初入严冬,郑州市“限号蓝”给广大市民带来喜悦心情的同时,从郑州大学五附院也再次传来喜讯——医院泌尿外科利用微创技术成功为一位九旬高龄老人实施了“腹腔镜下肾癌根治性切除术”,让老人顺利康复,重拾健康!
患者李大爷(化名)在外院初诊发现左肾肿瘤后,慕名来到郑州大学五附院泌尿外科,由泌尿外科副主任邢东亮副主任医师及时接诊并妥善安排老人住院。经过住院诊查,初步诊断为:左肾肿瘤(肾窦中央型肿瘤并左肾下极小肿瘤,考虑肾癌可能),患者同时合并高血压病、糖尿病、冠心病20余年,高血压、糖尿病并靶器官病变。
如果切除病变肾脏,术后患者可能面临肾功能不全甚至肾衰竭,但肿瘤多发且发生部位特殊,无法进行保留肾单位的“肾部分切除手术”。患者病情复杂,诊疗非常棘手。医院领导对此高度重视,全程督导诊疗过程,并多次组织医院内分泌科、心血管内科、肾病内科、放射影像科及超声诊断科等多学科、专业会诊,反复讨论,最终拟定手术方案。
经泌尿外科反复讨论,决定由擅长腹腔镜手术的邢东亮副主任医师主刀,为患者实施“经后腹腔镜左肾肿瘤根治性切除术”,尽可能减少患者创伤及手术对腹腔脏器功能的干扰。术前由麻醉科主任胡强夫主任医师会诊,并作系统详细的麻醉评估。


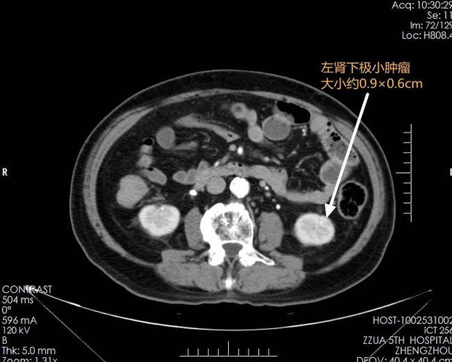
▲ 术前影像检查资料:左肾肾窦处中央型肾癌,左肾下极小肿瘤;双肾萎缩,形态失常(高血压、糖尿病靶器官损害表现)



▲ 术中及术后标本情况(与术前影像检查相符)
手术历时82分钟(腔镜手术时间42分钟),术中出血约120ml,过程顺利。术后第一天患者即开始进食,第二天已经下床活动,术后复查肾功能接近正常。术后病理报告:(左肾)透明细胞癌Fuhrman 2级,癌肿2个,较大者(肾窦处)3.5×3cm,较小者(肾下极)直径0.9cm。目前老人已经顺利康复出院!

▲ 术后病理报告
就像手术后杨建主任医师总结的那样:其实这台手术本身并不复杂,是我们每天的常规手术,但面对90岁的高龄老人,手术风险与并发症、意外发生率成倍升高的情况,却是在考验一位优秀外科医生的心理素质与丰富的外科临床经验,考验一个大医疗团队的团结协作与精诚合作的团队能力以及一家三级医院综合诊疗能力!在此也感谢家属诊疗过程中的全力配合以及关键时候的果断决策。
看着患者重获喜悦心情,顺利痊愈出院,泌尿外科主任康郑军教授带领的全体医护团队人员,也终于不负重托,利用肿瘤外科精准医疗和术后快速康复技术,圆满完成这一相对复杂、棘手的诊疗任务。在次要特别感谢内分泌科一病区董瑞鸿主任团队为老人围手术期血糖监测、调控所付出的辛苦和努力;麻醉科、手术部、重症医学科的精英团队为老人手术顺利实施与术后监护治疗所做的大量精心、细致的医护工作;以及放射影像科、超声诊断科与病理科团队对手术前后的诊断给予大力支持与帮助!
手术团队
主刀:邢东亮 副主任医师 (泌尿外科副主任)
指导:杨建主任医师;
助手:于洋主治医师、李亚飞主治医师;
主麻:胡强夫主任医师(麻醉科主任) 、张敏副主任医师;
手术司械、巡回:杨楠(手术部护士长、副主任护师)护理团队。
来源:泌尿外科 于洋
宣传科编辑整理