近期,郑州大学五附院胸外科又有几位接受微创漏斗胸矫形术(Nuss手术)的孩子顺利出院,看着孩子们胸廓畸形得到矫治后露出自信的笑容时,我们也感到无比的欣慰。那么什么是漏斗胸?哪些情况需要手术治疗呢?我们就来聊聊漏斗胸的一些知识。
1.什么是漏斗胸呢?
漏斗胸是最常见的胸壁畸形,是胸骨连同肋骨向内向后凹陷,呈舟状或漏斗状;一般胸骨体剑突交界处凹陷最深。

2. 如何评估漏斗胸的严重程度?
评估漏斗胸严重程度常用的为经胸部CT检查显示的Haller指数。指凹陷最低点的胸廓横径/凹陷最低点到椎体前的距离。正常人平均指数为2.52,小于3.2为轻度,3.2--3.5中度,大于3.5即为重度。Haller指数也是决定漏斗胸手术适应证的主要依据。


3. 漏斗胸的手术指征是什么?
1.诊断明确的中重度漏斗胸,即Haller指数大于3.2,即可进行手术。
2.漏斗胸畸形可因胸腔容积减少和胸壁活动度降低造成不同程度的心肺功能损害,并影响发育。因此心肺功能损害是重要手术指征。
3.漏斗胸畸形会给患者造成胆怯及羞愧,使患者出现自卑、抑郁等心理问题,严重的心理障碍也是重要手术指征。
4. 多大年龄适合漏斗胸手术?
对于漏斗胸的手术年龄存在一定争议。目前中国专家共识认为:1.手术治疗的年龄应个体化,一般建议手术时机为3-12岁。2.对于严重影响心肺功能的,手术年龄可适当提前,但一般不早于3岁。
5.漏斗胸手术都有哪些?
传统的漏斗胸手术有胸骨翻转、胸骨抬举等方法,这些手术创伤大,恢复慢,并发症多,已很少使用。目前临床上对于漏斗胸患者通常采用的是微创漏斗胸矫形术(Nuss手术)或开放联合微创等改良术式。对于胸壁顺应性好的青春期及青春期前的患儿,微创是最佳选择。对于复杂或重度的漏斗胸或胸壁相对固定的,可选择开放联合微创的改良术式。
6.那么微创漏斗胸矫形术(Nuss手术)怎么做,又有哪些注意事项呢?
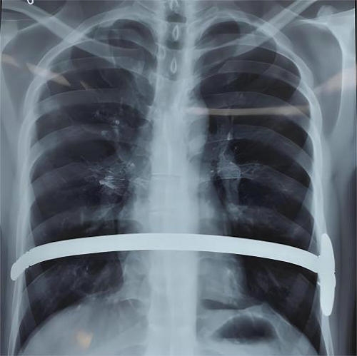
微创漏斗胸矫形术是在胸腔镜辅助下,将术前特制的Nuss钢板术中经规划的肋间,于胸骨后心包前置放在合适位置,进行钢板翻转,将胸骨抬举达到矫形的目的。矫形效果立竿见影。通常仅需双侧腋下两个小切口即可完成手术。术后要注意避免弯腰等不当动作,注意有无钢板移位的问题。对于无特殊情况的接受手术的患者一般术后2-4年拆除钢板。同时要重视术后心理辅导、康复训练及呼吸锻炼等,有助于畸形的矫正及心肺功能的康复。

钢板翻转矫形


总而言之,目前对于漏斗胸的患者我们胸外科医生有丰富的诊疗经验,根据不同的情况选择个体化的手术规划,使每一位胸壁畸形的患者都能得到满意的治疗效果,在处理胸壁畸形的同时,也能解决患者的心理问题。
来源:胸外科 冯光强
党委宣传科编辑整理