近日,郑州大学五附院心胸外科团队在高兴才主任带领下完成了医院首例外伤后气管重建手术,挽救了重症外伤患者霍先生的生命。
一场突如其来的意外车祸,使来自通许县的霍先生出现胸痛、胸闷、咯血症状。在被急诊送至当地医院后,CT结果检查示:右侧血气胸,右侧多发肋骨骨折,皮下及纵隔气肿。当地医院立即予以“右侧胸腔闭式引流术”,同时予以抗感染、输血及对症治疗,但病情却难以控制。霍先生反复出现呼吸困难、气喘、胸痛等不适,甚至一度进入重症监护室。反反复复的病情,高额的治疗费用,难以看到的希望,让霍先生一家感到了绝望。
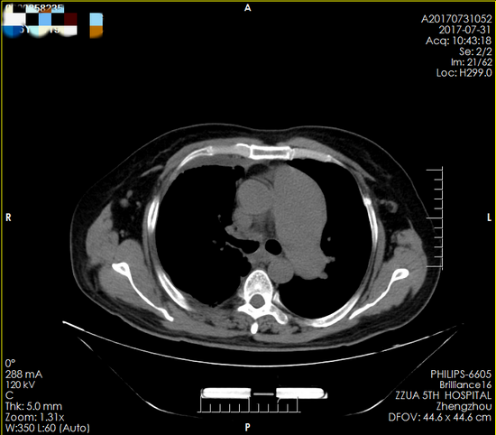
正所谓天无绝人之路,通过亲戚朋友介绍,霍先生的妻子打听到郑州大学五附院心胸外科对处理危重胸外伤有丰富的经验,便抱着试一试的态度连夜转到郑州大学五附院。住院后在高兴才主任指导下,患者的病情一度得到控制,入院后的一周后患者多次突然出现胸闷、气促、呼吸困难,心电监护示:心率110次/分,氧饱和60%左右。值班医师陈涛马上安排急诊床旁胸片检查,结果显示:右肺未见肺纹理(图一),出现了临床上可怕的“大白肺”,在与冯光强副主任医师商议后,考虑患者痰栓阻塞气管引起右肺实变,病情危重。与患者家属沟通后,把霍先生转入呼吸重症监护室,予以气管插管,同时呼吸机辅助正压通气,待情况稳定后行气管镜发现,右主支气管狭窄,气管镜不能通过。复查胸部CT(图二)也证实了气管狭窄的存在。

▲ 图一

▲ 图二(箭头所示为气管狭窄)
在高兴才主任安排下科室与呼吸内科联合会诊认为,霍先生右主支气管因外伤引起狭窄,痰液阻塞气管引起病情反复,解决气管狭窄的方法有球囊扩张、介入或手术。但患者为外伤所致气管损伤球囊扩张风险大、效果差;如果放置支架,并发症较多,如术后刺激性咳嗽、后期肉芽组织生长再次引起狭窄,因此手术是最佳的选择。经过耐心的向患者家属讲解了病情、治疗方案及预后,患者家属消除了疑虑,同意进行手术治疗。

▲ 为了了解气管狭窄长度,制定手术方案,高兴才主任医师带着患者做了气管重建检查
由于手术难度大,术中不可预知情况多,经过术前讨论高兴才主任认为,患者右主支气管狭窄长度约1-2cm,可实施“支气管成形术”,虽然有术中切除肺叶的可能,但患者比较年轻,应尽最大可能保留右肺上叶。经过积极术前心肺功能准备后,于7月16日,高兴才主任医师、冯光强副主任医师在麻醉科胡强夫主任及其团队的配合下,全麻双腔插管给霍先生实施了“右主支气管成形术”。打开胸腔后发现,胸腔广泛粘连,而且因为炎症的原因,患者组织脆、水肿,解剖发育异常,都给手术增加了难度。但是,为了保留患者右上肺,术者仔细操作,认真分离,终于完整切除了狭窄的气管,同时成功吻合断端,术中患者顺利脱机后返回病房。

▲ 心胸外科主任高兴才在术中(左二)

▲ 箭头所示切开后狭窄气管

▲ 箭头所示修剪后的远端支气管(气管内乳白色物为积存痰液和脓液)

▲ 箭头所示正在重建支气管
由于手术的顺利,术后精心的护理,霍先生逐渐恢复,也没有再出现呼吸困难、气喘等不适。复查胸部CT见气管未见狭窄(图三)。

▲ 图三
看着霍先生一天天的好转,他的家人的脸上也终于露出了笑容。最终,经过医护人员的护理,霍先生终于康复出院。出院当天,霍先生紧紧握着高主任的手,哽咽的说是郑州大学五附院心胸外科给了自己第二次生命。看着患者顺利康复,高主任也露出了欣慰的笑容。本例手术的成功标志着心胸外科重症胸部外伤救治及气管外科手术水平又上新的台阶。
来源:心胸外科 陈涛
宣传科编辑整理