最近常常有患者拿着胸部CT来咨询关于肺大泡的一些问题,很多人在网上查阅资料后发现肺大泡无法用药根治,顿时茶饭不思,在这里小编带大家正确认识肺大泡。
什么是肺大泡?
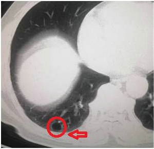
肺大泡,是指由于各种原因导致肺泡腔内压力升高,肺泡壁破裂,互相融合,在肺组织形成的含气囊腔。肺大泡定义为扩张状态下,直径超过1cm的肺内气腔(图1),巨型肺大泡是指至少占据一侧胸腔30%的大泡(图2)。

图一

图表 2
肺大泡的常见原因是什么?
1. 气管的炎性病变
如肺炎、肺结核、慢性支气管炎等,因炎性病变,气管出现水肿、狭窄,造成官腔部分阻塞,产生活塞作用,空气能进入肺泡而不易排出去,使之肺内压增高。

2.吸烟、空气污染
对于长期吸烟及其他有害气体和职业粉尘吸入史的患者,人体在吸入这些有害的气体、细颗粒物后,这些物质经过气管、细支气管,最终在肺泡停留沉积下来,它们会长时间的刺激、破坏正常的肺泡结构,肺泡壁破裂,从而形成肺气肿,随着破坏的进一步持续,这些肺气肿也将进一步破坏,融合成片,从而最终形成肺大泡。

3.原发性肺大泡
原发性肺大泡,可能与肺发育不良有关,多见于体形瘦高的青少年,其原因可能与青春期发育过程中,骨骼生长过快,肺相对生长缓慢,在胸顶和肺尖部有一个筋膜过渡牵拉肺尖部组织,导致该处肺组织的肺泡发育不良形成肺大泡。

肺大泡好发体型
肺大疱如何治疗呢?
肺大泡一种不可逆转的肺部病损,一般不能自愈,且目前尚无特效药物治疗,手术是治疗肺大泡唯一有效的方法,但不是所有的肺大疱均需手术质量。如一些较小的、局限的、数量少的肺大泡,多不会引起临床症状,通常不需要治疗。由气道炎症、肺气肿等病变导致的肺大泡,需要积极治疗原发病。肺大泡如果大于胸腔的1/3,就被称为巨大的肺大泡,可能对周围的组织形成较大的压迫,甚至对生命产生威胁,这种情况要尽快进行手术治疗。
肺大疱患者的注意事项
1.吸烟及空气污染是肺气肿的首要诱因,因此远离烟草及空气污染能够减缓进程;
2.平时不要做剧烈的运动,不要手提重物,不要突发性的大声咳嗽及大笑,避免肺大泡破裂,产生自发性气胸;
3.适当锻炼身体,增强身体的抵抗力和免疫力,根据自身情况,参加一些适当的体育活动,注意营养,多进食优质蛋白质以及含维生素较高的食物,提高机体抵抗力;
4.避免呼吸道感染,每次呼吸道感染后肺功能都受影响。对于慢性阻塞性肺疾病、支气管哮喘等原发性疾病,积极治疗原发病,改善肺功能;
5.若出现由肺大泡破裂导致的胸痛、胸闷、呼吸困难等不适症状,应及时到医院治疗。
图片:以上网络图片如若涉及侵权行为,请联系我们,我们将第一时间清除
来源:呼吸与危重症医学科 杨闪闪
宣传科编辑整理