准,有”的特点,对常规手段不能治疗的,难度大的复杂病例,能轻松实现“三高一低”,即肿瘤靶区的“”高精度,高剂量,高疗效“和正常组织的“低损伤“,而整个治疗过程2-6分钟,极大提高了患者治疗的舒适度。
来源:放疗科
宣传科编辑整理