郑州大学五附院泌尿外科以邢东亮副主任医师、杨建主任医师为核心的诊疗团队,继与医院肝胆胰腺外科李晓勇教授、心胸外科高兴才教授深度合作,顺利完成右肾巨大肾癌合并下腔静脉Mayo Ⅲ级癌栓(第二肝门处)切除术之后,于近日再次与医院超声诊断科、放射影像科深度合作,顺利完成了CT发现的早期中央型小肾癌精准切除术。




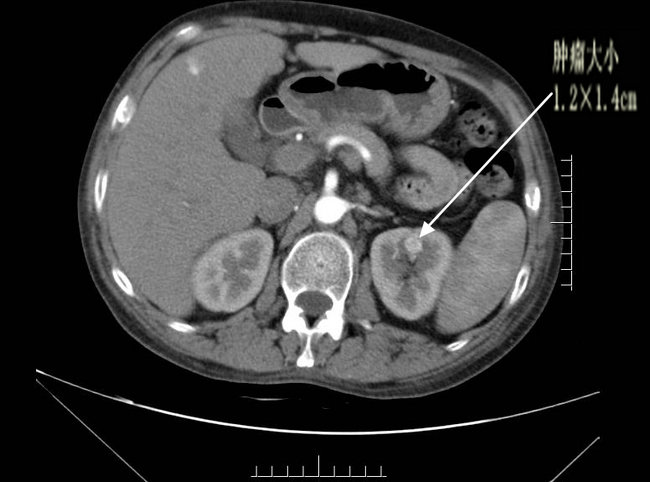
▲ 术前SCT、超声影像检查结果
由于肿瘤较小(1.2*1.4cm),位于左肾肾门处,被血管包围,位置隐蔽,常规超声检查很难发现。超声诊断科主任杨青教授及其精英团队术前反复检查,模拟术中精确定位。术中督导,精确定位,给手术提供动态精准的三D指导,保证了左肾小肿瘤的外科精准切除,术后检查标本肿瘤完整,与术前CT、超声检查符合,术后病理报告:(左)肾透明细胞癌,Fuhrman 1-2级,肿瘤包膜完整,切缘未见癌波及。


术中左肾肿瘤切除创面双层完整缝合,无出血;肿瘤标本完整

▲ 术后常规病理报告(图)
目前患者恢复顺利!该项多学科深度协作标志着郑州大学五附院肿瘤MDT及多学科协作肿瘤精准外科治疗步入国内前列!
既往病例回顾
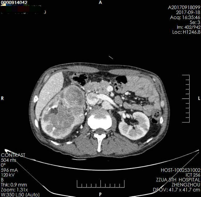
患者,男,49岁,发现腹腔巨大占位1月余入院。平素患者无特殊不适,既往史、家族史无特殊。近1月来消瘦,曾辗转就诊省内三家三级医院,建议放弃手术。入院诊断:右肾巨大肿瘤并下腔静脉癌栓Mayo Ⅲ级(癌栓远端达第二肝门水平)。




▲ 术前影像资料
实施手术:
右肾根治性切除+下腔静脉癌栓取出术
手术团队:
泌尿外科—邢东亮副主任医师(科副主任)、杨建主任医师、于洋主治医师
肝胆胰腺外科—李晓勇主任医师(科主任)、周百中副主任医师、陈升阳主治医
心胸外科—高兴才主任医师(科主任)及其体外静脉转流团队
手术麻醉科—胡强夫主任医师(科主任)及其手麻团队
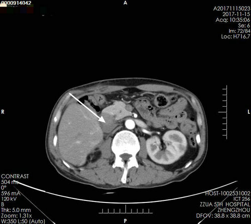
简要手术过程:术中先切除右肾及肿瘤,充分游离肝脏至第二肝门,腔静脉-颈内静脉转流后,阻断下腔静脉后,纵行切开下腔静脉壁将长约18cm的癌栓完整去出,探查腔静脉无癌栓侵犯、腔内无癌栓残留后,缝合腔静脉壁(如图)。


术后病理:右肾肿瘤及腔静脉癌栓 透明细胞癌Fuhrman 2-3级
目前患者恢复良好,已经痊愈出院,多学科共同的齐心协力,历经纷繁复杂、精至毫厘的手术过程,终于让患者在生命的延伸线上抛却终点,继续航行!!!




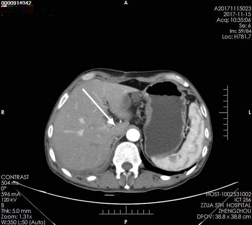
▲ 术后复查影像
术后复查:下腔静脉通畅,腔内CT值均匀,未见填充物,右肾区由肠管填充,未见肿瘤残留及复发。

▲ 腔静脉癌栓手术图解
来源:泌尿外科 邢东亮
宣传科编辑整理