来自平顶山77岁的李奶奶(化名)最近感到声音嘶哑,饮水呛咳,在当地医院CT检查,发现纵膈淋巴结占位,压迫了喉返神经,当地医生无法确诊和治疗。孝顺的陶女士(化名)带着母亲到郑州来寻医问药,跑遍了各大医院,经历了繁琐的检查,其中包括先进的经气管镜超声引导针吸活检术(EBUS-TBNA),得到的病理结果为“符合低分化癌,靶组织极少,无法分类”,找不到原发病灶就无法精确的治疗肿瘤。为了寻找病因,李奶奶进行CT检查、PET-CT检查、超声检查、气管镜检查等都未能找到原发病灶。漫长的1个多月的等待,看着母亲的症状一天天加重,陶女士一家经历了无助和挣扎,陶女士是一个很认真的人,为了老母亲的病能得到最好的诊治,甚至跑到北京安贞医院找专家会诊,但未能有一个明确的答复。
直到有位老专家建议陶女士带着母亲来到郑州大学五附院体部伽玛刀病房找到丁广成主任会诊,丁主任耐心的听陶女士讲述自己寻医问药的曲折过程,仔细的查看分析患者的所有检查资料。丁主任指出患者声音嘶哑、饮水呛咳的症状是由于纵膈内的肿大淋巴结压迫了喉返神经,但因为其位置包绕在心脏的大血管中心,手术和普通放疗化疗等都无法解决这个棘手的问题,只有立体定向放射治疗,它不用开刀、不出血、无痛苦,大剂量精确的射线直达肿瘤的中心部位,快速杀死肿瘤细胞解决主要症状。

陶女士听到这样的解释非常满意立即让母亲接受了1疗程的治疗,患者的声嘶呛咳症状渐渐好转。为了寻找原发病灶的蛛丝马迹,丁主任让患者再次复查胸部增强CT,通过一帧帧仔细的分析影像资料,找到了一个小小的空洞病灶,通过与之前的影像资料对比,丁主任指出高度怀疑这个病灶有问题!马上请放射影像科吴峰医生为患者做CT引导下经肺穿刺检查(PTLB),病理结果是:中分化鳞状细胞癌。

▲ 体部伽玛刀病区丁广成主任
原发病灶终于找到了!就是这个小小的空洞,曾经因为太小而被误诊为炎症空洞,每一个小小的忽视就有可能耽误患者的确诊和治疗,只有医生拥有较强的专业性和更多的耐心才能不放过任何隐匿的“敌人”。对于这个原发病灶,丁主任建议李奶奶再次进行伽玛刀治疗,以控制原发灶的发展,伽马射线犹如外科手术般精确对肿瘤细胞进行进行摧毁。

▲ 郑州大学五附院伽玛刀科(河南省伽玛刀中心)
李奶奶的治疗结束后,陶女士多次向体部伽玛刀科医护人员致谢,感谢丁广成主任高超医术和耐心讲解,主管医生李朋朋医生的细心医治,护理人员精心护理,如果没有所有医护人员的医治和照顾,母亲的病不知道会变成怎样。丁主任表示对陶女士的孝心很感动,为患者解除痛苦,给患者家属带来安慰这是医生的天职,是我们应该做到的。

▲ 在对患者做回访时,患者家属再次以短信的方式致谢


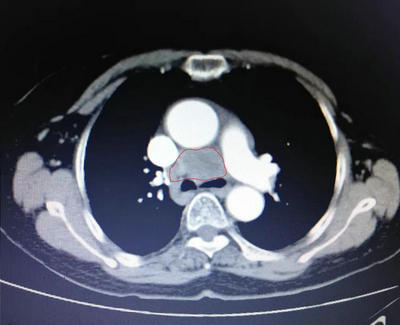
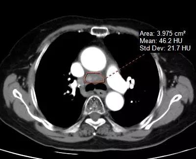
▲ 纵膈占位伽玛刀治疗前和伽玛刀治疗后对比,肿块明显缩小,压迫症状好转


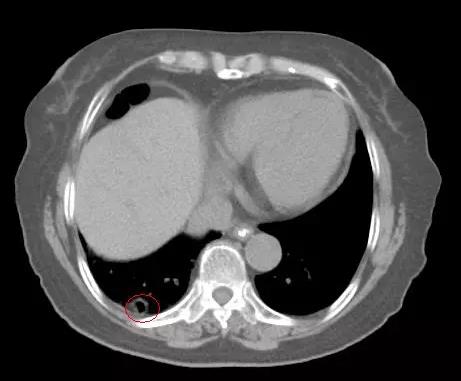
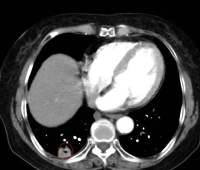
▲ 上图为曾被误诊为炎症的薄壁空洞,下图为增厚的空洞病灶,经穿刺后确诊为肺鳞癌的原发病灶
来源:学生党支部 孙艺媛 王一帆
宣传科编辑整理